SHH Antibody
-
中文名稱:SHH兔多克隆抗體
-
貨號:CSB-PA597625
-
規格:¥1100
-
圖片:
-
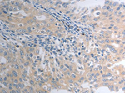
The image on the left is immunohistochemistry of paraffin-embedded Human breast cancer tissue using CSB-PA597625(SHH Antibody) at dilution 1/40, on the right is treated with synthetic peptide. (Original magnification: ×200)
-
The image on the left is immunohistochemistry of paraffin-embedded Human ovarian cancer tissue using CSB-PA597625(SHH Antibody) at dilution 1/40, on the right is treated with synthetic peptide. (Original magnification: ×200)
-
-
其他:
產品詳情
-
Uniprot No.:
-
基因名:
-
別名:HHG 1 antibody; HHG-1 antibody; HHG1 antibody; HLP 3 antibody; HLP3 antibody; Holoprosencephaly 3 antibody; HPE 3 antibody; HPE3 antibody; MCOPCB5 antibody; shh antibody; SHH_HUMAN antibody; SMMC I antibody; SMMCI antibody; Sonic Hedgehog (Drosophila) homolog antibody; sonic hedgehog homolog (Drosophila) antibody; Sonic hedgehog homolog antibody; Sonic hedgehog protein antibody; Sonic hedgehog protein C-product antibody; TPT antibody; TPTPS antibody
-
宿主:Rabbit
-
反應種屬:Human,Mouse,Rat
-
免疫原:Synthetic peptide of Human SHH
-
免疫原種屬:Homo sapiens (Human)
-
標記方式:Non-conjugated
-
抗體亞型:IgG
-
純化方式:Antigen affinity purification
-
濃度:It differs from different batches. Please contact us to confirm it.
-
保存緩沖液:-20°C, pH7.4 PBS, 0.05% NaN3, 40% Glycerol
-
產品提供形式:Liquid
-
應用范圍:ELISA,IHC
-
推薦稀釋比:
Application Recommended Dilution ELISA 1:2000-1:10000 IHC 1:50-1:100 -
Protocols:
-
儲存條件:Upon receipt, store at -20°C or -80°C. Avoid repeated freeze.
-
貨期:Basically, we can dispatch the products out in 1-3 working days after receiving your orders. Delivery time maybe differs from different purchasing way or location, please kindly consult your local distributors for specific delivery time.
-
用途:For Research Use Only. Not for use in diagnostic or therapeutic procedures.
相關產品
靶點詳情
-
功能:The C-terminal part of the sonic hedgehog protein precursor displays an autoproteolysis and a cholesterol transferase activity. Both activities result in the cleavage of the full-length protein into two parts (ShhN and ShhC) followed by the covalent attachment of a cholesterol moiety to the C-terminal of the newly generated ShhN. Both activities occur in the reticulum endoplasmic. Once cleaved, ShhC is degraded in the endoplasmic reticulum.; The dually lipidated sonic hedgehog protein N-product (ShhNp) is a morphogen which is essential for a variety of patterning events during development. Induces ventral cell fate in the neural tube and somites. Involved in the patterning of the anterior-posterior axis of the developing limb bud. Essential for axon guidance. Binds to the patched (PTCH1) receptor, which functions in association with smoothened (SMO), to activate the transcription of target genes. In the absence of SHH, PTCH1 represses the constitutive signaling activity of SMO.
