SLC32A1 Antibody
-
中文名稱:SLC32A1兔多克隆抗體
-
貨號:CSB-PA786514
-
規格:¥1100
-
圖片:
-
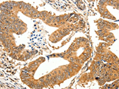
The image on the left is immunohistochemistry of paraffin-embedded Human colon cancer tissue using CSB-PA786514(SLC32A1 Antibody) at dilution 1/35, on the right is treated with synthetic peptide. (Original magnification: ×200)
-
Gel: 10%SDS-PAGE, Lysate: 40 μg, Lane: Mouse eyes tissue, Primary antibody: CSB-PA786514(SLC32A1 Antibody) at dilution 1/500, Secondary antibody: Goat anti rabbit IgG at 1/8000 dilution, Exposure time: 20 seconds
-
-
其他:
產品詳情
-
Uniprot No.:
-
基因名:
-
別名:bA122O1.1 antibody; GABA and glycine transporter antibody; hVIAAT antibody; SLC32A 1 antibody; Slc32a1 antibody; solute carrier family 32 (GABA vesicular transporter) member 1 antibody; Solute carrier family 32 member 1 antibody; Vesicular GABA Amino Acid Transporter antibody; Vesicular GABA transporter antibody; Vesicular inhibitory amino acid transporter antibody; VGAT antibody; VIAAT antibody; VIAAT_HUMAN antibody
-
宿主:Rabbit
-
反應種屬:Human,Mouse,Rat
-
免疫原:Synthetic peptide of Human SLC32A1
-
免疫原種屬:Homo sapiens (Human)
-
標記方式:Non-conjugated
-
抗體亞型:IgG
-
純化方式:Antigen affinity purification
-
濃度:It differs from different batches. Please contact us to confirm it.
-
保存緩沖液:-20°C, pH7.4 PBS, 0.05% NaN3, 40% Glycerol
-
產品提供形式:Liquid
-
應用范圍:ELISA,WB,IHC
-
推薦稀釋比:
Application Recommended Dilution ELISA 1:2000-1:5000 WB 1:500-1:2000 IHC 1:50-1:200 -
Protocols:
-
儲存條件:Upon receipt, store at -20°C or -80°C. Avoid repeated freeze.
-
貨期:Basically, we can dispatch the products out in 1-3 working days after receiving your orders. Delivery time maybe differs from different purchasing way or location, please kindly consult your local distributors for specific delivery time.
-
用途:For Research Use Only. Not for use in diagnostic or therapeutic procedures.
相關產品
靶點詳情
-
功能:Involved in the uptake of GABA and glycine into the synaptic vesicles.
-
基因功能參考文獻:
- VIATT has been identified in horizontal cells of the adult outer retina in culture, either at their terminals or throughout the entire cell. PMID: 12115694
- Subjects with schizophrenia exhibited expression deficits in GABA transpter 1. PMID: 17471287
-
亞細胞定位:Cytoplasmic vesicle membrane; Multi-pass membrane protein.
-
蛋白家族:Amino acid/polyamine transporter 2 family
-
組織特異性:Retina. Expressed throughout the horizontal cells or more specifically at the terminals.
-
數據庫鏈接:
Most popular with customers
-
-
YWHAB Recombinant Monoclonal Antibody
Applications: ELISA, WB, IHC, IF, FC
Species Reactivity: Human, Mouse, Rat
-
Phospho-YAP1 (S127) Recombinant Monoclonal Antibody
Applications: ELISA, WB, IHC
Species Reactivity: Human
-
-
-
-
-















