SLC28A3 Antibody
-
中文名稱:SLC28A3兔多克隆抗體
-
貨號:CSB-PA884504LA01HU
-
規格:¥440
-
圖片:
-
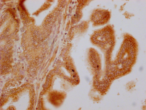
IHC image of CSB-PA884504LA01HU diluted at 1:200 and staining in paraffin-embedded human Prostate tissue performed on a Leica BondTM system. After dewaxing and hydration, antigen retrieval was mediated by high pressure in a citrate buffer (pH 6.0). Section was blocked with 10% normal goat serum 30min at 37℃ Then primary antibody (1% BSA) was incubated at 4°C overnight. The primary is detected by a Goat anti-rabbit IgG labeled by HRP and visualized using 0.05% DAB.
-
Immunofluorescence staining of HepG2 cells with CSB-PA884504LA01HU at 1:200, counter-stained with DAPI.The cells were fixed in 4% formaldehyde, permeated by 0.2% TritonX-100, and blocked in 10% normal Goat Serum. The cells were then incubated with the antibody overnight at 4°C. Nuclear DNA was labeled in blue with DAPI. The secondary antibody was Alexa Fluor 488-congugated AffiniPure Goat Anti-Rabbit IgG(H+L)
-
-
其他:
產品詳情
-
產品描述:
CUSABIO immunizes the rabbit with a partial protein mapping within the topological domain of the human SLC28A3 protein to generate the anti-SLC28A3 antibody. This SLC28A3 polyclonal antibody exhibits as the unconjugated IgG isoform. Its purity is 95%+ using protein G purified. It shows reactivity with human and mouse samples. And it has been validated to recognize SLC28A3 protein in ELISA, IHC, and IF applications. Its target protein SLC28A3 is an important mediator of the cellular entry of a number of physiological nucleosides and synthetic anticancer nucleoside analog drugs.
-
產品名稱:Rabbit anti-Homo sapiens (Human) SLC28A3 Polyclonal antibody
-
Uniprot No.:
-
基因名:SLC28A3
-
別名:SLC28A3 antibody; CNT3Solute carrier family 28 member 3 antibody; Concentrative Na(+)-nucleoside cotransporter 3 antibody; CNT 3 antibody; hCNT3 antibody
-
宿主:Rabbit
-
反應種屬:Human
-
免疫原:Recombinant Human Solute carrier family 28 member 3 protein (1-102AA)
-
免疫原種屬:Homo sapiens (Human)
-
標記方式:Non-conjugated
本頁面中的產品,SLC28A3 Antibody (CSB-PA884504LA01HU),的標記方式是Non-conjugated。對于SLC28A3 Antibody,我們還提供其他標記。見下表:
-
克隆類型:Polyclonal
-
抗體亞型:IgG
-
純化方式:>95%, Protein G purified
-
濃度:It differs from different batches. Please contact us to confirm it.
-
保存緩沖液:Preservative: 0.03% Proclin 300
Constituents: 50% Glycerol, 0.01M PBS, PH 7.4 -
產品提供形式:Liquid
-
應用范圍:ELISA, IHC, IF
-
推薦稀釋比:
Application Recommended Dilution IHC 1:20-1:200 IF 1:50-1:200 -
Protocols:
-
儲存條件:Upon receipt, store at -20°C or -80°C. Avoid repeated freeze.
-
貨期:Basically, we can dispatch the products out in 1-3 working days after receiving your orders. Delivery time maybe differs from different purchasing way or location, please kindly consult your local distributors for specific delivery time.
-
用途:For Research Use Only. Not for use in diagnostic or therapeutic procedures.
相關產品
靶點詳情
-
功能:Sodium-dependent, pyrimidine- and purine-selective. Involved in the homeostasis of endogenous nucleosides. Exhibits the transport characteristics of the nucleoside transport system cib or N3 subtype (N3/cib) (with marked transport of both thymidine and inosine). Employs a 2:1 sodium/nucleoside ratio. Also able to transport gemcitabine, 3'-azido-3'-deoxythymidine (AZT), ribavirin and 3-deazauridine.
