SIGLEC11 Antibody
-
中文名稱:SIGLEC11兔多克隆抗體
-
貨號:CSB-PA929122
-
規格:¥1100
-
圖片:
-
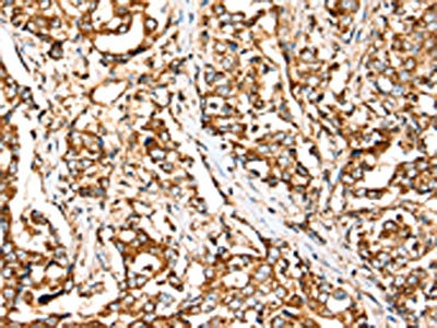
The image on the left is immunohistochemistry of paraffin-embedded Human liver cancer tissue using CSB-PA929122(SIGLEC11 Antibody) at dilution 1/30, on the right is treated with synthetic peptide. (Original magnification: ×200)
-
The image on the left is immunohistochemistry of paraffin-embedded Human ovarian cancer tissue using CSB-PA929122(SIGLEC11 Antibody) at dilution 1/30, on the right is treated with synthetic peptide. (Original magnification: ×200)
-
-
其他:
產品詳情
-
Uniprot No.:
-
基因名:SIGLEC11
-
別名:sialic acid binding Ig like lectin 11 antibody; sialic acid binding lectin 11 antibody; Sialic acid-binding Ig-like lectin 11 antibody; Sialic acid-binding lectin 11 antibody; SIG11_HUMAN antibody; Siglec 11 antibody; Siglec-11 antibody; SIGLEC11 antibody
-
宿主:Rabbit
-
反應種屬:Human
-
免疫原:Synthetic peptide of Human SIGLEC11
-
免疫原種屬:Homo sapiens (Human)
-
標記方式:Non-conjugated
-
抗體亞型:IgG
-
純化方式:Antigen affinity purification
-
濃度:It differs from different batches. Please contact us to confirm it.
-
保存緩沖液:-20°C, pH7.4 PBS, 0.05% NaN3, 40% Glycerol
-
產品提供形式:Liquid
-
應用范圍:ELISA,IHC
-
推薦稀釋比:
Application Recommended Dilution ELISA 1:1000-1:2000 IHC 1:25-1:100 -
Protocols:
-
儲存條件:Upon receipt, store at -20°C or -80°C. Avoid repeated freeze.
-
貨期:Basically, we can dispatch the products out in 1-3 working days after receiving your orders. Delivery time maybe differs from different purchasing way or location, please kindly consult your local distributors for specific delivery time.
-
用途:For Research Use Only. Not for use in diagnostic or therapeutic procedures.
相關產品
靶點詳情
-
功能:Putative adhesion molecule that mediates sialic-acid dependent binding to cells. Preferentially binds to alpha-2,8-linked sialic acid. The sialic acid recognition site may be masked by cis interactions with sialic acids on the same cell surface. In the immune response, may act as an inhibitory receptor upon ligand induced tyrosine phosphorylation by recruiting cytoplasmic phosphatase(s) via their SH2 domain(s) that block signal transduction through dephosphorylation of signaling molecules.
-
基因功能參考文獻:
- The authors demonstrated that the human-specific pathogen Escherichia coli K1 uses its polysialic acid capsule as a molecular mimic to engage Siglec-11 and escape killing. In contrast, engagement of the activating counterpart Siglec-16 increases elimination of bacteria. PMID: 28100677
- The results indicate potential roles for Siglec-11 in ovarian physiology and human evolution. PMID: 21467073
- Siglec-11 ectopically expressed on murine microglia interacts with PSA on neurons, reduces LPS-induced gene transcription of proinflammatory mediators, impairs phagocytosis and alleviates microglial neurotoxicity. PMID: 20203208
- cloning and characterization; a recently evolved signaling that can interact with SHP-1 and SHP-2 and is expressed by tissue macrophages including brain microglia PMID: 11986327
- expressed in human but not in chimpanzee brain microglia; findings indicate that human SIGLEC11 emerged through human-specific gene conversion by an adjacent pseudogene PMID: 16151003
- SIGLEC16 encodes a DAP12-associated receptor expressed in macrophages that evolved from its inhibitory counterpart SIGLEC11 and has functional and non-functional alleles in humans. PMID: 18629938
顯示更多
收起更多
-
亞細胞定位:Membrane; Single-pass type I membrane protein.
-
蛋白家族:Immunoglobulin superfamily, SIGLEC (sialic acid binding Ig-like lectin) family
-
組織特異性:Expressed by macrophages in various tissues including Kupffer cells. Also found in brain microglia.
-
數據庫鏈接:
Most popular with customers
-
YWHAB Recombinant Monoclonal Antibody
Applications: ELISA, WB, IHC, IF, FC
Species Reactivity: Human, Mouse, Rat
-
-
-
-
-
-
-















