SLC25A20 Antibody
-
中文名稱:SLC25A20兔多克隆抗體
-
貨號:CSB-PA021488ESR1HU
-
規格:¥440
-
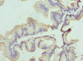
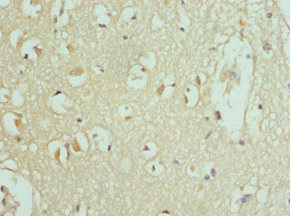
圖片:
-
其他:
產品詳情
-
產品名稱:Rabbit anti-Homo sapiens (Human) SLC25A20 Polyclonal antibody
-
Uniprot No.:
-
基因名:SLC25A20
-
別名:SLC25A20 antibody; CAC antibody; CACTMitochondrial carnitine/acylcarnitine carrier protein antibody; Carnitine/acylcarnitine translocase antibody; CAC antibody; Solute carrier family 25 member 20 antibody
-
宿主:Rabbit
-
反應種屬:Human
-
免疫原:Recombinant Human Mitochondrial carnitine/acylcarnitine carrier protein (1-301AA)
-
免疫原種屬:Homo sapiens (Human)
-
標記方式:Non-conjugated
-
克隆類型:Polyclonal
-
抗體亞型:IgG
-
純化方式:Antigen Affinity Purified
-
濃度:It differs from different batches. Please contact us to confirm it.
-
保存緩沖液:PBS with 0.02% sodium azide, 50% glycerol, pH7.3.
-
產品提供形式:Liquid
-
應用范圍:ELISA, IHC
-
推薦稀釋比:
Application Recommended Dilution IHC 1:20-1:200 -
Protocols:
-
儲存條件:Upon receipt, store at -20°C or -80°C. Avoid repeated freeze.
-
貨期:Basically, we can dispatch the products out in 1-3 working days after receiving your orders. Delivery time maybe differs from different purchasing way or location, please kindly consult your local distributors for specific delivery time.
-
用途:For Research Use Only. Not for use in diagnostic or therapeutic procedures.
相關產品
靶點詳情
-
功能:Mediates the transport of acylcarnitines of different length across the mitochondrial inner membrane from the cytosol to the mitochondrial matrix for their oxidation by the mitochondrial fatty acid-oxidation pathway.
-
基因功能參考文獻:
- we report the first 2 cases of CACTD identified from the mainland China. Apart from a founder mutation c.199-10T>G, we have identified a novel c.1A>G mutation. Patients with Carnitine-acylcarnitine translocase deficiency with a genotype of c.199-10T>G mutation usually presents with a severe clinical phenotype. Early recognition and appropriate treatment is crucial in this highly lethal disorder. PMID: 29137068
- We provide evidence that the downregulation of hsa-miR-124-3p, hsa-miR-129-5p and hsa-miR-378 induced an increase in both expression and activity of CPT1A, CACT and CrAT in malignant prostate cells. PMID: 28671672
- The antiport mode of transport, typical of mitochondrial carriers such as CAC, results from coupling of uniport reactions in opposite directions mediated by specific amino acid residues. PMID: 25325845
- C.576G>A, c.106-2a>t and c.516T>C are novel CACT gene mutations. PMID: 24088670
- CPT2 and CACT are crucial for mitochondrial acylcarnitine formation and export to the extracellular fluids in mitochondrial fatty acid beta-oxidation disorders. PMID: 23322164
- Compares and contrasts all the known human SLC25A* genes and includes functional information. PMID: 23266187
- Results show Steroid Receptor Coactivator-3 (SRC-3) plays a central role in long chain fatty acid metabolism by directly regulating carnitine/acyl-carnitine translocase (CACT) gene expression. PMID: 22560224
- These results show that FOXA and Sp1 sites in HepG2 cells and only the Sp1 site in HEK293 and SK-N-SH cells have a critical role in the transcriptional regulation of the CAC proximal promoter. PMID: 21130740
- A deficiency in CACT was treated with a carnitine diet and administration of medium-chain triglycerides. PMID: 15057979
- The clinical, biochemical, & molecular features of 6 CACT-deficient patients from Italy, Spain, & North America who had significant clinical heterogeneity are reported. 5 novel & 3 previously reported mutations were found. PMID: 15365988
- The modulation of CACT expression has consequences for CPT 1 activity, while the biologic effects of acetyl-carnitine are not associated with a generic supply of energy compounds but to the anaplerotic property of the molecule. PMID: 15515015
- Report the outcome of two siblings with CACT deficiency. PMID: 17508264
- Functional analysis of mutations of residues Pro278 and Ala279 in A. nidulans, together with kinetic data in reconstituted liposomes, suggest a predominant structural role for these amino acids. PMID: 18307102
- PPARalpha regulates the expression of human SLC25A20 via the peroxisome proliferator responsive element. PMID: 19748481
顯示更多
收起更多
-
相關疾病:Carnitine-acylcarnitine translocase deficiency (CACTD)
-
亞細胞定位:Mitochondrion inner membrane; Multi-pass membrane protein.
-
蛋白家族:Mitochondrial carrier (TC 2.A.29) family
-
數據庫鏈接:
Most popular with customers
-
-
Phospho-YAP1 (S127) Recombinant Monoclonal Antibody
Applications: ELISA, WB, IHC
Species Reactivity: Human
-
-
-
-
-
-















