SLC1A3 Antibody
-
中文名稱:SLC1A3兔多克隆抗體
-
貨號:CSB-PA021434LA11HU
-
規格:¥440
-
圖片:
-
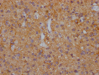
IHC image of CSB-PA021434LA11HU diluted at 1:200 and staining in paraffin-embedded human glioma cancer performed on a Leica BondTM system. After dewaxing and hydration, antigen retrieval was mediated by high pressure in a citrate buffer (pH 6.0). Section was blocked with 10% normal goat serum 30min at RT. Then primary antibody (1% BSA) was incubated at 4°C overnight. The primary is detected by a Goat anti-rabbit polymer IgG labeled by HRP and visualized using 0.05% DAB.
-
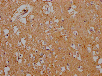
IHC image of CSB-PA021434LA11HU diluted at 1:200 and staining in paraffin-embedded human brain tissue performed on a Leica BondTM system. After dewaxing and hydration, antigen retrieval was mediated by high pressure in a citrate buffer (pH 6.0). Section was blocked with 10% normal goat serum 30min at RT. Then primary antibody (1% BSA) was incubated at 4°C overnight. The primary is detected by a Goat anti-rabbit polymer IgG labeled by HRP and visualized using 0.05% DAB.
-
Immunofluorescence staining of U251 cells with CSB-PA021434LA11HU at 1:100, counter-stained with DAPI. The cells were fixed in 4% formaldehyde and blocked in 10% normal Goat Serum. The cells were then incubated with the antibody overnight at 4°C. The secondary antibody was Alexa Fluor 488-congugated AffiniPure Goat Anti-Rabbit IgG(H+L).
-
-
其他:
產品詳情
-
產品名稱:Rabbit anti-Homo sapiens (Human) SLC1A3 Polyclonal antibody
-
Uniprot No.:
-
基因名:
-
別名:EA6 antibody; EAA1_HUMAN antibody; EAAT1 antibody; Excitatory amino acid transporter 1 antibody; FLJ25094 antibody; GLAST antibody; GLAST-1 antibody; GLAST1 antibody; Glial high affinity glutamate transporter antibody; glutamate/aspartate transporter; high affinity; sodium-dependent antibody; High affinity neuronal glutamate transporter antibody; Slc1a3 antibody; Sodium dependent glutamate/aspartate transporter antibody; Sodium-dependent glutamate/aspartate transporter 1 antibody; Solute carrier family 1 (glial high affinity glutamate transporter) member 3 antibody; Solute carrier family 1 member 3 antibody
-
宿主:Rabbit
-
反應種屬:Human
-
免疫原:Recombinant Human Excitatory amino acid transporter 1 protein (146-236AA)
-
免疫原種屬:Homo sapiens (Human)
-
標記方式:Non-conjugated
本頁面中的產品,SLC1A3 Antibody (CSB-PA021434LA11HU),的標記方式是Non-conjugated。對于SLC1A3 Antibody,我們還提供其他標記。見下表:
-
克隆類型:Polyclonal
-
抗體亞型:IgG
-
純化方式:>95%, Protein G purified
-
濃度:It differs from different batches. Please contact us to confirm it.
-
保存緩沖液:Preservative: 0.03% Proclin 300
Constituents: 50% Glycerol, 0.01M PBS, PH 7.4 -
產品提供形式:Liquid
-
應用范圍:ELISA, IHC, IF
-
推薦稀釋比:
Application Recommended Dilution IHC 1:200-1:500 IF 1:100-1:500 -
Protocols:
-
儲存條件:Upon receipt, store at -20°C or -80°C. Avoid repeated freeze.
-
貨期:Basically, we can dispatch the products out in 1-3 working days after receiving your orders. Delivery time maybe differs from different purchasing way or location, please kindly consult your local distributors for specific delivery time.
-
用途:For Research Use Only. Not for use in diagnostic or therapeutic procedures.
相關產品
靶點詳情
-
功能:Sodium-dependent, high-affinity amino acid transporter that mediates the uptake of L-glutamate and also L-aspartate and D-aspartate. Functions as a symporter that transports one amino acid molecule together with two or three Na(+) ions and one proton, in parallel with the counter-transport of one K(+) ion. Mediates Cl(-) flux that is not coupled to amino acid transport; this avoids the accumulation of negative charges due to aspartate and Na(+) symport. Plays a redundant role in the rapid removal of released glutamate from the synaptic cleft, which is essential for terminating the postsynaptic action of glutamate.
