SLC15A4 Antibody
-
中文名稱:SLC15A4兔多克隆抗體
-
貨號:CSB-PA843279LA01HU
-
規格:¥440
-
圖片:
-
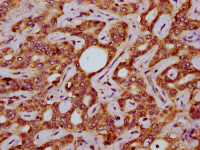
IHC image of CSB-PA843279LA01HU diluted at 1:200 and staining in paraffin-embedded human liver cancer performed on a Leica BondTM system. After dewaxing and hydration, antigen retrieval was mediated by high pressure in a citrate buffer (pH 6.0). Section was blocked with 10% normal goat serum 30min at RT. Then primary antibody (1% BSA) was incubated at 4°C overnight. The primary is detected by a biotinylated secondary antibody and visualized using an HRP conjugated SP system.
-
IHC image of CSB-PA843279LA01HU diluted at 1:200 and staining in paraffin-embedded human skeletal muscle tissue performed on a Leica BondTM system. After dewaxing and hydration, antigen retrieval was mediated by high pressure in a citrate buffer (pH 6.0). Section was blocked with 10% normal goat serum 30min at RT. Then primary antibody (1% BSA) was incubated at 4°C overnight. The primary is detected by a biotinylated secondary antibody and visualized using an HRP conjugated SP system.
-
Immunofluorescence staining of HepG2 cells with CSB-PA843279LA01HU at 1:66, counter-stained with DAPI. The cells were fixed in 4% formaldehyde, permeabilized using 0.2% Triton X-100 and blocked in 10% normal Goat Serum. The cells were then incubated with the antibody overnight at 4°C. The secondary antibody was Alexa Fluor 488-congugated AffiniPure Goat Anti-Rabbit IgG(H+L).
-
-
其他:
產品詳情
-
產品名稱:Rabbit anti-Homo sapiens (Human) SLC15A4 Polyclonal antibody
-
Uniprot No.:
-
基因名:
-
別名:SLC15A4 antibody; PHT1 antibody; PTR4 antibody; FP12591 antibody; Solute carrier family 15 member 4 antibody; Peptide transporter 4 antibody; Peptide/histidine transporter 1 antibody; hPHT1 antibody
-
宿主:Rabbit
-
反應種屬:Human
-
免疫原:Recombinant Human Solute carrier family 15 member 4 protein (243-317AA)
-
免疫原種屬:Homo sapiens (Human)
-
標記方式:Non-conjugated
本頁面中的產品,SLC15A4 Antibody (CSB-PA843279LA01HU),的標記方式是Non-conjugated。對于SLC15A4 Antibody,我們還提供其他標記。見下表:
-
克隆類型:Polyclonal
-
抗體亞型:IgG
-
純化方式:>95%, Protein G purified
-
濃度:It differs from different batches. Please contact us to confirm it.
-
保存緩沖液:Preservative: 0.03% Proclin 300
Constituents: 50% Glycerol, 0.01M PBS, pH 7.4 -
產品提供形式:Liquid
-
應用范圍:ELISA, IHC, IF
-
推薦稀釋比:
Application Recommended Dilution IHC 1:200-1:500 IF 1:50-1:200 -
Protocols:
-
儲存條件:Upon receipt, store at -20°C or -80°C. Avoid repeated freeze.
-
貨期:Basically, we can dispatch the products out in 1-3 working days after receiving your orders. Delivery time maybe differs from different purchasing way or location, please kindly consult your local distributors for specific delivery time.
-
用途:For Research Use Only. Not for use in diagnostic or therapeutic procedures.
相關產品
靶點詳情
-
功能:Proton-coupled amino-acid transporter that mediates the transmembrane transport of L-histidine and some di- and tripeptides from inside the lysosome to the cytosol, and plays a key role in innate immune response. Able to transport a variety of di- and tripeptides, including carnosine and some peptidoglycans. Transporter activity is pH-dependent and maximized in the acidic lysosomal environment. Involved in the detection of microbial pathogens by toll-like receptors (TLRs) and NOD-like receptors (NLRs), probably by mediating transport of bacterial peptidoglycans across the endolysosomal membrane: catalyzes the transport of certain bacterial peptidoglycans, such as muramyl dipeptide (MDP), the NOD2 ligand, and L-alanyl-gamma-D-glutamyl-meso-2,6-diaminoheptanedioate (tri-DAP), the NOD1 ligand. Required for TLR7, TLR8 and TLR9-mediated type I interferon (IFN-I) productions in plasmacytoid dendritic cells (pDCs). Independently of its transporter activity, also promotes the recruitment of innate immune adapter TASL to endolysosome downstream of TLR7, TLR8 and TLR9: TASL recruitment leads to the specific recruitment and activation of IRF5. Required for isotype class switch recombination to IgG2c isotype in response to TLR9 stimulation. Required for mast cell secretory-granule homeostasis by limiting mast cell functions and inflammatory responses.
-
基因功能參考文獻:
- Targeted sequencing of two candidate genes, SLC20A1 and SLC15A4, of the solute carrier membrane transport protein family in 200 additional patients demonstrated two further variants predicted as damaging for combined hormone deficiency. PMID: 29261175
- Under a dominant model the rs1385374 (TT+CT) SNP carried a higher risk of Systemic Lupus Erythematosus (SLE) than (CC). Under a codominant model the genotype frequencies of rs3765108 AG and rs7308691 AT were significantly higher in the SLE group than the control group. One SLC15A4 haplotype (TA), which consists of 2 SNPs (rs959989 and rs983492), was associated with SLE PMID: 27362648
- Mutations in SLC15A4,a peptide transporter in NFkB signaling pathway, have been implicated in Systemic Lupus Erythematosus development in susceptible individuals. PMID: 25034154
- Report role of SLC15A4 genetic variants in confering risk of systemic lupus erythematosus in Chinese population. PMID: 24091983
- LNCaP expresses high levels of PEPT2 and PHT1.PC-3 demonstrates strong expression of PEPT1 and PHT1. PMID: 22950754
- PEPT1,PEPT2, PHT1, and PHT2 are expressed in human nasal epithelium. PMID: 21366347
- Significant associations were found for the single nucleotide polymorphism rs10847697 of SLC15A4 with discoid rash in patients with systemic lupus erythematosus PMID: 20516000
顯示更多
收起更多
-
亞細胞定位:Lysosome membrane; Multi-pass membrane protein. Endosome membrane; Multi-pass membrane protein. Early endosome membrane; Multi-pass membrane protein.
-
蛋白家族:PTR2/POT transporter (TC 2.A.17) family
-
組織特異性:Highly expressed in skeletal muscle. Moderately expressed in kidney, liver, and heart. Weakly expressed in colon and brain. Expressed in low levels throughout the gastrointestinal tract and in Caco-2 cells. Expressed in retinal fragment epithelium (RPE) a
-
數據庫鏈接:
Most popular with customers
-
-
YWHAB Recombinant Monoclonal Antibody
Applications: ELISA, WB, IHC, IF, FC
Species Reactivity: Human, Mouse, Rat
-
Phospho-YAP1 (S127) Recombinant Monoclonal Antibody
Applications: ELISA, WB, IHC
Species Reactivity: Human
-
-
-
-
-















