SIGLEC12 Antibody
-
中文名稱:SIGLEC12兔多克隆抗體
-
貨號:CSB-PA955877
-
規格:¥1100
-
圖片:
-
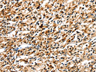
The image on the left is immunohistochemistry of paraffin-embedded Human prostate cancer tissue using CSB-PA955877(SIGLEC12 Antibody) at dilution 1/30, on the right is treated with fusion protein. (Original magnification: ×200)
-
Gel: 8%SDS-PAGE,Lysate: 40 μg,,Primary antibody: CSB-PA955877(SIGLEC12 Antibody) at dilution 1/500 dilution,Secondary antibody: Goat anti rabbit IgG at 1/8000 dilution,Exposure time: 30 seconds
-
-
其他:
產品詳情
-
Uniprot No.:
-
基因名:SIGLEC12
-
別名:SIGLEC12 antibody; SIGLECL1 antibody; SLG antibody; UNQ9215/PRO34042Sialic acid-binding Ig-like lectin 12 antibody; Siglec-12 antibody; Sialic acid-binding Ig-like lectin-like 1 antibody; Siglec-L1 antibody
-
宿主:Rabbit
-
反應種屬:Human,Mouse
-
免疫原:Fusion protein of Human SIGLEC12
-
免疫原種屬:Homo sapiens (Human)
-
標記方式:Non-conjugated
-
抗體亞型:IgG
-
純化方式:Antigen affinity purification
-
濃度:It differs from different batches. Please contact us to confirm it.
-
保存緩沖液:-20°C, pH7.4 PBS, 0.05% NaN3, 40% Glycerol
-
產品提供形式:Liquid
-
應用范圍:ELISA,WB,IHC
-
推薦稀釋比:
Application Recommended Dilution ELISA 1:1000-1:2000 WB 1:200-1:1000 IHC 1:25-1:100 -
Protocols:
-
儲存條件:Upon receipt, store at -20°C or -80°C. Avoid repeated freeze.
-
貨期:Basically, we can dispatch the products out in 1-3 working days after receiving your orders. Delivery time maybe differs from different purchasing way or location, please kindly consult your local distributors for specific delivery time.
-
用途:For Research Use Only. Not for use in diagnostic or therapeutic procedures.
相關產品
靶點詳情
-
功能:Putative adhesion molecule that mediates sialic-acid dependent binding to cells. The sialic acid recognition site may be masked by cis interactions with sialic acids on the same cell surface.
-
基因功能參考文獻:
- cardiovascular outcomes may differ based on SIGLEC12 genotype, and antihypertensive treatment strategy. PMID: 23690342
- SIGLEC12, a human-specific segregating (pseudo)gene, encodes a signaling molecule expressed in prostate carcinomas. PMID: 21555517
-
亞細胞定位:Membrane; Single-pass type I membrane protein.
-
蛋白家族:Immunoglobulin superfamily, SIGLEC (sialic acid binding Ig-like lectin) family
-
組織特異性:Isoform Short is highly expressed in spleen, small intestine and adrenal gland; it is lower expressed in thyroid, placenta, brain, stomach, bone marrow, spinal chord and breast. Isoform Long is highly expressed in spleen, small intestine and bone marrow;
-
數據庫鏈接:
Most popular with customers
-
-
YWHAB Recombinant Monoclonal Antibody
Applications: ELISA, WB, IHC, IF, FC
Species Reactivity: Human, Mouse, Rat
-
Phospho-YAP1 (S127) Recombinant Monoclonal Antibody
Applications: ELISA, WB, IHC
Species Reactivity: Human
-
-
-
-
-















