SIAH2 Antibody
-
中文名稱:SIAH2兔多克隆抗體
-
貨號:CSB-PA021288LA01HU
-
規格:¥440
-
圖片:
-
IHC image of CSB-PA021288LA01HU diluted at 1:600 and staining in paraffin-embedded human glioma performed on a Leica BondTM system. After dewaxing and hydration, antigen retrieval was mediated by high pressure in a citrate buffer (pH 6.0). Section was blocked with 10% normal goat serum 30min at RT. Then primary antibody (1% BSA) was incubated at 4°C overnight. The primary is detected by a biotinylated secondary antibody and visualized using an HRP conjugated SP system.
-
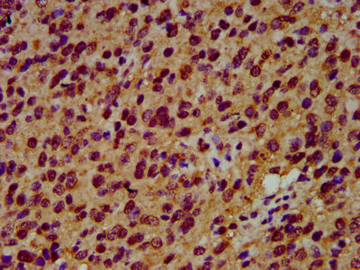
IHC image of CSB-PA021288LA01HU diluted at 1:600 and staining in paraffin-embedded human pancreatic cancer performed on a Leica BondTM system. After dewaxing and hydration, antigen retrieval was mediated by high pressure in a citrate buffer (pH 6.0). Section was blocked with 10% normal goat serum 30min at RT. Then primary antibody (1% BSA) was incubated at 4°C overnight. The primary is detected by a biotinylated secondary antibody and visualized using an HRP conjugated SP system.
-
Immunofluorescence staining of MCF-7 cells with CSB-PA021288LA01HU at 1:200, counter-stained with DAPI. The cells were fixed in 4% formaldehyde, permeabilized using 0.2% Triton X-100 and blocked in 10% normal Goat Serum. The cells were then incubated with the antibody overnight at 4°C. The secondary antibody was Alexa Fluor 488-congugated AffiniPure Goat Anti-Rabbit IgG(H+L).
-
-
其他:
產品詳情
-
產品名稱:Rabbit anti-Homo sapiens (Human) SIAH2 Polyclonal antibody
-
Uniprot No.:
-
基因名:SIAH2
-
別名:E3 ubiquitin-protein ligase Siah2 antibody; hSiah2 antibody; Seven in absentia homolog 2 antibody; Siah E3 ubiquitin protein ligase 2 antibody; Siah-2 antibody; siah2 antibody; SIAH2_HUMAN antibody; Ubiquitin Ligase Siah2 antibody
-
宿主:Rabbit
-
反應種屬:Human
-
免疫原:Recombinant Human E3 ubiquitin-protein ligase SIAH2 protein (1-72AA)
-
免疫原種屬:Homo sapiens (Human)
-
標記方式:Non-conjugated
本頁面中的產品,SIAH2 Antibody (CSB-PA021288LA01HU),的標記方式是Non-conjugated。對于SIAH2 Antibody,我們還提供其他標記。見下表:
-
克隆類型:Polyclonal
-
抗體亞型:IgG
-
純化方式:>95%, Protein G purified
-
濃度:It differs from different batches. Please contact us to confirm it.
-
保存緩沖液:Preservative: 0.03% Proclin 300
Constituents: 50% Glycerol, 0.01M PBS, pH 7.4 -
產品提供形式:Liquid
-
應用范圍:ELISA, IHC, IF
-
推薦稀釋比:
Application Recommended Dilution IHC 1:500-1:1000 IF 1:200-1:500 -
Protocols:
-
儲存條件:Upon receipt, store at -20°C or -80°C. Avoid repeated freeze.
-
貨期:Basically, we can dispatch the products out in 1-3 working days after receiving your orders. Delivery time maybe differs from different purchasing way or location, please kindly consult your local distributors for specific delivery time.
-
用途:For Research Use Only. Not for use in diagnostic or therapeutic procedures.
