SLC16A9 Antibody
-
中文名稱:SLC16A9兔多克隆抗體
-
貨號:CSB-PA742402LA01HU
-
規格:¥440
-
圖片:
-
Western Blot
Positive WB detected in: SY5Y whole cell lysate(30μg), K562 whole cell lysate(30μg), 293 whole cell lysate(30μg), JK whole cell lysate(30μg),Mouse Heart tissue lysate(30μg),Mouse Liver tissue lysate(30μg),Mouse Brain tissue lysate(30μg)
All lanes: SLC16A9 antibody at 1:1000
Secondary
Goat polyclonal to rabbit IgG at 1/40000 dilution
Predicted band size: 56 kDa
Observed band size: 56 kDa
Exposure time: 60s -
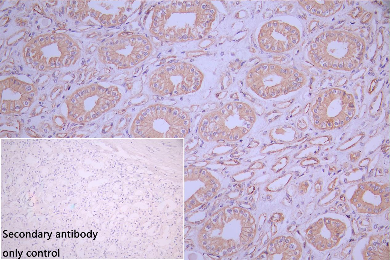
IHC image of CSB-PA742402LA01HU diluted at 1:100 and staining in paraffin-embedded human kidney tissue performed on a Leica BondTM system. After dewaxing and hydration, antigen retrieval was mediated by high pressure in a citrate buffer (pH 6.0). Section was blocked with 10% normal goat serum 30min at RT. Then primary antibody (1% BSA) was incubated at 4°C overnight. The primary is detected by a Goat anti-rabbit polymer IgG labeled by HRP and visualized using 0.05% DAB. Secondary antibody only control: uses 1% BSA instead of primary antibody
-
Immunofluorescence staining of U251 cell with CSB-PA742402LA01HU at 1:30, counter-stained with DAPI. The cells were fixed in 4% formaldehyde and blocked in 10% normal Goat Serum. The cells were then incubated with the antibody overnight at 4C. The secondary antibody was Alexa Fluor 488-congugated AffiniPure Goat Anti-Rabbit IgG(H+L).
-
Immunofluorescence staining of U251 cell with 5% goat serum, counter-stained with DAPI. The cells were fixed in 4% formaldehyde and blocked in 10% normal Goat Serum. The cells were then incubated with the antibody overnight at 4C. The secondary antibody was Alexa Fluor 488-congugated AffiniPure Goat Anti-Rabbit IgG(H+L).
-
Immunofluorescence staining of PC-3 cell with CSB-PA742402LA01HU at 1:30, counter-stained with DAPI. The cells were fixed in 4% formaldehyde and blocked in 10% normal Goat Serum. The cells were then incubated with the antibody overnight at 4C. The secondary antibody was Alexa Fluor 488-congugated AffiniPure Goat Anti-Rabbit IgG(H+L).
-
Immunofluorescence staining of PC-3 cell with 5% goat serum, counter-stained with DAPI. The cells were fixed in 4% formaldehyde and blocked in 10% normal Goat Serum. The cells were then incubated with the antibody overnight at 4C. The secondary antibody was Alexa Fluor 488-congugated AffiniPure Goat Anti-Rabbit IgG(H+L).
-
-
其他:
產品詳情
-
產品名稱:Rabbit anti-Homo sapiens (Human) SLC16A9 Polyclonal antibody
-
Uniprot No.:
-
基因名:SLC16A9
-
別名:C10orf36 antibody; FLJ43803 antibody; MCT 9 antibody; MCT9 antibody; Monocarboxylate transporter 9 antibody; Monocarboxylic acid transporter 9 antibody; MOT9_HUMAN antibody; SLC16A9 antibody; Solute carrier family 16 (monocarboxylic acid transporters) member 9 antibody; Solute carrier family 16 member 9 antibody
-
宿主:Rabbit
-
反應種屬:Human, Mouse
-
免疫原:Synthesized peptide derived from human protein(80-160aa)
-
免疫原種屬:Homo sapiens (Human)
-
克隆類型:Polyclonal
-
抗體亞型:IgG
-
純化方式:Antigen Affinity Purified
-
濃度:It differs from different batches. Please contact us to confirm it.
-
保存緩沖液:Liquid?in?PBS?containing?50%?glycerol,?0.5%?BSA?and?0.02%?sodium?azide
-
產品提供形式:Liquid
-
應用范圍:ELISA, WB, IHC, IF
-
推薦稀釋比:
Application Recommended Dilution WB 1:500-1:2000 IHC 1:20-1:200 IF 1:20-1:200 -
Protocols:
-
儲存條件:Upon receipt, store at -20°C or -80°C. Avoid repeated freeze.
-
貨期:Basically, we can dispatch the products out in 1-3 working days after receiving your orders. Delivery time maybe differs from different purchasing way or location, please kindly consult your local distributors for specific delivery time.
-
用途:For Research Use Only. Not for use in diagnostic or therapeutic procedures.
相關產品
靶點詳情
-
功能:Proton-linked monocarboxylate transporter. May catalyze the transport of monocarboxylates across the plasma membrane.
-
基因功能參考文獻:
- Strong association of SLC16A9 gene variation with HBsAg loss was identified in Chronic Hepatitis B patients treated with peginterferon and adefovir. PMID: 24824278
- it has a possible physiological role in urate excretion from human intestinal epithelial cells. PMID: 23990105
- Observational study of gene-disease association and gene-gene interaction. (HuGE Navigator) PMID: 20162742
- Observational study of gene-disease association. (HuGE Navigator) PMID: 20162743
- Observational study of gene-disease association. (HuGE Navigator) PMID: 20037589
- Observational study of gene-disease association. (HuGE Navigator) PMID: 16385451
- Observational study of gene-disease association. (HuGE Navigator) PMID: 19861489
- Observational study of gene-disease association. (HuGE Navigator) PMID: 19890391
- Meta-analysis of gene-disease association. (HuGE Navigator) PMID: 19503597
顯示更多
收起更多
-
亞細胞定位:Cell membrane; Multi-pass membrane protein.
-
蛋白家族:Major facilitator superfamily, Monocarboxylate porter (TC 2.A.1.13) family
-
數據庫鏈接:
Most popular with customers
-
-
YWHAB Recombinant Monoclonal Antibody
Applications: ELISA, WB, IHC, IF, FC
Species Reactivity: Human, Mouse, Rat
-
Phospho-YAP1 (S127) Recombinant Monoclonal Antibody
Applications: ELISA, WB, IHC
Species Reactivity: Human
-
-
-
-
-
VDAC1 Recombinant Monoclonal Antibody
Applications: ELISA, WB, IHC
Species Reactivity: Human, Mouse, Rat















