SKP1 Antibody
-
中文名稱:SKP1兔多克隆抗體
-
貨號:CSB-PA371951
-
規格:¥1100
-
圖片:
-
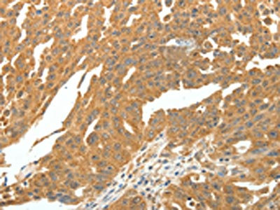
The image on the left is immunohistochemistry of paraffin-embedded Human breast cancer tissue using CSB-PA371951(SKP1 Antibody) at dilution 1/30, on the right is treated with fusion protein. (Original magnification: ×200)
-
The image on the left is immunohistochemistry of paraffin-embedded Human ovarian cancer tissue using CSB-PA371951(SKP1 Antibody) at dilution 1/30, on the right is treated with fusion protein. (Original magnification: ×200)
-
Gel: 12%SDS-PAGE, Lysate: 40 μg, Lane 1-2: Mouse brain tissue, NIH/3T3 cells, Primary antibody: CSB-PA371951(SKP1 Antibody) at dilution 1/550, Secondary antibody: Goat anti rabbit IgG at 1/8000 dilution, Exposure time: 20 seconds
-
-
其他:
產品詳情
-
Uniprot No.:
-
基因名:
-
別名:Cyclin A/CDK2 associated p19 antibody; Cyclin A/CDK2 associated protein p19 antibody; Cyclin-A/CDK2-associated protein p19 antibody; EMC19 antibody; MGC34403 antibody; OCP 2 antibody; OCP II antibody; OCP II protein antibody; OCP-2 antibody; OCP-II antibody; OCP2 antibody; OCPII antibody; Organ of Corti protein 2 antibody; Organ of Corti protein II antibody; OTTHUMP00000159379 antibody; OTTHUMP00000159380 antibody; OTTHUMP00000228275 antibody; OTTHUMP00000228276 antibody; OTTHUMP00000228278 antibody; OTTHUMP00000228279 antibody; OTTHUMP00000228281 antibody; p19A antibody; p19skp1 antibody; RNA polymerase II elongation factor like protein antibody; RNA polymerase II elongation factor like protein OCP2 antibody; RNA polymerase II elongation factor-like protein antibody; S phase kinase associated protein 1 antibody; S phase kinase associated protein 1A antibody; S phase kinase associated protein 1A p19A antibody; S-phase kinase-associated protein 1 antibody; SIII antibody; Skp 1 antibody; SKP 1A antibody; skp1 antibody; SKP1_HUMAN antibody; SKP1A antibody; TCEB1L antibody; Transcription Elongation Factor B 1 like antibody; Transcription elongation factor B antibody; Transcription elongation factor B SIII polypeptide 1 like antibody
-
宿主:Rabbit
-
反應種屬:Human,Mouse,Rat
-
免疫原:Fusion protein of Human SKP1
-
免疫原種屬:Homo sapiens (Human)
-
標記方式:Non-conjugated
-
抗體亞型:IgG
-
純化方式:Antigen affinity purification
-
濃度:It differs from different batches. Please contact us to confirm it.
-
保存緩沖液:-20°C, pH7.4 PBS, 0.05% NaN3, 40% Glycerol
-
產品提供形式:Liquid
-
應用范圍:ELISA,WB,IHC
-
推薦稀釋比:
Application Recommended Dilution ELISA 1:1000-1:5000 WB 1:500-1:2000 IHC 1:25-1:100 -
Protocols:
-
儲存條件:Upon receipt, store at -20°C or -80°C. Avoid repeated freeze.
-
貨期:Basically, we can dispatch the products out in 1-3 working days after receiving your orders. Delivery time maybe differs from different purchasing way or location, please kindly consult your local distributors for specific delivery time.
-
用途:For Research Use Only. Not for use in diagnostic or therapeutic procedures.