-
基因功能參考文獻:
- The elevated levels of both serum Shh and IL-6 were mainly observed in BC patients who had a significantly higher risk of early recurrence and bone metastasis, and associated with a worse survival for patients with progressive metastatic BC. PMID: 28496132
- Disturbed SHH link between KIF7 and C5orf42 contributes to neurodevelopmental features characteristic of C5orf42-related ciliopathies. PMID: 29321670
- Histone deacetylase 6 (HDAC6) inhibition enhanced glioma stem cells (GSCs) radiosensitivity via inactivating sonic hedgehog protein (SHH)/glioma-associated oncogene homolog 1 (Gli1) pathway. PMID: 29222038
- Blockade of the Shh signaling pathway could reduce cell proliferation and migration only in MDA-MB-231 cells. Hh pathway inhibitor-1 (HPI-1) increased the percentages of late apoptotic cells in MDA-MB-231 cells and early apoptotic cells in T2 cells PMID: 29734730
- Structure-guided mutational analysis shows that interaction between ShhN and Ptch1 is steroid-dependent. PMID: 29954986
- Protease nexin-1 prevents growth of human B cell lymphoma via inhibition of sonic hedgehog signaling. PMID: 29483508
- SHH-related signaling pathway affects antineoplastic drug resistance in cultured glioma cells. PMID: 29313231
- SHH is expressed in cilia in the airway epithelial cells.SHH may mediate noncanonical hedgehog signaling through motile cilia to dampen respiratory defenses. PMID: 29358407
- High SHH expression is associated with radioresistance in esophageal adenocarcinoma. PMID: 29715275
- Identify SMO-dependent Shh signalling as a specific process for the activation of adventitial fibroblasts and the subsequent proliferation of smooth muscle cells and neointima formation. PMID: 29088375
- In conclusion, our data suggest that overexpression of the Hedgehog components SHH, GLI2 and FOXA2 might be used as markers of an aggressive hemangioma. PMID: 28370639
- These findings showed the upexpression of sonic hedgehog and vascular endothelial growth factor with co-localization in varicocele veins which imply that the reducing hypoxia or using sonic hedgehog antagonists may be helpful for this vascular disease. PMID: 26867642
- Shh and Gli1 expression were associated with lymph node metastasis, TNM stage and tumor recurrence, suggesting Shh and Gli1 protein could become the valuable biomarker in evaluating the lymph node metastasis in oral squamous cell carcinoma. PMID: 28886265
- Epithelial-mesenchymal transition programs promote basal mammary stem cell and tumor-initiating cell stemness by inducing primary ciliogenesis and Hedgehog signaling. PMID: 29158396
- Case Report: medullablastoma with activated SHH expression. PMID: 29517209
- NAFLD progression is usually accompanied by activation of the Sonic hedgehog (SHH) pathway leading to fibrous buildup (scar tissue) and inflammation of the liver tissue. For the first time patients with holoprosencephaly, a disease caused by SHH signaling mutations, are shown to have increased liver steatosis independent of obesity. PMID: 28645738
- Gpr161 is a critical factor in the basal suppression machinery of Shh signaling, neural tube morphogenesis and closure. (Review) PMID: 27731925
- Oncogenic activation of SHH is associated with Rubinstein-Taybi Syndrome and Medulloblastoma. PMID: 29551561
- The results showed that Shh and Gli1 were upregulated in prostate cancer tissues and were targeted by a phytogenic neoplastic compound carnosol. PMID: 28886322
- Hh signaling activation might reflect aggressive tumoral behavior, since high epithelial GLI2 expression positively correlates with a higher pathological Gleason score. Moreover, higher epithelial GLI3 expression is an independent marker of a more favorable prognosis. PMID: 28877722
- GPT2 reduced alpha-ketoglutarate level in cells leading to the inhibition of proline hydroxylase 2 (PHD2) activity involved in the regulation of HIF1alpha stability. Accumulation of HIF1alpha, resulting from GPT2-alpha-ketoglutarate-PHD2 axis, constitutively activates sonic hedgehog (Shh) signaling pathway. PMID: 28839461
- Results show SHH proteolysis is under the mechanism of Scube2 which is enriched at the surface of Shh-producing cells by heparan sulfate proteoglycans. PMID: 27199253
- influences sweat gland differentiation of stem cells PMID: 27120089
- during Hedgehog signaling, ligand binding inhibits Patched by trapping it in an inactive conformation, a mechanism that explains the dramatically reduced activity of oncogenic Patched1 mutants. PMID: 27647915
- In an in vitro model of LPS inflammation of the blood-brain barrier, sonic hedgehog signaling was activated by Wip1 overexpression and inhibited by silencing. Wip1 may protect the BBB against LPS damage via SHH signaling. PMID: 29128669
- the effect gene of the Shh pathway, gli1, was found to have a reduced level of expression along with a decreased expression of gli2. PMID: 26446020
