SLC22A17 Antibody
-
中文名稱:SLC22A17兔多克隆抗體
-
貨號:CSB-PA196561
-
規格:¥1100
-
圖片:
-
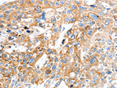
The image on the left is immunohistochemistry of paraffin-embedded Human esophagus cancer tissue using CSB-PA196561(SLC22A17 Antibody) at dilution 1/30, on the right is treated with synthetic peptide. (Original magnification: ×200)
-
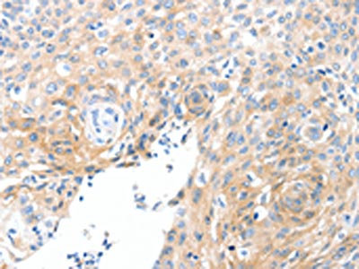
The image on the left is immunohistochemistry of paraffin-embedded Human cervical cancer tissue using CSB-PA196561(SLC22A17 Antibody) at dilution 1/30, on the right is treated with synthetic peptide. (Original magnification: ×200)
-
Gel: 10%SDS-PAGE, Lysate: 40 μg, Lane: Human esophagus cancer tissue, Primary antibody: CSB-PA196561(SLC22A17 Antibody) at dilution 1/600, Secondary antibody: Goat anti rabbit IgG at 1/8000 dilution, Exposure time: 20 seconds
-
-
其他:
產品詳情
-
Uniprot No.:
-
基因名:SLC22A17
-
別名:24p3 receptor antibody; 24p3R antibody; BOCT antibody; BOIT antibody; Brain type organic cation transporter antibody; Brain-type organic cation transporter antibody; hBOIT antibody; Lipocalin-2 receptor antibody; Neutrophil gelatinase associated lipocalin receptor antibody; Neutrophil gelatinase-associated lipocalin receptor antibody; NGAL receptor antibody; NgalR antibody; NGALR2 antibody; NGALR3 antibody; OTTHUMP00000082690 antibody; OTTHUMP00000082691 antibody; Potent brain type organic ion transporter antibody; S22AH_HUMAN antibody; Slc22a17 antibody; Solute carrier family 22 member 17 antibody; Solute carrier family 22 organic cation transporter member 17 antibody
-
宿主:Rabbit
-
反應種屬:Human,Mouse,Rat
-
免疫原:Synthetic peptide of Human SLC22A17
-
免疫原種屬:Homo sapiens (Human)
-
標記方式:Non-conjugated
-
抗體亞型:IgG
-
純化方式:Antigen affinity purification
-
濃度:It differs from different batches. Please contact us to confirm it.
-
保存緩沖液:-20°C, pH7.4 PBS, 0.05% NaN3, 40% Glycerol
-
產品提供形式:Liquid
-
應用范圍:ELISA,WB,IHC
-
推薦稀釋比:
Application Recommended Dilution ELISA 1:2000-1:5000 WB 1:500-1:2000 IHC 1:25-1:100 -
Protocols:
-
儲存條件:Upon receipt, store at -20°C or -80°C. Avoid repeated freeze.
-
貨期:Basically, we can dispatch the products out in 1-3 working days after receiving your orders. Delivery time maybe differs from different purchasing way or location, please kindly consult your local distributors for specific delivery time.
-
用途:For Research Use Only. Not for use in diagnostic or therapeutic procedures.
相關產品
靶點詳情
-
功能:Cell surface receptor for LCN2 (24p3) that plays a key role in iron homeostasis and transport. Able to bind iron-bound LCN2 (holo-24p3), followed by internalization of holo-24p3 and release of iron, thereby increasing intracellular iron concentration and leading to inhibition of apoptosis. Also binds iron-free LCN2 (apo-24p3), followed by internalization of apo-24p3 and its association with an intracellular siderophore, leading to iron chelation and iron transfer to the extracellular medium, thereby reducing intracellular iron concentration and resulting in apoptosis.
-
基因功能參考文獻:
- Results showed the expression levels of NGAL and NGALR significantly downregulated in clear cell renal cell carcinoma samples. PMID: 30138675
- Biochemical and Structural Characterization of the Interaction between the Siderocalin NGAL/LCN2 (Neutrophil Gelatinase-associated Lipocalin/Lipocalin 2) and the N-terminal Domain of Its Endocytic Receptor SLC22A17. PMID: 26635366
- Lipocalin 2 might restore the health and regeneration potential of MSCs by decreasing senescence PMID: 24452457
- No significant difference was found in the expressions of NGALR mRNA in placenta among moderate preeclampsia group, severe preeclampsia group and control group. PMID: 22932106
- NGAL and NGALR expression might be served as novel prognostic factors and potential therapeutic targets in Hepatocellular carcinoma. PMID: 22728279
- This study suggested that NGAL and NGALR expression are frequently up-regulated in gliomas, and are closely associated with poor clinical outcome. PMID: 21184133
- These results suggested that SLC22A17, in cooperation with LCN2, to be involved in the acquisition of aggressive behavior among endometrial carcinoma cells. PMID: 21763306
- Neutrophil gelatinase-associated lipocalin receptor (NGALR) is differentially expressed in human glomerular disease and is significantly up-regulated by Il-1beta in HMC via MAPK/ERK activation. PMID: 21305251
- NGALR hypomethylation contributes to its expression in esophageal carcinomas and that this overexpression may play a role in the pathogenesis of esophageal carcinomas. PMID: 19047093
顯示更多
收起更多
-
亞細胞定位:Cell membrane; Multi-pass membrane protein. Vacuole membrane; Multi-pass membrane protein. Note=Upon LCN2-binding, it is internalized.
-
蛋白家族:Major facilitator (TC 2.A.1) superfamily, Organic cation transporter (TC 2.A.1.19) family
-
組織特異性:Expressed in brain.
-
數據庫鏈接:
Most popular with customers
-
-
YWHAB Recombinant Monoclonal Antibody
Applications: ELISA, WB, IHC, IF, FC
Species Reactivity: Human, Mouse, Rat
-
Phospho-YAP1 (S127) Recombinant Monoclonal Antibody
Applications: ELISA, WB, IHC
Species Reactivity: Human
-
-
-
-
-