-
基因功能參考文獻:
- EAAT1 rs2731880 SNP is associated with amygdala functional connectivity in bipolar disorder. PMID: 30073554
- Episodic ataxias 6 is caused by heterozygous mutations in SLC1A3, which encodes a subunit of a glial excitatory amino acid transporter, EAAT1. PMID: 29891059
- a novel missense mutation, c.383T>G (p.Met128Arg) in SLC1A3, in an episodic ataxia patient by whole-exome sequencing. PMID: 29208948
- This is the first study to link SLC1A3 and EPHB2 to clinically relevant vertebral osteoporosis phenotypes. PMID: 27476799
- crystal structures of a thermostabilized human SLC1 transporter, the excitatory amino acid transporter 1 (EAAT1), with and without allosteric and competitive inhibitors bound PMID: 28424515
- This study demonstrated that the cytopathology and episodic paralysis in our Drosophila EA6 model stem from a gain-of-function chloride channelopathy of glial cells.. PMID: 27445142
- Starvation of Muller cells increased the glutamate uptake capacity as well as the expression of the most abundant glutamate transporter, EAAT1. PMID: 27196320
- A heterozygous SLC1A3 c.1177G4A mutation has been detected in a patient with late-onset episodic ataxia. Same heterozygous mutation was identified in one clinically affected family member and two asymptomatic members. PMID: 27829685
- We consider an association between SLC1A3 and the behavioural problems which can also be considered a contributing factor to behavioural problems in larger duplications overlapping the 5p13 microduplication syndrome region. PMID: 27296938
- In combination with other nearby residues, Arg-388 coordinates anion channel gating and forms part of the missing structural link between the anion conducting and substrate transport states in EAAT1. PMID: 26683197
- There was no association between pyramidal cell EAAT1 splice variant expression and schizophrenia. PMID: 26057049
- data provide additional insights into the mechanism by which substrates gate the anion conductance in EAATs and suggest that in EAAT1, Arg-388 is a critical element for the structural coupling between the substrate translocation and the gating mechanisms PMID: 26203187
- discovering compounds that can enhance EAAT1 expression and activity may be a novel strategy for therapeutic treatment of glaucoma. PMID: 25789968
- EAAT1 polymorphism which is involved in the Regulation of extracellular glutamate concentrations, influences Cognitive performances with a detrimental effect of T/T homozygosis. PMID: 25660734
- Its dysregulation may contribute to the pathology and possibly affect the onset of fragile X-associated tremor/ataxia syndrome. PMID: 24332449
- Increased SLC1A3 expression in the cerebellum of elderly schizophrenia patients indicates facilitated transport and may result in reduced glutamate neurotransmission. PMID: 22424243
- Plasma membrane EAAT1 (and NCX1)are both involved in glutamate-induced ATP synthesis. PMID: 23913256
- Decreased expression of EAAT1 protein remodels glutamate neurotransmission in the superior temporal gyrus in schizophrenia. PMID: 23356950
- Episodic ataxia type 6 represents the first human disease found to be associated with altered function of excitatory amino acid transporter anion channels. PMID: 23107647
- Close functional similarities of the GLAST/EAAT-1 promoter regions in man and rat exist which point to a species-specific function of the GLAST/EAAT-1 3'-UTR in constitutive and regulated GLAST/EAAT-1 expression. PMID: 22252783
- EAAT-1 expression was found in 91% of choroid plexus tumors and was absent in endolymphatic sac tumors. PMID: 22706862
- Letter: report expression of dishevelled-3 and EAAT1 and glutamine metabolism in malignant pleural mesothelioma. PMID: 22569537
- The accessibility in the external part of the TM5 of the glutamate transporter EAAT1 is conformationally sensitive during the transport cycle. PMID: 22292083
- These results indicate that E219D is a functional SLC1A3 variant that is presented in a small number of individuals with Tourette syndrome. PMID: 21233784
- water and urea permeation properties of wild-type EAAT1 and two mutant transporters were measured to identify which permeation pathway facilitates the movement of these molecules PMID: 21732909
- A series of single cysteine substitutions in the helical hairpin HP2 of excitatory amino acid transporter 1 form intersubunit disulfide cross-links within the trimer. PMID: 21876140
- There is no association between SLC1A3 and normal tension glaucoma (NTG), suggesting that the SLC1A3 gene may not be an associated factor in NTG pathogenesis. PMID: 21528001