- SHH can promote cell growth and cell osteoblastic/cementoblastic differentiation via BMP pathway PMID: 27289556
- Findings suggest that oral squamous cell carcinoma (OSCC)derived sonic hedgehog protein (SHH) stimulates angiogenesis at the tumor invasive front. PMID: 29187450
- Expression of SHH and GLI1 may be useful prognostic markers of Merkel cell carcinoma because increased expression was associated with better prognosis. PMID: 28551328
- High SHH expression is associated with esophageal squamous cell carcinoma. PMID: 29054489
- Studies suggest significance of other signaling aside from hedgehog in the pathogenesis of basal cell carcinoma (BCC) of the skin. PMID: 28574612
- Gorlin syndrome-derived induced pluripotent stem cells (iPSCs) expressed lower basal levels than control iPSCs of the genes encoding the Hh ligands Indian Hedgehog (IHH) and Sonic Hedgehog (SHH). PMID: 29088246
- SHH activation is associated with Rhabdomyosarcoma. PMID: 28881358
- Studies suggest that embryonic signaling pathways, the likes of Notch, Wnt, and Hedgehog and tumor marker Oct-4 offer targets for cascade-specific molecular inhibition as they are fundamental to (cancer and normal) stem cell maintenance and growth. PMID: 27730468
- Methylation at K436 and K595 respectively by Set7 increases the stability and DNA binding ability of Gli3, resulting in an enhancement of Shh signaling activation. PMID: 27146893
- Altogether, these data suggested that curcumin inhibited the activities of BCSCs through suppressing Shh pathway, which might be an effective chemopreventive agent for bladder cancer intervention. PMID: 28870814
- High SHH expression is associated with Small Cell Lung Cancer. PMID: 28870922
- Accumulating evidence suggest that cytochrome P450 (CYP26), the primary retinoid-inactivating enzyme, plays a critical role in the integration of two neoplastic molecular programs: the retinoid metabolism and Hedgehog pathways. (Review) PMID: 28754309
- CHSY1 overexpression in HCC contributes to the malignant behavior of hepatocellular carcinoma cells via activation of the hedgehog signaling pathway. PMID: 28652022
- We found a novel 7q36.3 duplication involving 2 genes (SHH and RBM33) in a patient with complete corpus callosum agenesis (Figure), moderate learning difficulties, and macrocephaly PMID: 28284480
- Study showed that SHH expression was significantly high among breast cancer patients with advanced tumor grade, stage, nodal involvement and metastasis and this expression strongly correlated with proliferation marker. PMID: 28739739
- This suggests an important cross-talk between SHH and WIP1 pathways that accelerates tumorigenesis and supports WIP1 inhibition as a potential treatment strategy for MB. PMID: 27086929
- YB-1 is induced by Shh in CGNPs PMID: 26725322
- SHH siRNA synergistically enhanced cytotoxicity induced by itraconazole in MCF-7 cells. PMID: 27810405
- Hedgehog pathway activation in T-cell acute lymphoblastic leukemia predicts response to SMO and GLI1 inhibitors. PMID: 27694322
- Data suggest that negative feedback mediated by GLI3 (GLI-Kruppel family member) acts to finely tune SHH (sonic hedgehog) signaling. During medulloblastoma (MB) formation, nerve tissue cells appear to express nestin which hyperactivates SHH signaling by abolishing negative feedback by GLI3. Restoration of intrinsic negative feedback by repressing nestin expression represents a promising approach to treat MB. [REVIEW] PMID: 28389227
- The study reveals several novel individual and repetitive mutations of SHH gene in Gallbladder Cancer and Cholelithiasis samples that may be used as diagnostic markers for gallbladder carcinogenesis. PMID: 28058596
- Data indicate that agedunin induces its anti-metastatic effect through inhibition of sonic hedgehog protein [SHH] signaling. PMID: 26988754
- findings suggest that Usp7 is important for MB cell proliferation and metastasis by activating Shh pathway, and is a putative therapeutic target for MBs PMID: 28137592
- importance of MAOA for initiating the pre-metastatic niche in stromal cells and promoting PCa metastasis to bone and visceral organs, mediated by activation of paracrine Shh-IL6-RANKL signaling underlying tumor-stromal interactions. PMID: 28292438
顯示更多
收起更多
-
相關疾病:Microphthalmia, isolated, with coloboma, 5 (MCOPCB5); Holoprosencephaly 3 (HPE3); Solitary median maxillary central incisor (SMMCI); Triphalangeal thumb-polysyndactyly syndrome (TPTPS); Preaxial polydactyly 2 (PPD2); Hypoplasia or aplasia of tibia with polydactyly (THYP); Laurin-Sandrow syndrome (LSS)
-
亞細胞定位:Endoplasmic reticulum membrane. Golgi apparatus membrane.; [Sonic hedgehog protein N-product]: Cell membrane; Lipid-anchor.
-
蛋白家族:Hedgehog family
-
數據庫鏈接:
Most popular with customers
-
-
YWHAB Recombinant Monoclonal Antibody
Applications: ELISA, WB, IHC, IF, FC
Species Reactivity: Human, Mouse, Rat
-
Phospho-YAP1 (S127) Recombinant Monoclonal Antibody
Applications: ELISA, WB, IHC
Species Reactivity: Human
-
-
-
-
-