相關產品
靶點詳情
-
功能:E3 ubiquitin-protein ligase that mediates ubiquitination and subsequent proteasomal degradation of target proteins. E3 ubiquitin ligases accept ubiquitin from an E2 ubiquitin-conjugating enzyme in the form of a thioester and then directly transfers the ubiquitin to targeted substrates. Mediates E3 ubiquitin ligase activity either through direct binding to substrates or by functioning as the essential RING domain subunit of larger E3 complexes. Triggers the ubiquitin-mediated degradation of many substrates, including proteins involved in transcription regulation (GPS2, POU2AF1, PML, NCOR1), a cell surface receptor (DCC), an antiapoptotic protein (BAG1), and a protein involved in synaptic vesicle function in neurons (SYP). Mediates ubiquitination and proteasomal degradation of DYRK2 in response to hypoxia. It is thereby involved in apoptosis, tumor suppression, cell cycle, transcription and signaling processes. Has some overlapping function with SIAH1. Triggers the ubiquitin-mediated degradation of TRAF2, whereas SIAH1 does not. Promotes monoubiquitination of SNCA. Regulates cellular clock function via ubiquitination of the circadian transcriptional repressors NR1D1 and NR1D2 leading to their proteasomal degradation. Plays an important role in mediating the rhythmic degradation/clearance of NR1D1 and NR1D2 contributing to their circadian profile of protein abundance. Mediates ubiquitination and degradation of EGLN2 and EGLN3 in response to the unfolded protein response (UPR), leading to their degradation and subsequent stabilization of ATF4.
-
基因功能參考文獻:
- DHX15 regulates androgen receptor (AR) activity by modulating E3 ligase Siah2-mediated AR ubiquitination independent of its ATPase activity promoting prostate cancer progression. PMID: 28991234
- the Siah2-PHD3- HIF-1alpha-VEGF axis is an important hypoxic signaling pathway in a leukemic microenvironment. PMID: 29400343
- Based on the proposition that NS5 utilizes SIAH2-mediated proteasomal degradation of STAT2, an in-silico study was carried out to characterize the protein-protein interactions between NS5, SIAH2 and STAT2 proteins. PMID: 28365387
- SIAH2 regulates CHK2 basal turnover, with important consequences on cell-cycle control and on the ability of hypoxia to alter the DNA damage-response pathway in cancer cells. PMID: 26751770
- study revealed an interesting mutual regulation between Plk3 and SIAH2 and uncovered a regulatory network that functions to fine-tune the cellular hypoxic response. PMID: 28515325
- ETS2 and Twist1 promote invasiveness of Helicobacter pylori-infected gastric cancer cells by inducing Siah2 PMID: 27048589
- Manipulation of SIAH2 expression led to a 'cross-talk' of the ERK and PI3K pathway. PMID: 27459914
- Siah-2 expression was observed in 29.3% of oral squamous cell carcinoma. Siah-2 was located in the cytoplasm and cell membranes. PMID: 27616748
- SIAH2 is associated with a tumor promoting role in breast cancer. PMID: 26654769
- Overexpression of Siah2 Is Associated With Epithelial Ovarian Carcinoma PMID: 26512788
- Our results suggest that SIAH2 regulates multi processes in T-cell acute lymphoblastic leukemia PMID: 26859780
- The expression of SIAH2 is increased in human lung cancer. PMID: 26580787
- the E3 ubiquitin ligase SIAH2 stimulates YAP by destabilizing LATS2, a critical component of the Hippo pathway, in response to hypoxia. PMID: 25438054
- The down-regulation of SIAH2 conferred sensitivity to anti-cancer drugs. The results of the study indicated that the miR-335/SIAH2/HDAC3 axis regulates the response to anti-cancer drugs. PMID: 25997740
- Data show that ubiquitin E3 ligase Siah2 depletion delays circadian degradation of nuclear hormone receptor RevErbalpha (Nr1d1) and lengthens period length. PMID: 26392558
- A catalysis-independent role for AKR1C3 on AR activity via Siah2 has been identified. PMID: 26160177
- the E3 ubiquitin ligase seven-in-absentia-2 (SIAH2) accelerates the proteasomal degradation of TYK which consequently suppresses the activation of STAT3 in non-small-cell lung cancer PMID: 24833526
- A common variant in the SIAH2 locus is associated with ER-positive breast cancer in the Chinese Han population. PMID: 24244489
- our studies demonstrate the role of Siah2 in regulation of tight junction integrity and cell polarity under hypoxia, through its regulation of ASPP2 stability. PMID: 23644657
- SIAH2 expression is upregulated in basal-like breast cancers via copy number changes and/or transcriptional activation by p53. PMID: 21306611
