SLC26A9 Antibody
-
中文名稱:SLC26A9兔多克隆抗體
-
貨號:CSB-PA741974LA01HU
-
規格:¥440
-
圖片:
-
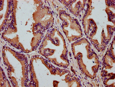
IHC image of CSB-PA741974LA01HU diluted at 1:200 and staining in paraffin-embedded human prostate tissue performed on a Leica BondTM system. After dewaxing and hydration, antigen retrieval was mediated by high pressure in a citrate buffer (pH 6.0). Section was blocked with 10% normal goat serum 30min at RT. Then primary antibody (1% BSA) was incubated at 4°C overnight. The primary is detected by a biotinylated secondary antibody and visualized using an HRP conjugated SP system.
-
Immunofluorescence staining of HepG2 cells with CSB-PA741974LA01HU at 1:66, counter-stained with DAPI. The cells were fixed in 4% formaldehyde, permeabilized using 0.2% Triton X-100 and blocked in 10% normal Goat Serum. The cells were then incubated with the antibody overnight at 4°C.The secondary antibody was Alexa Fluor 488-congugated AffiniPure Goat Anti-Rabbit IgG(H+L).
-
-
其他:
產品詳情
-
產品名稱:Rabbit anti-Homo sapiens (Human) SLC26A9 Polyclonal antibody
-
Uniprot No.:
-
基因名:SLC26A9
-
別名:SLC26A9 antibody; Solute carrier family 26 member 9 antibody; Anion transporter/exchanger protein 9 antibody
-
宿主:Rabbit
-
反應種屬:Human
-
免疫原:Recombinant Human Solute carrier family 26 member 9 protein (551-660AA)
-
免疫原種屬:Homo sapiens (Human)
-
標記方式:Non-conjugated
本頁面中的產品,SLC26A9 Antibody (CSB-PA741974LA01HU),的標記方式是Non-conjugated。對于SLC26A9 Antibody,我們還提供其他標記。見下表:
-
克隆類型:Polyclonal
-
抗體亞型:IgG
-
純化方式:>95%, Protein G purified
-
濃度:It differs from different batches. Please contact us to confirm it.
-
保存緩沖液:Preservative: 0.03% Proclin 300
Constituents: 50% Glycerol, 0.01M PBS, pH 7.4 -
產品提供形式:Liquid
-
應用范圍:ELISA, IHC, IF
-
推薦稀釋比:
Application Recommended Dilution IHC 1:200-1:500 IF 1:50-1:200 -
Protocols:
-
儲存條件:Upon receipt, store at -20°C or -80°C. Avoid repeated freeze.
-
貨期:Basically, we can dispatch the products out in 1-3 working days after receiving your orders. Delivery time maybe differs from different purchasing way or location, please kindly consult your local distributors for specific delivery time.
-
用途:For Research Use Only. Not for use in diagnostic or therapeutic procedures.
相關產品
靶點詳情
-
功能:DIDS- and thiosulfate- sensitive anion exchanger mediating chloride, sulfate and oxalate transport. Mediates chloride/bicarbonate exchange or chloride-independent bicarbonate extrusion thus assuring bicarbonate secretion. May prefer chloride anions and mediate uncoupled chloride anion transport in an alternate-access mechanism where a saturable binding site is alternately exposed to either one or the other side of the membrane.
-
基因功能參考文獻:
- Treatment response to ivacaftor, which aims to improve CFTR-channel opening probability in cystic fibrosis patients with gating mutations, shows substantial variability in response, 28% of which can be explained by rs7512462 in SLC26A9. PMID: 28171547
- when SLC26A9 is coexpressed with F508del CFTR, its trafficking defect leads to a PDZ motif-sensitive intracellular retention of SLC26A9. PMID: 28360110
- SLC26A9 single nucleotide polymorphisms modify prenatal exocrine pancreatic damage in cystic fibrosis PMID: 25771386
- We have identified two SLC26A9 mutations decreasing Cl- channel transport in patients with a CF-like lung disease. PMID: 24272871
- SLC26A9 is an epithelial chloride/bicarbonate channel that can interact with the CF transmembrane regulator (CFTR), the protein mutated in CF PMID: 23670970
- Several SNPs in the 3' UTR of SLC26A9 (rs12031234, rs2282429, rs2282430)were associated with asthma in children with asthma. PMID: 22945630
- SLC26A9 polymorphisms lead to several function modifications (increased activity, decreased activity, altered protein expression), which could lead to a spectrum of pathophysiologies. PMID: 22544634
- Single nucleotide polymorphism in SLC26A9 gene is associated with cystic fibrosis. PMID: 22466613
- Report functional interaction between CFTR and SLC26A9 in polarized airway epithelial cells and in non-polarized HEK293 cells. PMID: 21809345
- the L683P mutation of SLC26A9 was found to reduce Cl(-) transport through SLC26A9 as well as the positive interaction exerted by SLC26A9 on CFTR ion transport activity PMID: 21439353
- The interactions between SLC26A9 and CFTR were studied, and an alternative hypothesis to their known interactions is presented. PMID: 20658517
- Functions as an anion conductance in the apical membranes of bronchial epithelium; contributes to transepithelial chloride currents under basal and cyclic AMP/protein kinase A-stimulated conditions. PMID: 19289574
- Slc26a9 functions as an electrogenic nCl-/HCO3- exchanger, suggesting a role in pulmonary and gastric HCO3- secretion and/or CO2 transport. PMID: 17120765
- SLC26A9 is a highly selective Cl(-) channel with minimal OH(-)/HCO(3)(-) permeability that is regulated by the WNK kinases. PMID: 17673510
- The transport properties of human SLC26A9 was studied to determine its functional and pharmacological characteristics. PMID: 18769029
- These results imply that Slc26-STAS domains may all interact with (R)CFTR but that the physiological outcome is specific to differing Slc26 proteins, allowing for dynamic and acute fine tuning of ion transport for various epithelia. PMID: 19643730
顯示更多
收起更多
-
亞細胞定位:Cell membrane; Multi-pass membrane protein.
-
蛋白家族:SLC26A/SulP transporter (TC 2.A.53) family
-
組織特異性:Predominantly expressed in lung at the luminal side of the bronchiolar and alveolar epithelium of lung. To a lower extent, also expressed in pancreas and prostate.
-
數據庫鏈接:
Most popular with customers
-
YWHAB Recombinant Monoclonal Antibody
Applications: ELISA, WB, IHC, IF, FC
Species Reactivity: Human, Mouse, Rat
-
Phospho-YAP1 (S127) Recombinant Monoclonal Antibody
Applications: ELISA, WB, IHC
Species Reactivity: Human
-
-
-
-
-
-















