SLC44A1 Antibody
-
中文名稱:SLC44A1兔多克隆抗體
-
貨號:CSB-PA208167
-
規格:¥1100
-
圖片:
-
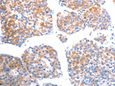
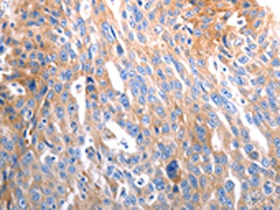
The image on the left is immunohistochemistry of paraffin-embedded Human liver cancer tissue using CSB-PA208167(SLC44A1 Antibody) at dilution 1/25, on the right is treated with synthetic peptide. (Original magnification: ×200)
-
The image on the left is immunohistochemistry of paraffin-embedded Human ovarian cancer tissue using CSB-PA208167(SLC44A1 Antibody) at dilution 1/25, on the right is treated with synthetic peptide. (Original magnification: ×200)
-
-
其他:
產品詳情
-
Uniprot No.:
-
基因名:SLC44A1
-
別名:CD 92 antibody; CD92 antibody; CD92 antigen antibody; CD92 protein antibody; CDW 92 antibody; CDw92 antibody; CDW92 antigen antibody; Choline transporter like protein 1 antibody; Choline transporter-like protein 1 antibody; CHTL 1 antibody; CHTL1 antibody; CTL 1 antibody; CTL1 antibody; CTL1_HUMAN antibody; RP11 287A8.1 antibody; slc44a1 antibody; Solute carrier family 44 member 1 antibody
-
宿主:Rabbit
-
反應種屬:Human,Mouse,Rat
-
免疫原:Synthetic peptide of Human SLC44A1
-
免疫原種屬:Homo sapiens (Human)
-
標記方式:Non-conjugated
-
抗體亞型:IgG
-
純化方式:Antigen affinity purification
-
濃度:It differs from different batches. Please contact us to confirm it.
-
保存緩沖液:-20°C, pH7.4 PBS, 0.05% NaN3, 40% Glycerol
-
產品提供形式:Liquid
-
應用范圍:ELISA,IHC
-
推薦稀釋比:
Application Recommended Dilution ELISA 1:1000-1:5000 IHC 1:25-1:100 -
Protocols:
-
儲存條件:Upon receipt, store at -20°C or -80°C. Avoid repeated freeze.
-
貨期:Basically, we can dispatch the products out in 1-3 working days after receiving your orders. Delivery time maybe differs from different purchasing way or location, please kindly consult your local distributors for specific delivery time.
-
用途:For Research Use Only. Not for use in diagnostic or therapeutic procedures.
相關產品
靶點詳情
-
功能:Choline transporter. Involved in membrane synthesis and myelin production.
-
基因功能參考文獻:
- SLC44A1 and KLF13 may be involved in tumorigenesis and the metastasis of colon cancer by miRNA regulation PMID: 29408621
- The differential expression pattern of CTL1 and CTL2 suggests that CTL1 is the key transporter involved in choline transport from maternal circulation and both transporters are likely involved in stromal and endothelial cell choline transport. PMID: 26601765
- This study showed that SLC44A1-PRKCA fusion seems to be a specific characteristic of Papillary glioneuronal tumors with a high diagnostic value. PMID: 26671581
- Reduced CTL1 expression is associated with postural orthostatic tachycardia syndrome. PMID: 25466896
- NCI-H69 cells express the choline transporter CTL1 which uses a directed H(+) gradient as a driving force, and its transport functions in co-operation with NHE1. PMID: 23948665
- REVIEW highlights discovery and characterization of SLC44A1, describes its expression patterns and subcellular localization and summarizes evidence for the role of this choline transporter in the central nervous system. PMID: 22483272
- CTL1 is expressed in both SH-SY5Y and LA-N-2 cells and is responsible for choline uptake that relies on a directed hydrogen ion gradient as a driving force. PMID: 21185344
- In conclusion, choline transport in A549 cells is increased by treatment with DEX, and the increase is mediated by induction of functional choline transporters CTL1 and CTL2. PMID: 20410607
- This study provides the first example of CHT1 expression in neurons which do not use acetylcholine as neurotransmitter. PMID: 15691711
- Data suggest that an impaired choline transporter-like protein-1 trafficking is the key contributing factor to reduced choline uptake, subsequent to the PMA-induced THP-1 differentiation to macrophages. PMID: 16319125
- characterization the 5'-flanking region of the human (h)CTL1 gene and some of the possible mechanisms of its regulation, including promoter activity, splicing, and expression PMID: 16609143
- SLC44A1 mRNA and protein expression were down-regulated during choline deficiency. PMID: 19357133
- The presence of CTL1 protein in rat and human CNS regions, where it is found in neuronal, glial and endothelial cells, suggests that malfunction of this transporter could have important implications in nervous system development and repair. PMID: 19519661
顯示更多
收起更多
-
亞細胞定位:Cell membrane; Multi-pass membrane protein. Mitochondrion outer membrane; Multi-pass membrane protein.
-
蛋白家族:CTL (choline transporter-like) family
-
組織特異性:Expressed in various cells of the hematopoietic system.
-
數據庫鏈接:
Most popular with customers
-
YWHAB Recombinant Monoclonal Antibody
Applications: ELISA, WB, IHC, IF, FC
Species Reactivity: Human, Mouse, Rat
-
Phospho-YAP1 (S127) Recombinant Monoclonal Antibody
Applications: ELISA, WB, IHC
Species Reactivity: Human
-
-
-
-
-
-















