SLC26A2 Antibody
-
中文名稱:SLC26A2兔多克隆抗體
-
貨號:CSB-PA021525LA01HU
-
規格:¥440
-
圖片:
-
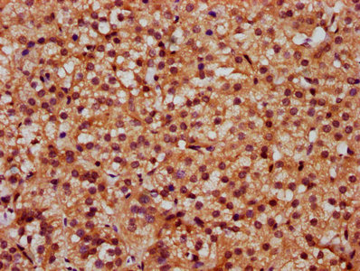
IHC image of CSB-PA021525LA01HU diluted at 1:300 and staining in paraffin-embedded human adrenal gland tissue performed on a Leica BondTM system. After dewaxing and hydration, antigen retrieval was mediated by high pressure in a citrate buffer (pH 6.0). Section was blocked with 10% normal goat serum 30min at RT. Then primary antibody (1% BSA) was incubated at 4°C overnight. The primary is detected by a biotinylated secondary antibody and visualized using an HRP conjugated SP system.
-
IHC image of CSB-PA021525LA01HU diluted at 1:300 and staining in paraffin-embedded human placenta tissue performed on a Leica BondTM system. After dewaxing and hydration, antigen retrieval was mediated by high pressure in a citrate buffer (pH 6.0). Section was blocked with 10% normal goat serum 30min at RT. Then primary antibody (1% BSA) was incubated at 4°C overnight. The primary is detected by a biotinylated secondary antibody and visualized using an HRP conjugated SP system.
-
Immunofluorescence staining of HepG2 cells with CSB-PA021525LA01HU at 1:100, counter-stained with DAPI. The cells were fixed in 4% formaldehyde, permeabilized using 0.2% Triton X-100 and blocked in 10% normal Goat Serum. The cells were then incubated with the antibody overnight at 4°C. The secondary antibody was Alexa Fluor 488-congugated AffiniPure Goat Anti-Rabbit IgG(H+L).
-
-
其他:
產品詳情
-
產品名稱:Rabbit anti-Homo sapiens (Human) SLC26A2 Polyclonal antibody
-
Uniprot No.:
-
基因名:SLC26A2
-
別名:SLC26A2 antibody; DTD antibody; DTDST antibody; Sulfate transporter antibody; Diastrophic dysplasia protein antibody; Solute carrier family 26 member 2 antibody
-
宿主:Rabbit
-
反應種屬:Human
-
免疫原:Recombinant Human Sulfate transporter protein (614-739AA)
-
免疫原種屬:Homo sapiens (Human)
-
標記方式:Non-conjugated
本頁面中的產品,SLC26A2 Antibody (CSB-PA021525LA01HU),的標記方式是Non-conjugated。對于SLC26A2 Antibody,我們還提供其他標記。見下表:
-
克隆類型:Polyclonal
-
抗體亞型:IgG
-
純化方式:>95%, Protein G purified
-
濃度:It differs from different batches. Please contact us to confirm it.
-
保存緩沖液:Preservative: 0.03% Proclin 300
Constituents: 50% Glycerol, 0.01M PBS, pH 7.4 -
產品提供形式:Liquid
-
應用范圍:ELISA, IHC, IF
-
推薦稀釋比:
Application Recommended Dilution IHC 1:200-1:500 IF 1:50-1:200 -
Protocols:
-
儲存條件:Upon receipt, store at -20°C or -80°C. Avoid repeated freeze.
-
貨期:Basically, we can dispatch the products out in 1-3 working days after receiving your orders. Delivery time maybe differs from different purchasing way or location, please kindly consult your local distributors for specific delivery time.
-
用途:For Research Use Only. Not for use in diagnostic or therapeutic procedures.
相關產品
靶點詳情
-
功能:Sulfate transporter. May play a role in endochondral bone formation.
