SLC1A4 Antibody
-
中文名稱:SLC1A4兔多克隆抗體
-
貨號:CSB-PA443704
-
規格:¥1100
-
圖片:
-
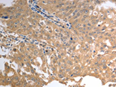
The image on the left is immunohistochemistry of paraffin-embedded Human ovarian cancer tissue using CSB-PA443704(SLC1A4 Antibody) at dilution 1/70, on the right is treated with synthetic peptide. (Original magnification: ×200)
-
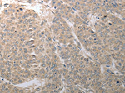
The image on the left is immunohistochemistry of paraffin-embedded Human liver cancer tissue using CSB-PA443704(SLC1A4 Antibody) at dilution 1/70, on the right is treated with synthetic peptide. (Original magnification: ×200)
-
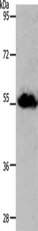
Gel: 10+12%SDS-PAGE, Lysate: 30 μg, Lane: Human liver cancer tissue, Primary antibody: CSB-PA443704(SLC1A4 Antibody) at dilution 1/1250, Secondary antibody: Goat anti rabbit IgG at 1/8000 dilution, Exposure time: 20 seconds
-
-
其他:
產品詳情
-
Uniprot No.:
-
基因名:
-
別名:Alanine/serine/cysteine/threonine transporter 1 antibody; ASCT-1 antibody; ASCT1 antibody; AW045657 antibody; Glutamate/neutral amino acid transporter antibody; Neutral amino acid transporter A antibody; OTTHUMP00000159933 antibody; OTTHUMP00000235138 antibody; SATT antibody; SATT_HUMAN antibody; SLC1A4 antibody; Solute carrier family 1 (glutamate/neutral amino acid transporter), member 4 antibody; Solute carrier family 1 member 4 antibody
-
宿主:Rabbit
-
反應種屬:Human,Mouse
-
免疫原:Synthetic peptide of Human SLC1A4
-
免疫原種屬:Homo sapiens (Human)
-
標記方式:Non-conjugated
-
抗體亞型:IgG
-
純化方式:Antigen affinity purification
-
濃度:It differs from different batches. Please contact us to confirm it.
-
保存緩沖液:-20°C, pH7.4 PBS, 0.05% NaN3, 40% Glycerol
-
產品提供形式:Liquid
-
應用范圍:ELISA,WB,IHC
-
推薦稀釋比:
Application Recommended Dilution ELISA 1:2000-1:10000 WB 1:1000-1:5000 IHC 1:100-1:300 -
Protocols:
-
儲存條件:Upon receipt, store at -20°C or -80°C. Avoid repeated freeze.
-
貨期:Basically, we can dispatch the products out in 1-3 working days after receiving your orders. Delivery time maybe differs from different purchasing way or location, please kindly consult your local distributors for specific delivery time.
-
用途:For Research Use Only. Not for use in diagnostic or therapeutic procedures.
相關產品
靶點詳情
-
功能:Transporter for alanine, serine, cysteine, and threonine. Exhibits sodium dependence.
-
基因功能參考文獻:
- Results suggest that ASCT1/2 may play an important role in regulating extracellular d-serine and NMDA receptor-mediated physiological effects and that ASCT1/2 inhibitors have the potential for therapeutic benefit. PMID: 28807674
- ANKRD50 simultaneously engages multiple parts of the SNX27-retromer-WASH complex machinery in a direct and co-operative interaction network that is needed to efficiently recycle the nutrient transporters PMID: 27909246
- SLC1A4 deficiency should not be considered a population-specific disorder, and all patients with unexplained severe neurodevelopmental delay and the features outlined should be investigated regardless of ethnicity, as there are no known metabolic markers of this potentially treatable condition. PMID: 27193218
- SLC1A4 is the disease causing gene of a novel neurologic disorder manifesting with significant intellectual disability, severe postnatal microcephaly, spasticity and thin corpus callosum. PMID: 26138499
- ASCT1 is essential in brain serine transport. PMID: 26041762
- SLC1A4 disruption may impair brain development and function by decreasing the levels of L-serine in neurons. The identification of additional families with mutations in SLC1A4 would be necessary to confirm its involvement in intellectual disability. PMID: 25930971
- Na+ interactions with the neutral amino acid transporter ASCT1. PMID: 24808181
- ASCT1 is able to mediate a concentrative transport of alanine, which is Na+-dependent but not coupled to the Na+ gradient PMID: 11824937
- used as receptor by HERV-W Env glycoprotein PMID: 12050356
- results strongly suggest that combinations of amino acid sequence changes and N-linked oligosaccharides in a critical carboxyl-terminal region of extracellular loop 2 (ECL2) control retroviral utilization of both the ASCT1 and ASCT2 receptors PMID: 12584318
- This study revealed genetic associations of SLC1A4, SQSTM1, and EIF4EBP1 with MSA. These results may lend genetic support to the hypothesis that oxidative stress is associated with the pathogenesis of MSA. PMID: 18442140
- SLC1A4 gene is associated with schizophrenia. PMID: 18638388
顯示更多
收起更多
-
相關疾病:Spastic tetraplegia, thin corpus callosum, and progressive microcephaly (SPATCCM)
-
亞細胞定位:Membrane; Multi-pass membrane protein. Melanosome. Note=Identified by mass spectrometry in melanosome fractions from stage I to stage IV.
-
蛋白家族:Dicarboxylate/amino acid:cation symporter (DAACS) (TC 2.A.23) family, SLC1A4 subfamily
-
組織特異性:Expressed mostly in brain, muscle, and pancreas but detected in all tissues examined.
-
數據庫鏈接:
Most popular with customers
-
-
YWHAB Recombinant Monoclonal Antibody
Applications: ELISA, WB, IHC, IF, FC
Species Reactivity: Human, Mouse, Rat
-
Phospho-YAP1 (S127) Recombinant Monoclonal Antibody
Applications: ELISA, WB, IHC
Species Reactivity: Human
-
-
-
-
-