- SIAH2 overexpression is associated with oral squamous cell carcinoma. PMID: 24222137
- Single Nucleotide Polymorphism in SIAH2 gene is associated with hormonal receptor-positive breast cancer. PMID: 22951594
- Data suggest that Keap1 does not contribute to hypoxic Nrf2 suppression, and both HIF-1alpha and Siah2 are key regulators of hypoxic responses. PMID: 23645672
- SIAH2 knockdown increases DYRK2 stability, whereas SIAH2 expression facilitates DYRK2 polyubiquitination and degradation PMID: 22878263
- study found Siah2 enhances transcriptional activity of androgen receptor (AR) by degrading transcriptionally-inactive AR on select gene promoters/enhancers; Siah2 promotes expression of select AR target genes, leading to growth of castration-resistant prostate cancer cells under androgen-deprivation conditions PMID: 23518348
- SIAH-2 - as described for SIAH-1 - accumulates in nuclei of hepatocellular carcinoma cells where it supports tumor growth and tumor cell dissemination PMID: 22323152
- Siah2 acts as an E3 ligase to directly ubiquitylate TIN2 in vitro. PMID: 22064479
- Src kinase activity downregulates C/EBP-delta protein but not mRNA levels through a SIAH2 E3 ligase-dependent mechanism. PMID: 22037769
- study identifies a new layer of Siah2 regulation mediated by USP13 binding to ubiquitinated Siah2 protein with a concomitant inhibitory effect on its activity under normoxia PMID: 21659512
- The data presented here define POSH and Siah2 as important mediators of death receptor mediated apoptosis and suggest targeting the interaction of these two E3 ligases is a promising novel cancer therapeutic strategy. PMID: 21586138
- Review: Define the regulatory axis consisting of Siah2 and HIF-1alpha/FoxA2 cooperation and suggest novel therapeutic modalities to treat these most aggressive forms of prostate cancer. PMID: 21037926
- The ability of myosin phosphatase to modulate myosin light chain might be regulated by the degradation of its targeting subunit MYPT1 through the SIAH2-ubiquitin-proteasomal pathway. PMID: 19744480
- SIAH2 regulates the expression of promyelocytic leukemia protein and other tripartite motif proteins PMID: 14645235
- SIAH2 regulates stability of prolyl- hydroxylases, controls HIF1alpha abundance, and modulates physiological responses to hypoxia. PMID: 15210114
- 2-oxoglutarate (alpha-ketoglutarate) dehydrogenase stability is regulated by the RING finger ubiquitin ligase Siah PMID: 15466852
- mechanism by which the estrogen-ER complex markedly reduces the level of N-CoR through a process involving the up-regulation of Siah2 and the subsequent targeting of N-CoR for proteasomal degradation PMID: 16141343
- Association of two isoforms Siah1 and Siah2 results in the regulation of Siah1 stability by Siah2 in the presence of a ring finger domain in HEK293 cells. PMID: 16899216
- Mechanism underlying the regulation of PHD3 availability and activity in hypoxia by the E3 ligase Siah2. PMID: 16958618
- The role of Siah2 phosphorylation in the regulation of its activity toward PHD3 is reported. PMID: 17003045
- We provide evidences for hSiah2-dependent degradation of Pias as being a mechanism in the regulation of c-jun N-terminal kinase-activating pathways. PMID: 17533377
- Data show that Siah2 is an important mediator of repp86 protein degradation. PMID: 17716627
- In primary breast tumor specimens as well as in vitro low SIAH2 levels associated with resistance to endocrine therapy. PMID: 18629630
- Siah1 (human) reduced PHD3 protein levels similar to that observed with Siah2. PHDs may not interact directly with Siah2, but that the substrate-binding groove of Siah is nevertheless important. PMID: 18850011
- SIAH-2 may be a viable target for novel anti-RAS and anticancer agents aimed at inhibiting EGFR and/or RAS-mediated tumorigenesis. PMID: 19001609
- Hypoxic conditions allow a markedly increased HIPK2/Siah2 interaction and result in efficient polyubiquitylation and proteasomal degradation of the kinase. PMID: 19043406
顯示更多
收起更多
-
亞細胞定位:Cytoplasm. Nucleus.
-
蛋白家族:SINA (Seven in absentia) family
-
組織特異性:Widely expressed at low level.
-
數據庫鏈接:
Most popular with customers
-
-
YWHAB Recombinant Monoclonal Antibody
Applications: ELISA, WB, IHC, IF, FC
Species Reactivity: Human, Mouse, Rat
-
Phospho-YAP1 (S127) Recombinant Monoclonal Antibody
Applications: ELISA, WB, IHC
Species Reactivity: Human
-
-
-
-
-