相關產品
靶點詳情
-
功能:Essential component of the SCF (SKP1-CUL1-F-box protein) ubiquitin ligase complex, which mediates the ubiquitination of proteins involved in cell cycle progression, signal transduction and transcription. In the SCF complex, serves as an adapter that links the F-box protein to CUL1. The functional specificity of the SCF complex depends on the F-box protein as substrate recognition component. SCF(BTRC) and SCF(FBXW11) direct ubiquitination of CTNNB1 and participate in Wnt signaling. SCF(FBXW11) directs ubiquitination of phosphorylated NFKBIA. SCF(BTRC) directs ubiquitination of NFKBIB, NFKBIE, ATF4, SMAD3, SMAD4, CDC25A, FBXO5, CEP68 and probably NFKB2. SCF(SKP2) directs ubiquitination of phosphorylated CDKN1B/p27kip and is involved in regulation of G1/S transition. SCF(SKP2) directs ubiquitination of ORC1, CDT1, RBL2, ELF4, CDKN1A, RAG2, FOXO1A, and probably MYC and TAL1. SCF(FBXW7) directs ubiquitination of cyclin E, NOTCH1 released notch intracellular domain (NICD), and probably PSEN1. SCF(FBXW2) directs ubiquitination of GCM1. SCF(FBXO32) directs ubiquitination of MYOD1. SCF(FBXO7) directs ubiquitination of BIRC2 and DLGAP5. SCF(FBXO33) directs ubiquitination of YBX1. SCF(FBXO11) directs ubiquitination of BCL6 and DTL but does not seem to direct ubiquitination of TP53. SCF(BTRC) mediates the ubiquitination of NFKBIA at 'Lys-21' and 'Lys-22'; the degradation frees the associated NFKB1-RELA dimer to translocate into the nucleus and to activate transcription. SCF(CCNF) directs ubiquitination of CCP110. SCF(FBXL3) and SCF(FBXL21) direct ubiquitination of CRY1 and CRY2. SCF(FBXO9) directs ubiquitination of TTI1 and TELO2. SCF(FBXO10) directs ubiquitination of BCL2.
-
基因功能參考文獻:
- Segregation analysis revealed that variants c.475T>G in SKP1, c.671G>A in PROB1, and c.527G>A in IL17B in the 5q31.1-q35.3 linkage region, and c.850G>A in HKDC1 in the 10q22 locus completely segregated with the phenotype in the studied Keratoconus family PMID: 27703147
- Both the F-box domain of Skp2 and Skp1-Skp2 domain motions displaying preferential conformational control can together facilitate polyubiquitination of a wide variety of substrates. PMID: 26573739
- Skp1 is critical to lung cancer pathogenesis PMID: 26474281
- Data show that epithelial-mesenchymal transition (EMT)-transcription factors can be dynamically degraded by an atypical ubiquitin E3 ligase complex Skp1-Pam-Fbxo45 (SPFFbxo45). PMID: 25460509
- We discuss how these results can explain the rapid association of Cdc34 and Skp1-cullin-F-box ligase (SCF). PMID: 25425648
- SKP1 variation modifies association between Parkinson's disease and ubiquitin-proteasome system-inhibiting pesticides PMID: 23988235
- Studies indicate that in SCFs, Rbx1 serves as the RING-containing enzyme, Cul1 is the Cullin scaffold, and Skp1 is an adaptor, which serves to link the beta-TrCP F-box substrate-specific factor to the rest of the ligase. PMID: 23624913
- Substrate binding promotes formation of the Skp1-Cul1-Fbxl3 (SCF(Fbxl3)) protein complex. PMID: 24085301
- Skp1-Cul1-F-box ubiquitin ligase (SCF(betaTrCP))-mediated destruction of the ubiquitin-specific protease USP37 during G2-phase promotes mitotic entry PMID: 23027877
- Deconjugation of Nedd8 from Cul1 is directly regulated by Skp1-F-box and substrate, and the COP9 signalosome inhibits deneddylated SCF by a noncatalytic mechanism. PMID: 22767593