- Dose-dependent modulation of EAAT1-mediated aspartate transport by benzodiazepines suggests a role of glial as well as neuronal transporters in drug action. PMID: 11792462
- EAAT1 was strongly expressed in a subset of cortical pyramidal neurons in dementia cases showing Alzheimer-type pathology. In addition, tau (which is a marker of neurofibrillary pathology) colocalized to those same pyramidal cells that expressed EAAT1 PMID: 11826152
- Data show that excitatory amino acid transporter (EAAT)-1 was expressed by activated macrophages/microglia in all HIV-infected cases but not in HIV-negative controls. PMID: 12769187
- To test whether Nedd4-2, SGK1, SGK3 and protein kinase B regulate EAAT1, cRNA encoding EAAT1 was injected into Xenopus oocytes with or without injection of Nedd4-2, constitutively active[CA] S422DSGK1, inactive K127NSGK1, SGK3 and/or CA T308D,S473DPKB PMID: 12911626
- Transcriptional regulation of human excitatory amino acid transporter 1 (EAAT1): cloning of the EAAT1 promoter and characterization of its basal and inducible activity in human astrocytes. PMID: 14713304
- We observed decreased glutamate uptake V(max), without modification of transporter affinity, in aging, which could be linked to the selective decrease of EAAT1 expression and mRNA. Moreover, in AD patients we found a further EAAT1 reduction. PMID: 14749132
- Only activated macrophages/microglia (AMM) expressed EAAT-1. Proportion of AMM expressing EAAT-1 did not correlate with severity of neuronal apoptosis, spongiosis, astrocytosis, microgliosis, or PrP deposition, but only with disease duration. PMID: 15535133
- EAAT1 parameters were mutually correlated (p<0.01) and correlations were shown with dementia severity (p<0.05 MMSE-expression, p<0.005 MMSE-mRNA). PMID: 15718040
- Genetic variation in SLC1A3 may contribute to susceptibility to ADHD. PMID: 15950021
- EAAT1ex9skip splice variant is a negative regulator of full-length EAAT1 function in the human brain PMID: 16042756
- Our data show that a heterozygous mutation in EAAT1 can lead to decreased glutamate uptake, which can contribute to neuronal hyperexcitability to cause seizures, hemiplegia, and episodic ataxia. PMID: 16116111
- the activity of glutamate transporter GLAST/EAAT1 can effectively regulate the cell surface expression of glutamine/neutral amino acid transporter ASCT2 in human fetal astrocytes PMID: 16516348
- Rearrangements in the tertiary structure of the EAAT1 translocation pore during transport provide constraints for modeling the structural dynamics associated with transport. PMID: 16877378
- SLC1A3 is unlikely to be a major susceptibility gene for schizophrenia in the Japanese population. PMID: 17221839
- Activity of GLAST directs FXYD2 protein/gamma subunit to the cell surface, that leads to the activation of the astroglial sodium pump. PMID: 17316900
- Continued expression of GLAST by neural progenitor cells in the transgenic mouse brain raises the possibility that GLAST may have an unanticipated role in regulating their behavior. PMID: 17581948
- We documented for the first time the expression of the mGluR5 and EAAT1 in MG-63 cells, as well as the ability of dexamethasone to upregulate the expression of the mGluR5 and EAAT1 in the MG-63 cells. PMID: 17627080
- Mutations in transmembrane domains 5 and 7 of the human excitatory amino acid transporter 1 affect the substrate-activated anion channel PMID: 17676873
- No pathogenic mutation were identified in SLC1A3. PMID: 18446307
- increased expression in the prefrontal cortex of chronic alcoholics PMID: 18657127
- analysis of the importance of Leu-303 or its counterpart Leu-391 in human EAAT1 (hEAAT1) PMID: 18678877
- We broadened the clinical spectrum associated with SLC1A3 mutations to include milder manifestations of EA without seizures or alternating hemiplegia. The severity of EA6 symptoms is related to the extent of glutamate transporter dysfunction. PMID: 19139306
顯示更多
收起更多
-
相關疾?。?/div>Episodic ataxia 6 (EA6)亞細胞定位:Cell membrane; Multi-pass membrane protein.蛋白家族:Dicarboxylate/amino acid:cation symporter (DAACS) (TC 2.A.23) family, SLC1A3 subfamily組織特異性:Detected in brain. Detected at very much lower levels in heart, lung, placenta and skeletal muscle. Highly expressed in cerebellum, but also found in frontal cortex, hippocampus and basal ganglia.數據庫鏈接:
Most popular with customers
-
-
YWHAB Recombinant Monoclonal Antibody
Applications: ELISA, WB, IHC, IF, FC
Species Reactivity: Human, Mouse, Rat
-
Phospho-YAP1 (S127) Recombinant Monoclonal Antibody
Applications: ELISA, WB, IHC
Species Reactivity: Human
-
-
-
-
-















