SLC29A4 Antibody
-
中文名稱:SLC29A4兔多克隆抗體
-
貨號:CSB-PA200109
-
規格:¥1100
-
圖片:
-
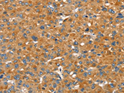
The image on the left is immunohistochemistry of paraffin-embedded Human liver cancer tissue using CSB-PA200109(SLC29A4 Antibody) at dilution 1/20, on the right is treated with fusion protein. (Original magnification: ×200)
-
Gel: 8%SDS-PAGE, Lysate: 40 μg, Lane: 293T cells, Primary antibody: CSB-PA200109(SLC29A4 Antibody) at dilution 1/300, Secondary antibody: Goat anti rabbit IgG at 1/8000 dilution, Exposure time: 1 second
-
-
其他:
產品詳情
-
Uniprot No.:
-
基因名:SLC29A4
-
別名:SLC29A4 antibody; ENT4 antibody; PMAT antibody; PSEC0113 antibody; Equilibrative nucleoside transporter 4 antibody; hENT4 antibody; Plasma membrane monoamine transporter antibody; Solute carrier family 29 member 4 antibody
-
宿主:Rabbit
-
反應種屬:Human
-
免疫原:Fusion protein of Human SLC29A4
-
免疫原種屬:Homo sapiens (Human)
-
標記方式:Non-conjugated
-
抗體亞型:IgG
-
純化方式:Antigen affinity purification
-
濃度:It differs from different batches. Please contact us to confirm it.
-
保存緩沖液:-20°C, pH7.4 PBS, 0.05% NaN3, 40% Glycerol
-
產品提供形式:Liquid
-
應用范圍:ELISA,WB,IHC
-
推薦稀釋比:
Application Recommended Dilution ELISA 1:1000-1:2000 WB 1:200-1:1000 IHC 1:25-1:100 -
Protocols:
-
儲存條件:Upon receipt, store at -20°C or -80°C. Avoid repeated freeze.
-
貨期:Basically, we can dispatch the products out in 1-3 working days after receiving your orders. Delivery time maybe differs from different purchasing way or location, please kindly consult your local distributors for specific delivery time.
-
用途:For Research Use Only. Not for use in diagnostic or therapeutic procedures.
相關產品
靶點詳情
-
功能:Functions as a polyspecific organic cation transporter, efficiently transporting many organic cations such as monoamine neurotransmitters 1-methyl-4-phenylpyridinium and biogenic amines including serotonin, dopamine, norepinephrine and epinephrine. May play a role in regulating central nervous system homeostasis of monoamine neurotransmitters. May be involved in luminal transport of organic cations in the kidney and seems to use luminal proton gradient to drive organic cation reabsorption. Does not seem to transport nucleoside and nucleoside analogs such as uridine, cytidine, thymidine, adenosine, inosine, guanosine, and azidothymidine. In adenosine is efficiently transported but in a fashion highly sensitive to extracellular pH, with maximal activity in the pH range 5.5 to 6.5. Glu-206 is essential for the cation selectivity and may function as the charge sensor for cationic substrates. Transport is chloride and sodium-independent but appears to be sensitive to changes in membrane potential. Weakly inhibited by the classical inhibitors of equilibrative nucleoside transport, dipyridamole, dilazep, and nitrobenzylthioinosine. May play a role in the regulation of extracellular adenosine concentrations in cardiac tissues, in particular during ischemia.
-
基因功能參考文獻:
- Cultured astroctye line 1321N1 and primary human astrocytes transport monoamines predominantly through PMAT. PMID: 24471494
- Transport kinetic analysis revealed that I89M mutant in PMAT protein had a 2.7-fold reduction in maximal transport velocity with no significant change in apparent binding affinity. PMID: 22562044
- Data show that ENT1, ENT2, ENT4 and CNT3 protein was detected on ovarian carcinoma cells in all effusions, with expression observed in 1-95% of tumor cells. PMID: 21822668
- The selectivity and kinetics of monoamine neurotransmitter transport by PMAT and OCT3 was determined. PMAT is expressed at much higher levels than hOCT3 in brain, whereas hOCT3 is selectively and highly expressed in adrenal gland and skeletal muscle. PMID: 20858707
- Observational study of gene-disease association. (HuGE Navigator) PMID: 20392501
- may be a novel low affinity transporter for biogenic amines, might supplement the high affinity transporters in the brain PMID: 15448143
- PMAT can function as a polyspecific organic cation transporter, which may play a role in organic cation transport in vivo. PMID: 16099839
- ENT4, in addition to playing roles in cardiac serotonin transport, contributes to the regulation of extracellular adenosine concentrations, in particular under the acidotic conditions associated with ischemia. PMID: 16873718
- our data suggest that PMAT is expressed on the apical membranes of renal epithelial cells and may use luminal proton gradient to drive organic cation reabsorption in the kidney. PMID: 17018840
- Amino acid substitution at several sites results in loss of activity ane conformation. PMID: 17121826
- PMAT, EMT, and OCT2 transporters are expressed in the endometrial stroma and can potentially regulate reuptake of monoamines in general and histamine in particular. PMID: 17393420
- identification of ENT4 as a highly expressed transcript in desmoplastic small round cell tumor (DSRCT) may represent an attractive pathway for targeting chemotherapeutic drugs into DSRCT PMID: 18523561
- The data suggest that PMAT is specifically expressed in podocytes and may play an important role in puromycin aminonucleoside-induced kidney injury. PMID: 19357181
顯示更多
收起更多
-
亞細胞定位:Cell membrane; Multi-pass membrane protein. Apical cell membrane; Multi-pass membrane protein.
-
蛋白家族:SLC29A/ENT transporter (TC 2.A.57) family
-
組織特異性:Expressed abundantly in the heart, in both cardiomyocytes and vascular endothelial cells (at protein level). Highly expressed in brain, kidney and skeletal muscle. In the brain expressed in cerebellum, cerebral cortex, medulla, occipital pole, frontal and
-
數據庫鏈接:
Most popular with customers
-
-
YWHAB Recombinant Monoclonal Antibody
Applications: ELISA, WB, IHC, IF, FC
Species Reactivity: Human, Mouse, Rat
-
Phospho-YAP1 (S127) Recombinant Monoclonal Antibody
Applications: ELISA, WB, IHC
Species Reactivity: Human
-
-
-
-
-















