SLC20A1 Antibody
-
中文名稱:SLC20A1兔多克隆抗體
-
貨號:CSB-PA132606
-
規格:¥1100
-
圖片:
-
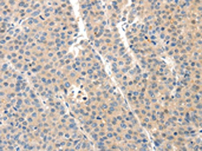
The image on the left is immunohistochemistry of paraffin-embedded Human liver cancer tissue using CSB-PA132606(SLC20A1 Antibody) at dilution 1/40, on the right is treated with synthetic peptide. (Original magnification: ×200)
-
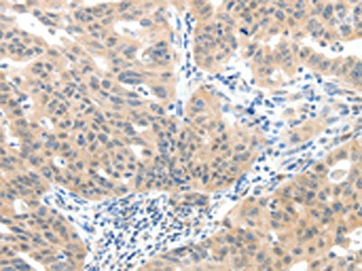
The image on the left is immunohistochemistry of paraffin-embedded Human ovarian cancer tissue using CSB-PA132606(SLC20A1 Antibody) at dilution 1/40, on the right is treated with synthetic peptide. (Original magnification: ×200)
-
-
其他:
產品詳情
-
Uniprot No.:
-
基因名:
-
別名:DKFZp686J2397 antibody; FLJ41426 antibody; Gibbon ape leukemia virus receptor 1 antibody; GLVR 1 antibody; GLVR-1 antibody; GLVR1 antibody; Leukemia virus receptor 1 homolog antibody; Phosphate transporter 1 antibody; PIT 1 antibody; PiT-1 antibody; PIT1 antibody; S20A1_HUMAN antibody; Slc20a1 antibody; Sodium dependent phosphate transporter 1 antibody; Sodium-dependent phosphate transporter 1 antibody; Solute carrier family 20 (phosphate transporter) member 1 antibody; Solute carrier family 20 member 1 antibody
-
宿主:Rabbit
-
反應種屬:Human,Mouse,Rat
-
免疫原:Synthetic peptide of Human SLC20A1
-
免疫原種屬:Homo sapiens (Human)
-
標記方式:Non-conjugated
-
抗體亞型:IgG
-
純化方式:Antigen affinity purification
-
濃度:It differs from different batches. Please contact us to confirm it.
-
保存緩沖液:-20°C, pH7.4 PBS, 0.05% NaN3, 40% Glycerol
-
產品提供形式:Liquid
-
應用范圍:ELISA,IHC
-
推薦稀釋比:
Application Recommended Dilution ELISA 1:1000-1:5000 IHC 1:25-1:100 -
Protocols:
-
儲存條件:Upon receipt, store at -20°C or -80°C. Avoid repeated freeze.
-
貨期:Basically, we can dispatch the products out in 1-3 working days after receiving your orders. Delivery time maybe differs from different purchasing way or location, please kindly consult your local distributors for specific delivery time.
-
用途:For Research Use Only. Not for use in diagnostic or therapeutic procedures.
相關產品
靶點詳情
-
功能:Sodium-phosphate symporter which plays a fundamental housekeeping role in phosphate transport, such as absorbing phosphate from interstitial fluid for normal cellular functions such as cellular metabolism, signal transduction, and nucleic acid and lipid synthesis. May play a role in extracellular matrix and cartilage calcification as well as in vascular calcification.; (Microbial infection) May function as a retroviral receptor as it confers human cells susceptibility to infection to Gibbon Ape Leukemia Virus (GaLV), Simian sarcoma-associated virus (SSAV) and Feline leukemia virus subgroup B (FeLV-B) as well as 10A1 murine leukemia virus (10A1 MLV).
-
基因功能參考文獻:
- Targeted sequencing of two candidate genes, SLC20A1 and SLC15A4, of the solute carrier membrane transport protein family in 200 additional patients demonstrated two further variants predicted as damaging for combined hormone deficiency. PMID: 29261175
- Overexpression of SLC20A1 is associated with Estrogen Receptor-positive Breast Cancer. PMID: 27986439
- indoxyl sulfate promotes Pit-1 expression in part by activation of the JNK pathway in vascular smooth muscle cells PMID: 27001263
- Ox-LDL induces an osteogenic change in human aortic valve interstitial cells marked by the induction of PiT-1. PMID: 23849774
- Overexpression of SLC20A1 promotes apoptosis and mineralization by altering the level of Akt-1. PMID: 23308213
- Allelic variations in SLC20A1 were associated with the levels of Sodium-lithium countertransport. PMID: 21796222
- the human PiT2 histidine, H(502), and the human PiT1 glutamate, E(70),--both conserved in eukaryotic PiT family members--are critical for P(i) transport function PMID: 21586110
- Identification of a novel transport-independent function of PiT1/SLC20A1 in the regulation of TNF-induced apoptosis. PMID: 20817733
- propose that region A of Pit1 confers competence for viral entry by influencing the topology of the authentic binding site in the membrane and hence its accessibility to a viral envelope protein PMID: 12097582
- Two highly conserved glutamate residues critical for sodium-dependent phosphate transport are revealed by uncoupling transport function from retroviral receptor function. PMID: 12205090
- Our results link low-grade IL-8-mediated cartilaginous inflammation in OA to altered chondrocyte differentiation and disease progression through PiT-1 expression and sodium-dependent Pi uptake mediated by CXCR1 signaling. PMID: 15641067
- Phosphate uptake through Pit-1 is essential for vascular smooth muscle cell calcification and phenotypic modulation in response to elevated phosphate. PMID: 16527991
- Results describe the characterization of transport mechanisms and determinants critical for sodium-dependent phosphate symport of the PiT family paralogs human PiT1 and PiT2. PMID: 16790504
- Analysis of kinetics and substrate specificity of SLC20A1. PMID: 17494632
- An overexpression of Pit-1 seems to play a key role in the formation of soft tissue calcification in Werner syndrome. PMID: 18729813
- PiT1 depletion markedly reduces cell proliferation, delays cell cycle, and impairs mitosis and cytokinesis. PMID: 19726692
顯示更多
收起更多
-
亞細胞定位:Membrane; Multi-pass membrane protein.
-
蛋白家族:Inorganic phosphate transporter (PiT) (TC 2.A.20) family
-
組織特異性:Ubiquitously expressed.
-
數據庫鏈接:
Most popular with customers
-
YWHAB Recombinant Monoclonal Antibody
Applications: ELISA, WB, IHC, IF, FC
Species Reactivity: Human, Mouse, Rat
-
Phospho-YAP1 (S127) Recombinant Monoclonal Antibody
Applications: ELISA, WB, IHC
Species Reactivity: Human
-
-
-
-
-
-