-
基因功能參考文獻:
- De novo structure prediction of three N-terminal transmembrane helices of the human concentrative nucleoside transporter 3 (hCNT3) homotrimer belonging to the solute carrier 28 family of transporters (SLC28) using Rosetta program and its Broker protocol. PMID: 28774292
- CYR61 negatively regulates the nucleoside transporters hENT1 and hCNT3 in pancreatic ductal adenocarcinoma. PMID: 27604902
- Data suggest that CNT3 forms a homotrimer in solution and membrane-bound inside cells; the quaternary structure creates an aqueous basin that significantly shortens the substrate translocation distance. PMID: 28661652
- results that validate the newly developed structural homology model of CNT membrane architecture for human CNTs, revealed extended conformationally mobile regions within transport-domain TMs, identified pore-lining residues of functional importance, and provided evidence of an emerging novel elevator-type mechanism of transporter function. PMID: 28385889
- Genome-wide association analysis on normal hearing function identifies PCDH20 and SLC28A3 as good candidates for modulatory genes in the auditory system. [meta-analysis] PMID: 26188009
- The co-expression of galectin-4 and CNT3 proteins is not impaired in inflamed colon from patients with Crohn's disease, thereby anticipating the integrity of this system for drug targeting. PMID: 26481311
- Results show that high CNT3 expression level is associated with overall favorable outcomes and is predictive of clinical outcomes in acute myeloid leukemia patients with t(8;21). PMID: 25955569
- The presence of homozygous major allele for SLC28A3 (CC genotype) were each associated with an almost two-fold increase in the formation clearance of dFdCTP. PMID: 24300978
- Genetic polymorphisms in SLC28A3, SLC29A1 and RRM1 can influence the clinical outcome of metastatic breast cancer patients treated with paclitaxel-gemcitabine chemotherapy. PMID: 24361227
- association between ribavirin (RBV) serum levels and SLC28A2 rs11854484 genotype, as well as the replicated association of ITPA and SLC28A3 genetic polymorphisms with RBV-induced anemia and treatment response PMID: 23195617
- Data show that ENT1, ENT2, ENT4 and CNT3 protein was detected on ovarian carcinoma cells in all effusions, with expression observed in 1-95% of tumor cells. PMID: 21822668
- A genetic variant in SCL28A3 coding for the concentrative nucleoside transporter 3 protects patients with chronic hepatitis C against hemolytic anemia without affecting sustained virological response in hepatitis C virus genotype 1. PMID: 21346688
- Acidic and hydrophobic motifs in the N terminus tail of the hCNT3 control ER export and cell surface expression levels in nonpolarized cells, whereas a putative beta-turn domain contributes to hCNT3 polarized surface expression in epithelial cells. PMID: 20643903
- H+ drives uridine and adenosine transport by hCNT3 with lower affinity but higher maximal transport rate than Na+. PMID: 20495821
- TGF-beta1 acts through activation of ERK1/2 and the small GTPase RhoA to promote plasma membrane trafficking of the hCNT3 protein. PMID: 20172853
- hCNT3 gene is evolutionarily conserved with hCNT1 and hCNT2. Physiologically, hCNT3 is a glycoprotein, which transports purine and pyrimidine nucleosides in a Na-dependent manner with high affinities. PMID: 14504928
- genetic analysis and functional characterization of CNT3 variants suggest that this transporter does not tolerate nonsynonymous changes and is important for human fitness PMID: 15738947
- examination of single nucleotide polymorphisms in the coding regions of the hCNT3 gene PMID: 15861042
- hCNT3 possesses two Na+-binding sites, only one of which is shared by H+ PMID: 15870078
- The effects of cysteine substitution mutants spanning transmembrane domains 11-13 on the transport activity of CNT3 expressed in S. cerevisiae are reported. PMID: 16271041
- Minimal features required for human CNT3 transport are two hydrogen bond acceptors at 3'-OH and 5'-O and the hydrophobic center occupied by the base ring. PMID: 16446384
- transcripts for CNT3 protein in human kidneys and in cultured proximal tubule cells suggest involvement of CNT3 in renal handling of nucleosides and nucleoside drugs PMID: 17409283
- CNT3 was inserted into the apical membrane, thus generating, a transepithelial flux of both nucleosides and nucleoside-derived drugs. PMID: 17412768
- hCNT2 shares common cation specificity and coupling characteristics with hCNT1, which differ markedly from those of hCNT3. PMID: 17453413
- This study shows that adenosine elimination on human airway epithelia is mediated by ADA1, CNT2, and CNT3, which constitute important regulators of adenosine-mediated inflammation. PMID: 17696452
- These data suggest that selected genes of the SLC28 and SLC29 families are not only targets of HIV-1 infection, but might also contribute to the development of adipose tissue alterations leading to lipodystrophy. PMID: 17926640
- A polymorphic variant of the human concentrative nucleoside transporter, CNT3, is found that severely affects its functionality. PMID: 17993510
- identified a C-terminal intramembranous cysteine residue of hCNT3 (Cys-561) that reversibly binds the hydrophilic thiol-reactive reagent p-chloromercuribenzene sulfonate (PCMBS) PMID: 18199742
- a pivotal functional role for Cys-561 in Na+- as well as H+-coupled modes of hCNT3 nucleoside transport PMID: 18621735
- The isolation and charcterization of an alternatively spliced SLC28A3-related mRNA is reported. PMID: 18827020
- This evidence suggested that apical CNT3 and basolateral ENT2 are involved in proximal tubular reabsorption of adenosine and some nucleoside drugs and that apical ENT1 is involved in proximal tubular secretion of 2'-deoxyadenosine. PMID: 19297449
- Pancreatic adenocarcinoma patients with a high expression of hENT1 and hCNT3 immunostaining have a significantly longer survival after adjuvant gemcitabine-based chemoradiation PMID: 19318496
- identified residues of functional importance and with a revised 15-TM membrane architecture, suggest a novel membrane-associated topology for a region of the protein (TM 11A) that includes the highly conserved CNT family motif (G/A)XKX(3)NEFVA(Y/M/F) PMID: 19380585
- identified two conserved pore-lining glutamate residues (Glu-343 and Glu-519) with essential roles in CNT3 Na(+)/nucleoside and H(+)/nucleoside cotransport PMID: 19380587
顯示更多
收起更多
-
亞細胞定位:[Isoform 1]: Cell membrane; Multi-pass membrane protein.; [Isoform 2]: Endoplasmic reticulum membrane; Multi-pass membrane protein.
-
蛋白家族:Concentrative nucleoside transporter (CNT) (TC 2.A.41) family
-
組織特異性:Expressed in pancreas, bone marrow, trachea, mammary gland, liver, prostate, and regions of intestine, brain, lung, placenta, testis, kidney, and heart.
-
數據庫鏈接:















