SKI Antibody
-
中文名稱:SKI兔多克隆抗體
-
貨號:CSB-PA960678
-
規格:¥1100
-
圖片:
-
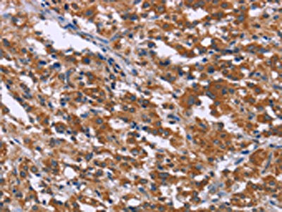
The image on the left is immunohistochemistry of paraffin-embedded Human thyroid cancer tissue using CSB-PA960678(SKI Antibody) at dilution 1/40, on the right is treated with synthetic peptide. (Original magnification: ×200)
-
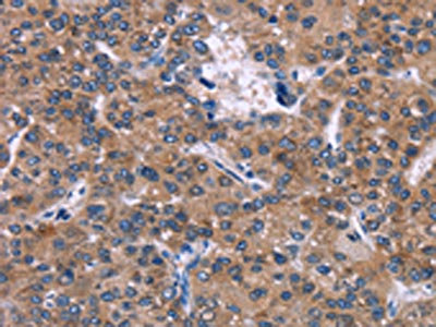
The image on the left is immunohistochemistry of paraffin-embedded Human liver cancer tissue using CSB-PA960678(SKI Antibody) at dilution 1/40, on the right is treated with synthetic peptide. (Original magnification: ×200)
-
-
其他:
產品詳情
-
Uniprot No.:
-
基因名:SKI
-
別名:Avian sarcoma viral (v ski) oncogene homolog antibody; C oncogene antibody; C ski antibody; Proto-oncogene c-Ski antibody; SKI antibody; Ski oncogene antibody; Ski oncoprotein antibody; SKI_HUMAN antibody; SKV antibody; v ski avian sarcoma viral oncogene homolog antibody; v ski sarcoma viral oncogene homolog antibody
-
宿主:Rabbit
-
反應種屬:Human,Mouse
-
免疫原:Synthetic peptide of Human SKI
-
免疫原種屬:Homo sapiens (Human)
-
標記方式:Non-conjugated
-
抗體亞型:IgG
-
純化方式:Antigen affinity purification
-
濃度:It differs from different batches. Please contact us to confirm it.
-
保存緩沖液:-20°C, pH7.4 PBS, 0.05% NaN3, 40% Glycerol
-
產品提供形式:Liquid
-
應用范圍:ELISA,IHC
-
推薦稀釋比:
Application Recommended Dilution ELISA 1:2000-1:10000 IHC 1:100-1:300 -
Protocols:
-
儲存條件:Upon receipt, store at -20°C or -80°C. Avoid repeated freeze.
-
貨期:Basically, we can dispatch the products out in 1-3 working days after receiving your orders. Delivery time maybe differs from different purchasing way or location, please kindly consult your local distributors for specific delivery time.
-
用途:For Research Use Only. Not for use in diagnostic or therapeutic procedures.
相關產品
靶點詳情
-
功能:May play a role in terminal differentiation of skeletal muscle cells but not in the determination of cells to the myogenic lineage. Functions as a repressor of TGF-beta signaling.
-
基因功能參考文獻:
- The correlation between serum concentrations of IgG4 and SKI methylation levels suggest SKI might be involved in the pathogenesis of autoimmune pancreatitis (AIP). PMID: 29534839
- A microRNA miR-155 regulates transforming growth factor-beta TGF-beta-induced human coronary artery endothelial cells fibrogenic endothelial-mesenchymal transition via the regulator of TGF-beta signaling c-Ski to affect cardiac fibrosis, and miR-155/c-Ski may represent novel biomarkers and therapeutic targets for cardiac fibrosis. PMID: 28607031
- Study identified Ski as a functional tumor suppressor with frequent epigenetic inactivation in lung cancer. PMID: 28398634
- Transforming Growth Factor beta inhibitor peptide P144 downregulates SKI and an upregulates SMAD7 at both transcriptional and translational levels in glioblastoma cell lines. PMID: 27473823
- miR-1908 had a positive role in scar formation by suppressing Ski-mediated inflammation and fibroblast proliferation in vitro and in vivo. PMID: 27256397
- Overexpression of Ski wild type, but not S326D and S383D mutants inhibited centrosome amplification and cellular transformation induced by AURKA. PMID: 26138431
- our findings suggest that Ski represses TGF-b-induced EMT and invasion by inhibiting SMAD-dependent signaling in non-small cell lung cancer PMID: 25955797
- Ski regulates Hippo and TAZ signaling to suppress breast cancer progression. PMID: 25670202
- Eight recurrent and three novel SKI mutations from eleven SGS patients were located in the R-SMAD binding domain, except for one in the DHD domain. PMID: 24736733
- acetaldehyde up-regulates COL1A2 by modulating the role of Ski and the expression of SMADs 3, 4, and 7. PMID: 24641900
- c-Ski is an important regulator in the activation of CAFs and may serve as a potential therapeutic target to block breast cancer progression. PMID: 24011664
- Ski expression is a novel negative feedback mechanism acting on retinoic acid signaling PMID: 23441061
- Overall, these studies demonstrate altered Ski protein levels, degradation and localization in human papillomavirus16-transformed human keratinocytes and in cervical cancer. PMID: 23809940
- The 1p36.33-1p36.32 deletion encompassing SKI may represents a previous undescribed microdeletion disorder. PMID: 23892090
- Transgenic K562 cells have distinct gene expression profiles both in steady state and during terminal erythroid differentiation, with GATA1s expression characterised by lack of repression of MYB, CCND2 and SKI. PMID: 22853316
- The study data provide limited support for the hypothesis that common SKI variants are susceptibility factors for non-syndromic cleft lip/palate. PMID: 22984993
- We identified causative variation in ten individuals with SGS in the proto-oncogene SKI, a known repressor of TGF-beta activity. PMID: 23023332
- our findings show that in-frame mutations in exon 1 of SKI cause Shprintzen-Goldberg syndrome (SGS). PMID: 23103230
- Two genes were consistently retained in the models with clinical variables: SKI (v-SKI avian sarcoma viral oncogene homolog) and SLAMF1 (signaling lymphocytic activation molecule family member 1; CD150). PMID: 22194822
- A mutant SKI defective in transformation fails to increase p53 ubiquitination and is unable to increase MDM2 levels and to increase mono-sumoylation of Ubc9 PMID: 22411991
- Ski expression in breast neoplasms is associated with longer overall and disease-free survival. PMID: 22229264
- Forced expression of miR-29a down-regulated SKI and its target gene, Nr-CAM, whereas miR-29a inhibition induced SKI expression. PMID: 21685371
- These results suggest that c-Ski is likely involved in the carcinogenesis of CCA induced by O. viverrini infection PMID: 20853076
- impairment of SKI expression is not the leading mechanism involved in the growth-suppressive effect of miR-155 found in this malignancy. PMID: 21466664
- These data identify Ski as a novel target of Aurora A and contribute to an understanding of the role of these proteins in the mitotic process. PMID: 21600873
- Ski correlated with poor survival in the patients with TGF-beta-positive advanced gastric cancer. PMID: 21107877
- Suppression of p53 activity through the cooperative action of Ski and histone deacetylase SIRT1. PMID: 21149449
- Results identified serine 515 as a phosphorylation site of c-Ski which affects its electrophoretic motility. PMID: 20624875
- c-Ski overexpression is associated with tumor progression. PMID: 20959473
- the results suggest that association with Ski leads to inhibition of Siah2 E3 ubiquitin ligase activity and in this way, the Ski protein inhibits Siah2-mediated proteasomal degradation of HDAC3. PMID: 20691163
- SKI promotes the switch of Smad3 from repressor of proliferation to activator of oncogenesis by facilitating phosphorylations in the linker domain. PMID: 20404506
- findings show that Arkadia regulates the levels of expression of c-Ski protein in cell-type-dependent fashion, and exhibits a tumour suppressor function by inhibiting tumour cell growth PMID: 19959502
- Results indicate that SKI exploits multiple regulatory levels of the TGF-beta pathway and its deficiency restores TGF-beta tumor suppressor and apoptotic activities in spite of the likely presence of oncogenic mutations in melanoma tumors. PMID: 19845874
- c-Jun associates with the oncoprotein Ski and suppresses Smad2 transcriptional activity PMID: 12034730
- determined the crystal structure of a complex between a conserved Smad4 binding fragment of Ski and the MH2 domain of Smad4 at 2.85 A resolution PMID: 12419246
- the ability of Ski and SnoN to repress the growth inhibitory function of the Smad proteins is required for their transforming activity. PMID: 12764135
- I discuss the basis for repression of intracellular TGF-beta signaling by SKI, some additional activities of this protein, and propose that by disrupting multiple tumor suppressor pathways, SKI functions as a melanoma oncogene. PMID: 12793438
- c-ski and HIPK2 play an important role in the negative regulation of BMP-induced transcriptional activation PMID: 12874272
- SKI regulates crucial events required for melanoma growth, survival, and invasion. PMID: 14583455
- c-Ski protein has a role as a transcriptional co-repressor in TGF-beta signaling in esophageal squamous cell carcinoma PMID: 14712482
- These results suggest that stabilization of inactive Smad complexes on DNA is a critical event in c-Ski-mediated inhibition of TGF-beta signaling. PMID: 15107821
- Our data suggest that regulated proteolysis of Ski is one of the key mechanisms that control the threshold levels of this proto-oncoprotein, and thus prevents epithelial cells from becoming TGF-beta resistant. PMID: 15122324
- ski is repressed by Smad7 PMID: 15128733
- Functional Ski overexpression inhibits TGF-beta-mediated proliferation and prevents growth-arrested Schwann cells from reentering the cell cycle. PMID: 15312649
- Ski cooperates in the process of transformation in erythroid cells by interfering with GATA1 function PMID: 15542823
- Ski's increased level and specific relocalization during mitosis PMID: 15806149
- a novel polymorphism of the SKI gene was found to be associated with a decreased risk for orofacial defects PMID: 16054854
- subcellular localization of c-Ski may be regulated by proteasome-sensitive processes through amino acid residues 94-210 and 491-548 PMID: 17054724
- These results indicate that impaired competition with p300 is the possible cause of dysfunction of c-Ski/SnoN in scleroderma fibroblasts and that this might contribute to maintenance of the autocrine TGFbeta loop in this disease. PMID: 17469184
- Inhibition of Ski through RNA interference restored TGF-beta signaling and growth inhibition in vitro, and decreased tumor growth in vivo. PMID: 17592292
顯示更多
收起更多
-
相關疾病:Shprintzen-Goldberg craniosynostosis syndrome (SGS)
-
亞細胞定位:Nucleus.
-
蛋白家族:SKI family
-
數據庫鏈接:
Most popular with customers
-
-
YWHAB Recombinant Monoclonal Antibody
Applications: ELISA, WB, IHC, IF, FC
Species Reactivity: Human, Mouse, Rat
-
Phospho-YAP1 (S127) Recombinant Monoclonal Antibody
Applications: ELISA, WB, IHC
Species Reactivity: Human
-
-
-
-
-