- we determined that the phage-encoded GogB effector protein in Salmonella targets the host SCF E3 type ubiquitin ligase through an interaction with Skp1 and the human F-box only 22 (FBXO22) protein PMID: 22761574
- This review suggested that SKP1 decreased in in sporadic Parkinson's disease. PMID: 22205206
- phosphorylated NIPA is degraded in late mitosis in an APC/C(Cdh1)-dependent manner PMID: 22205987
- SKP1-Cul1-F-box and leucine-rich repeat protein 4 (SCF-FbxL4) ubiquitin ligase regulates lysine demethylase 4A (KDM4A)/Jumonji domain-containing 2A (JMJD2A) protein PMID: 21757720
- These observations suggest that Skp1 plays an important role in stabilizing the conformation of these F-box proteins, which increases their expression levels and substrate-binding. PMID: 21640084
- Skp1 binding prevented Fbxo7 from contacting CRM1. PMID: 21378169
- Data demonstrate that PFKFB3 is essential for cell division and that it is regulated by APC/C-Cdh1 and SKP1-CUL1-F (SCF)-beta-TrCP. PMID: 21402913
- The siRNA-induced suppression of Skp2 increased p27 expression, decreased cellular proliferation, and increased apoptosis in human laryngeal carcinoma cells PMID: 20668394
- These findings support a novel role for Hsp90-Sgt1 chaperones in ensuring the fidelity of Mis12 multiprotein complex assembly. PMID: 20404110
- Skp1 and Fbg3 were co-expressed in E. coli. The plate-shaped crystals belonged to space group P2(1)2(1)2(1), with unit-cell parameters a = 34.1, b = 76.6, c = 193.9 A and one molecule per asymmetric unit. PMID: 20057081
- OCP2 immunoreactivity is evident at a prenatal age of 11 weeks, peaks in expression at the onset of cochlear function at 20 weeks and achieves adult-like patterns of distribution just prior to histological maturation at 28 weeks. PMID: 12117534
- Data show that interference with Skp1 function through expression of the Cul1-N252 mutant results in the formation of multinucleated cells, centrosome and mitotic spindle abnormalities, and impaired chromosome segregation. PMID: 12417738
- SKP1 complexes with beta-TrCP1 and beta catenin. The destruction motif binding and lysine specificity of the SCF (beta-TrCP1) ubiquitin ligase were studied. PMID: 12820959
- specific Elongin C and Skp1 sequences determine Cullin selection PMID: 15280393
- the SCF complex (Skp1/Cul1/F-box protein/Roc1) intervenes in the surveillance of Cdh1 cellular abundance in S-phase PMID: 16123585
- Treatment of cells with okadaic acid, a potent inhibitor of PP2A, results in various hyperphosphorylated forms of hSecurin which are extremely unstable, due to the action of the Skp1/Cul1/F-box protein complex ubiquitin ligase. PMID: 16705156
- Thiazolidinediones modulate the expression of beta catenin and other cell cycle proteins by targeting SKP1 independently of PPARG. PMID: 17569795
- p18-Cyclin E by the Skp1-Cul1-Fbw7 (SCF) complex and its interaction with the Fbw7 protein isoforms can take place independently of phosphorylation of p18-Cyclin E at a C-terminal phosphodegron. PMID: 18784078
- The authors report that M-T5 can bind Akt and the host SCF complex (via Skp1) simultaneously in myxoma virus-infected cells. PMID: 19776120
顯示更多
收起更多
-
蛋白家族:SKP1 family
-
數據庫鏈接:
Most popular with customers
-
-
YWHAB Recombinant Monoclonal Antibody
Applications: ELISA, WB, IHC, IF, FC
Species Reactivity: Human, Mouse, Rat
-
-
-
-
-
-