-
基因功能參考文獻:
- Two heterozygous mutations in SLC26A2 mutations occur in a three-generational family with cases of multiple epiphyseal dysplasias. PMID: 29024831
- Results show that SLC26A2 expression is high in numerous tumor types and, provide evidence that it downregulates the TRAIL receptors, DR4 and DR5 which confers resistance to TRAIL. PMID: 28108622
- slc26a2 is to be a critical otic gene whose dysfunction may induce hearing impairment PMID: 26375458
- findings provide the first identification of autosomal dominant SLC26A2 mutations in patients with dysplastic spondylolysis, suggesting a new clinical entity in the pathogenesis of chondrodysplasia involving lumbosacral spine PMID: 26077908
- Diastrophic dysplasia sulfate transporter (SLC26A2) is expressed in the adrenal cortex and regulates aldosterone secretion. PMID: 24591336
- Up-regulation of SLC26A2 is associated with colorectal cancer. PMID: 24222123
- A compound heterozygote SLC26A2 mutation is associated with robin sequence, mild limbs shortness, accelerated carpal ossification, and multiple epiphysial dysplasia PMID: 23840040
- SLC13A4 and SLC26A2 were the most abundant sulfate transporter mRNAs, which localized to syncytiotrophoblast and cytotrophoblast cells, respectively. PMID: 23453247
- 73% of autosomal-recessive multiple epiphyseal dysplasia patients were either homozygous, or compound heterozygous, for SLC26A2 mutations. PMID: 21922596
- Solute carrier family 26 member a2 (Slc26a2) protein functions as an electroneutral SOFormula/OH-/Cl- exchanger regulated b PMID: 22190686
- Mutations in the SLC26A2 gene causes diastrophic dysplasia. PMID: 21155763
- Analysis suggests that, while the DTDST family of disorders contains at least seven different conditions, gene mutations appear to cause a phenotypic continuum. DTDST genotype alone is an imperfect predictor of clinical severity along this continuum. PMID: 21077202
- New intermediate phenotype between MED and DD caused by compound heterozygous mutations in the DTDST gene is reported. PMID: 21077204
- Characterize transport of oxalate and sulfate by human SLC26A2 and mouse Slc26a2 expressed in Xenopus oocytes. PMID: 20219950
- Diminished DTDST expression through epigenetic silencing is associated with colon cancer. PMID: 20460514
- DTDST function is crucial for the uptake of extracellular sulfate required for proteoglycan sulfation. PMID: 14692227
- The effects of sulfur availablility on proteoglycan sulfation in mice transgenic for a mutation of this gene are reported. PMID: 16719839
- This study found an association between single nucleotide polymorphisms of the SLC26A2 gene and juvenile idiopathic arthritis. PMID: 17393463
- DTDST is upregulated by dexamethasone stimulation of HT1080 fibrosarcoma cells and is required for fibronectin (FN) extracellular matrix deposition by these cells. PMID: 18056413
- A novel SLC26A2 mutation was found in all subjects, inserted by site-directed mutagenesis in a vector harbouring the SLC26A2 cDNA, and expressed in sulfate transport deficient Chinese hamster ovary (CHO) cells to measure sulfate uptake activity PMID: 18708426
顯示更多
收起更多
-
相關疾病:Diastrophic dysplasia (DTD); Achondrogenesis 1B (ACG1B); Atelosteogenesis 2 (AO2); Multiple epiphyseal dysplasia 4 (EDM4)
-
亞細胞定位:Cell membrane; Multi-pass membrane protein.
-
蛋白家族:SLC26A/SulP transporter (TC 2.A.53) family
-
組織特異性:Ubiquitously expressed.
-
數據庫鏈接:
Most popular with customers
-
-
YWHAB Recombinant Monoclonal Antibody
Applications: ELISA, WB, IHC, IF, FC
Species Reactivity: Human, Mouse, Rat
-
Phospho-YAP1 (S127) Recombinant Monoclonal Antibody
Applications: ELISA, WB, IHC
Species Reactivity: Human
-
-
-
-
-















