SHPRH Antibody
-
中文名稱:SHPRH兔多克隆抗體
-
貨號:CSB-PA619905LA01HU
-
規格:¥440
-
圖片:
-
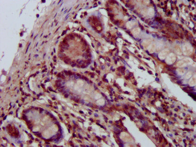
IHC image of CSB-PA619905LA01HU diluted at 1:400 and staining in paraffin-embedded human small intestine tissue performed on a Leica BondTM system. After dewaxing and hydration, antigen retrieval was mediated by high pressure in a citrate buffer (pH 6.0). Section was blocked with 10% normal goat serum 30min at RT. Then primary antibody (1% BSA) was incubated at 4°C overnight. The primary is detected by a biotinylated secondary antibody and visualized using an HRP conjugated SP system.
-
Immunofluorescence staining of SH-SY5Y cells with CSB-PA619905LA01HU at 1:133, counter-stained with DAPI. The cells were fixed in 4% formaldehyde, permeabilized using 0.2% Triton X-100 and blocked in 10% normal Goat Serum. The cells were then incubated with the antibody overnight at 4°C. The secondary antibody was Alexa Fluor 488-congugated AffiniPure Goat Anti-Rabbit IgG(H+L).
-
-
其他:
產品詳情
-
產品名稱:Rabbit anti-Homo sapiens (Human) SHPRH Polyclonal antibody
-
Uniprot No.:
-
基因名:SHPRH
-
別名:bA545I5.2 antibody; E3 ubiquitin-protein ligase SHPRH antibody; FLJ27258 antibody; FLJ37625 antibody; FLJ45012 antibody; FLJ90837 antibody; histone-linker antibody; KIAA2023 antibody; MGC134886 antibody; PHD and RING finger domain-containing helicase antibody; Shprh antibody; SHPRH_HUMAN antibody; SNF2 antibody; SNF2 histone linker PHD RING helicase antibody
-
宿主:Rabbit
-
反應種屬:Human
-
免疫原:Recombinant Human E3 ubiquitin-protein ligase SHPRH protein (1362-1512AA)
-
免疫原種屬:Homo sapiens (Human)
-
標記方式:Non-conjugated
本頁面中的產品,SHPRH Antibody (CSB-PA619905LA01HU),的標記方式是Non-conjugated。對于SHPRH Antibody,我們還提供其他標記。見下表:
-
克隆類型:Polyclonal
-
抗體亞型:IgG
-
純化方式:>95%, Protein G purified
-
濃度:It differs from different batches. Please contact us to confirm it.
-
保存緩沖液:Preservative: 0.03% Proclin 300
Constituents: 50% Glycerol, 0.01M PBS, pH 7.4 -
產品提供形式:Liquid
-
應用范圍:ELISA, IHC, IF
-
推薦稀釋比:
Application Recommended Dilution IHC 1:200-1:500 IF 1:50-1:200 -
Protocols:
-
儲存條件:Upon receipt, store at -20°C or -80°C. Avoid repeated freeze.
-
貨期:Basically, we can dispatch the products out in 1-3 working days after receiving your orders. Delivery time maybe differs from different purchasing way or location, please kindly consult your local distributors for specific delivery time.
-
用途:For Research Use Only. Not for use in diagnostic or therapeutic procedures.
相關產品
靶點詳情
-
功能:E3 ubiquitin-protein ligase involved in DNA repair. Upon genotoxic stress, accepts ubiquitin from the UBE2N-UBE2V2 E2 complex and transfers it to 'Lys-164' of PCNA which had been monoubiquitinated by UBE2A/B-RAD18, promoting the formation of non-canonical poly-ubiquitin chains linked through 'Lys-63'.
-
基因功能參考文獻:
- This study suggests that SHPRH could be a link between mTOR-mediated epigenetic regulations and rRNA transcription, while concomitantly affecting genomic integrity. PMID: 29139335
- evidence that SHPRH functions in rRNA transcription through its interaction with histone H3 in a mammalian target of rapamycin (mTOR)-dependent manner PMID: 28400511
- HLTF and SHPRH suppress mutagenesis in a damage-specific manner, preventing mutations induced by UV rays and methyl methanesulfonate. PMID: 21396873
- Clinical trial of gene-disease association and gene-environment interaction. (HuGE Navigator) PMID: 20379614
- SHPRH maps to 6q24 and is a possible candidate for the tumor suppressor gene reported from that region. PMID: 12837266
- SHPRH function is an important deterrent to mutagenesis and carcinogenesis in humans PMID: 17108083
- We report that a putative tumor suppressor gene, SHPRH, is a human orthologue of yeast RAD5.The yRad5/SHPRH-dependent pathway is a conserved and fundamental DNA repair mechanism that protects the genome from genotoxic stress. PMID: 17130289
- HLTF and SHPRH are functional homologues of yeast Rad5 that cooperatively mediate PCNA polyubiquitination and maintain genomic stability. PMID: 18719106
顯示更多
收起更多
-
蛋白家族:SNF2/RAD54 helicase family
-
組織特異性:Broadly expressed.
-
數據庫鏈接:
Most popular with customers
-
YWHAB Recombinant Monoclonal Antibody
Applications: ELISA, WB, IHC, IF, FC
Species Reactivity: Human, Mouse, Rat
-
Phospho-YAP1 (S127) Recombinant Monoclonal Antibody
Applications: ELISA, WB, IHC
Species Reactivity: Human
-
-
-
-
-
-















