SLC22A8 Antibody
-
中文名稱:SLC22A8兔多克隆抗體
-
貨號:CSB-PA967057
-
規格:¥1100
-
圖片:
-
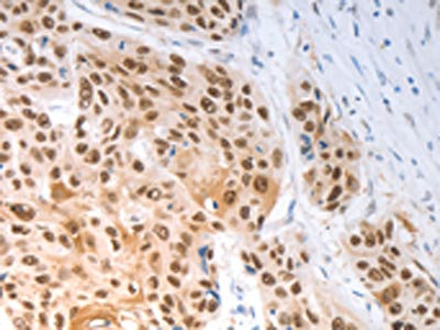
The image on the left is immunohistochemistry of paraffin-embedded Human ovarian cancer tissue using CSB-PA967057(SLC22A8 Antibody) at dilution 1/70, on the right is treated with synthetic peptide. (Original magnification: ×200)
-
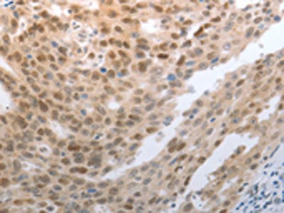
The image on the left is immunohistochemistry of paraffin-embedded Human esophagus cancer tissue using CSB-PA967057(SLC22A8 Antibody) at dilution 1/70, on the right is treated with synthetic peptide. (Original magnification: ×200)
-
-
其他:
產品詳情
-
Uniprot No.:
-
基因名:SLC22A8
-
別名:hOAT3 antibody; OAT3 antibody; Organic anion transporter 3 antibody; S22A8_HUMAN antibody; SLC22A8 antibody; Solute carrier family 22 (organic anion transporter); member 8 antibody; Solute carrier family 22 member 8 antibody
-
宿主:Rabbit
-
反應種屬:Human
-
免疫原:Synthetic peptide of Human SLC22A8
-
免疫原種屬:Homo sapiens (Human)
-
標記方式:Non-conjugated
-
抗體亞型:IgG
-
純化方式:Antigen affinity purification
-
濃度:It differs from different batches. Please contact us to confirm it.
-
保存緩沖液:-20°C, pH7.4 PBS, 0.05% NaN3, 40% Glycerol
-
產品提供形式:Liquid
-
應用范圍:ELISA,IHC
-
推薦稀釋比:
Application Recommended Dilution ELISA 1:2000-1:10000 IHC 1:50-1:200 -
Protocols:
-
儲存條件:Upon receipt, store at -20°C or -80°C. Avoid repeated freeze.
-
貨期:Basically, we can dispatch the products out in 1-3 working days after receiving your orders. Delivery time maybe differs from different purchasing way or location, please kindly consult your local distributors for specific delivery time.
-
用途:For Research Use Only. Not for use in diagnostic or therapeutic procedures.
相關產品
靶點詳情
-
功能:Plays an important role in the excretion/detoxification of endogenous and exogenous organic anions, especially from the brain and kidney. Involved in the transport basolateral of steviol, fexofenadine. Transports benzylpenicillin (PCG), estrone-3-sulfate (E1S), cimetidine (CMD), 2,4-dichloro-phenoxyacetate (2,4-D), p-amino-hippurate (PAH), acyclovir (ACV) and ochratoxin (OTA).
-
基因功能參考文獻:
- Sgk1 stimulated OAT3 transport activity by interfering with the inhibitory effect of Nedd4-2 on the transporter. This study provides important insights into how OAT3-mediated drug elimination is regulated in vivo. PMID: 28608480
- SLC22A8 variants were not significantly associated with hyperuricemia and gout in a New Zealand Maori and Pacific cohort. PMID: 28371506
- The putative promoter sequences from hOAT1 (SLC22A6) and hOAT3 (SCL22A8) were cloned into a reporter plasmid. PMID: 26277839
- PPIs inhibit [(3)H]MTX transport via hOAT3 inhibition. PMID: 25239859
- The high efficacy of bendamustine in treating chronic lymphocytic leukemia might be partly due to the expression of OAT3 in lymphoma cells and the high affinity of bendamustine for this transporter. PMID: 25477469
- Pemetrexed is a superior substrate to methotrexate for hOAT3. PMID: 24042472
- In HEK293-Flp-In cells, the OAT3-Ile305Phe variant had a lower maximum cefotaxime transport activity, Vmax , [159 +/- 3 nmol*(mg protein)(-1) /min (mean +/- SD)] compared with the reference OAT3 [305 +/- 28 nmol*(mg protein)(-1) /min, (mean +/- SD), p < 0.01]. PMID: 23649425
- High urine OAT1, OAT3 and OAT4 is associated with severe acute kidney injury. PMID: 21945944
- The data 1) reveal alpha-ketoglutarate as a common high-affinity substrate of NaDC3, OAT1, and OAT3 PMID: 21865262
- Interaction of human OAT3 with 2,3-dimercapto-1-propanesulfonic acid (DMPS) determines the effect of human OAT3 on basolateral DMPS uptake in rabbit renal proximal tubules. PMID: 20237588
- Angiotensin II inhibited hOAT3 activity through the activation of PKCalpha, which led to an acceleration of hOAT3 endocytosis. PMID: 19878671
- polymorphisms in the OAT3 gene did not appear to be associated with changes in renal and tubular secretory clearance of pravastatin PMID: 12811365
- OAT3 plays an important role for anionic drug secretion in patients with renal diseases; expression levels of drug transporters such as OAT3 may be related to the alteration of renal drug secretion. PMID: 14984259
- data suggest that genetic variation in OAT3 may contribute to variation in the disposition of drugs PMID: 16291576
- These results indicate that the tissue-specific expression of hOAT3 might be regulated by the concerted effect of genetic (HNF1alpha and HNF1beta) and epigenetic (DNA methylation) factors. PMID: 16793932
- urinary excretion of topotecan hydroxyl acid is accounted for by transport via OAT3, as well as glomerular filtration, in both rats and humans PMID: 17556638
- Inhibition of renal uptake (via OAT3) and efflux processes (via MRP2 and MRP4) explains the possible sites of drug-drug interaction for methotrexate with probenecid and some NSAIDs, including their glucuronides. PMID: 17578901
- hOAT3 contributes to the renal uptake of rosuvastatin PMID: 17585018
- The five regulatory single nucleotide polymorphism(SNP)s of OAT3 identified in nephrectomized patients are unlikely to influence OAT3 mRNA expression or promoter activity. PMID: 18414781
顯示更多
收起更多
-
亞細胞定位:Basolateral cell membrane; Multi-pass membrane protein.
-
蛋白家族:Major facilitator (TC 2.A.1) superfamily, Organic cation transporter (TC 2.A.1.19) family
-
組織特異性:Expressed in kidney.
-
數據庫鏈接:
Most popular with customers
-
YWHAB Recombinant Monoclonal Antibody
Applications: ELISA, WB, IHC, IF, FC
Species Reactivity: Human, Mouse, Rat
-
Phospho-YAP1 (S127) Recombinant Monoclonal Antibody
Applications: ELISA, WB, IHC
Species Reactivity: Human
-
-
-
-
-
-















