SLC22A11 Antibody
-
中文名稱:SLC22A11兔多克隆抗體
-
貨號:CSB-PA882097ESR1HU
-
規格:¥440
-
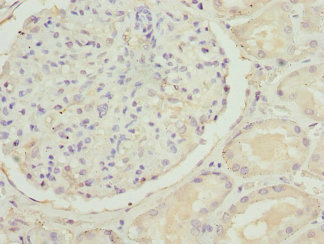
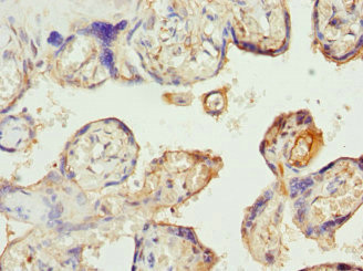
圖片:
-
其他:
產品詳情
-
產品名稱:Rabbit anti-Homo sapiens (Human) SLC22A11 Polyclonal antibody
-
Uniprot No.:
-
基因名:SLC22A11
-
別名:hOAT4 antibody; MGC34282 antibody; OAT4 antibody; Organic anion transporter 4 antibody; S22AB_HUMAN antibody; SLC22A11 antibody; Solute carrier family 22 (organic anion/urate transporter) member 11 antibody; Solute carrier family 22 member 11 antibody
-
宿主:Rabbit
-
反應種屬:Human
-
免疫原:Recombinant Human Solute carrier family 22 member 11 protein (40-150AA)
-
免疫原種屬:Homo sapiens (Human)
-
標記方式:Non-conjugated
-
克隆類型:Polyclonal
-
抗體亞型:IgG
-
純化方式:Antigen Affinity Purified
-
濃度:It differs from different batches. Please contact us to confirm it.
-
保存緩沖液:PBS with 0.02% sodium azide, 50% glycerol, pH7.3.
-
產品提供形式:Liquid
-
應用范圍:ELISA, IHC
-
推薦稀釋比:
Application Recommended Dilution IHC 1:20-1:200 -
Protocols:
-
儲存條件:Upon receipt, store at -20°C or -80°C. Avoid repeated freeze.
-
貨期:Basically, we can dispatch the products out in 1-3 working days after receiving your orders. Delivery time maybe differs from different purchasing way or location, please kindly consult your local distributors for specific delivery time.
-
用途:For Research Use Only. Not for use in diagnostic or therapeutic procedures.
相關產品
靶點詳情
-
功能:Mediates saturable uptake of estrone sulfate, dehydroepiandrosterone sulfate and related compounds.
-
基因功能參考文獻:
- The first genome-wide association study for serum uric acid level in Indians revealed association of SLC2A9, SLC22A11 and ABCG2 gene variants at genome wide significance level in Type 2 diabetes patients. PMID: 26902266
- modifies placental passage of perfluorinated alkyl acids, may decrease fetal exposure PMID: 26303760
- The regulation of hOAT4 activity was mediated by sgk2 acting through Nedd4-2. PMID: 26740304
- SLC22A11 at the basal plasma membrane of human placental syncytiotrophoblasts plays a predominant role in the uptake of 16alpha-OH DHEAS for placental estriol synthesis. PMID: 25919187
- A common variant of OAT4/SLC22A11 is associated with renal underexcretion type gout in Japanese men. PMID: 24025986
- Our analysis provides evidence for multiple ancestral-specific effects across the SLC22A11/SLC22A12 locus that presumably influence the activity of OAT4 and URAT1 and risk of gout. PMID: 24360580
- When investigating the genes separately, SLC22A11 and SLC2A9 showed a significant interaction, consistent with the former encoding an organic anion/dicarboxylate exchanger, which mediates diuretic transport in the kidney. PMID: 22753387
- Genetic variants of human organic anion transporter 4 demonstrate altered transport of endogenous substrates. PMID: 20668102
- The down-regulation of hOAT4 activity by activation of protein kinase C and the up-regulation of hOAT4 activity by NHERF-1 are mediated through alteration of hOAT4 internalization. PMID: 20140636
- Several naturally occurring SNPs encode variant hOAT4s that may impair the renal tubular re-absorption of important drug substrates. PMID: 20015291
- elucidation of the molecular mechanism for renal tetracycline transport by human organic anion transporters (hOATs) using proximal tubular cells stably expressing hOATs PMID: 11855680
- Glycosylation serves as a means to specifically regulate hOAT4 function in vivo. PMID: 15576633
- hOAT4 is the long-postulated, low-affinity apical urate anion exchanger that facilitates hydrochlorothiazide-associated hyperuricemia. PMID: 17229912
- The interaction of PDZ proteins with hOAT4 may be cell-specific. In placenta, a different set of interacting proteins from PDZK1 and NHERF1 may be required to modulate hOAT4 activity. PMID: 17602283
- The present study demonstrates that hOAT4 variants can causing inter-individual variation in anionic drug uptake and, therefore, could be used as markers for certain diseases including osteoporosis. PMID: 18414001
- Findings suggest that hOAT4 and caveolin-1 share a cellular expression in the plasma membrane and caveolin-1 up-regulates the organic anionic compound uptake by hOAT4 under the normal physiological condition. PMID: 18985008
顯示更多
收起更多
-
亞細胞定位:Cell membrane; Multi-pass membrane protein.
-
蛋白家族:Major facilitator (TC 2.A.1) superfamily, Organic cation transporter (TC 2.A.1.19) family
-
組織特異性:Detected in placenta and kidney.
-
數據庫鏈接:
Most popular with customers
-
-
YWHAB Recombinant Monoclonal Antibody
Applications: ELISA, WB, IHC, IF, FC
Species Reactivity: Human, Mouse, Rat
-
Phospho-YAP1 (S127) Recombinant Monoclonal Antibody
Applications: ELISA, WB, IHC
Species Reactivity: Human
-
-
-
-
-















