SH3KBP1 Antibody
-
中文名稱:SH3KBP1兔多克隆抗體
-
貨號:CSB-PA546597
-
規格:¥1100
-
圖片:
-
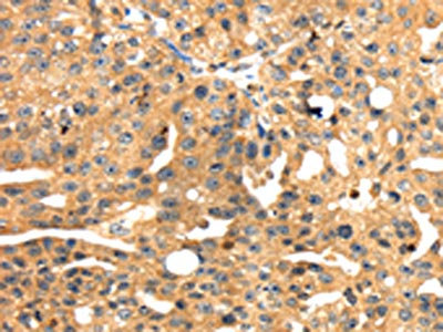
The image on the left is immunohistochemistry of paraffin-embedded Human liver cancer tissue using CSB-PA546597(SH3KBP1 Antibody) at dilution 1/45, on the right is treated with fusion protein. (Original magnification: ×200)
-
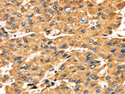
The image on the left is immunohistochemistry of paraffin-embedded Human breast cancer tissue using CSB-PA546597(SH3KBP1 Antibody) at dilution 1/45, on the right is treated with fusion protein. (Original magnification: ×200)
-
Gel: 8%SDS-PAGE,Lysate: 40 μg,,Primary antibody: CSB-PA546597(SH3KBP1 Antibody) at dilution 1/800 dilution,Secondary antibody: Goat anti rabbit IgG at 1/8000 dilution,Exposure time: 30 seconds
-
-
其他:
產品詳情
-
Uniprot No.:
-
基因名:
-
別名:c Cbl interacting protein antibody; Cbl interacting protein antibody; Cbl interacting protein of 85 kDa antibody; Cbl-interacting protein of 85 kDa antibody; CD2 binding protein 3 antibody; CD2-binding protein 3 antibody; CD2BP3 antibody; CIN 85 antibody; CIN85 antibody; GIG 10 antibody; GIG10 antibody; HSB 1 antibody; HSB-1 antibody; HSB1 antibody; Human Src family kinase binding protein 1 antibody; Human Src family kinase-binding protein 1 antibody; MIG 18 antibody; MIG18 antibody; Migration inducing gene 18 antibody; Migration inducing gene 18 protein antibody; SH3 domain kinase binding protein 1 antibody; SH3 domain-containing kinase-binding protein 1 antibody; SH3BP 1 antibody; SH3K1_HUMAN antibody; SH3KBP1 antibody; Src family kinase binding protein 1 antibody; src related kinase binding protein 1 antibody
-
宿主:Rabbit
-
反應種屬:Human,Mouse,Rat
-
免疫原:Fusion protein of Human SH3KBP1
-
免疫原種屬:Homo sapiens (Human)
-
標記方式:Non-conjugated
-
抗體亞型:IgG
-
純化方式:Antigen affinity purification
-
濃度:It differs from different batches. Please contact us to confirm it.
-
保存緩沖液:-20°C, pH7.4 PBS, 0.05% NaN3, 40% Glycerol
-
產品提供形式:Liquid
-
應用范圍:ELISA,WB,IHC
-
推薦稀釋比:
Application Recommended Dilution ELISA 1:2000-1:5000 WB 1:500-1:2000 IHC 1:30-1:150 -
Protocols:
-
儲存條件:Upon receipt, store at -20°C or -80°C. Avoid repeated freeze.
-
貨期:Basically, we can dispatch the products out in 1-3 working days after receiving your orders. Delivery time maybe differs from different purchasing way or location, please kindly consult your local distributors for specific delivery time.
-
用途:For Research Use Only. Not for use in diagnostic or therapeutic procedures.
相關產品
靶點詳情
-
功能:Adapter protein involved in regulating diverse signal transduction pathways. Involved in the regulation of endocytosis and lysosomal degradation of ligand-induced receptor tyrosine kinases, including EGFR and MET/hepatocyte growth factor receptor, through an association with CBL and endophilins. The association with CBL, and thus the receptor internalization, may be inhibited by an interaction with PDCD6IP and/or SPRY2. Involved in regulation of ligand-dependent endocytosis of the IgE receptor. Attenuates phosphatidylinositol 3-kinase activity by interaction with its regulatory subunit. May be involved in regulation of cell adhesion; promotes the interaction between TTK2B and PDCD6IP. May be involved in the regulation of cellular stress response via the MAPK pathways through its interaction with MAP3K4. Is involved in modulation of tumor necrosis factor mediated apoptosis. Plays a role in the regulation of cell morphology and cytoskeletal organization. Required in the control of cell shape and migration. Has an essential role in the stimulation of B cell activation.
-
基因功能參考文獻:
- The multiple Src homology 3 (SH3) domains of trimeric CIN85 molecules associated with multiple SLP-65 molecules, which recruited further CIN85 trimers, thereby perpetuating the oligomerization process. PMID: 27353366
- these data support a role for the novel PP2Ac-CIN85 complex in supporting integrin-dependent platelet function by dampening the phosphatase activity. PMID: 27334924
- CIN85 promotes recycling of TGF-beta receptors and thereby positively regulates TGF-beta signaling. PMID: 26169354
- Results support the model that Cbl-CIN85-endophilin complex is not required for efficient internalization of EGFR, a prototype RTK. PMID: 25449262
- Multiple molecular forms of adaptor protein Ruk/CIN85 specifically associate with different subcellular compartments in human breast adenocarcinoma cell line. PMID: 25816594
- LOX-PP interacts with CIN85 via a novel SH3-binding motif and this association reduces CIN85-promoted invasion by breast cancer cells. PMID: 24167568
- Data show that EGFR activation leads to a pronounced src-mediated tyrosine phosphorylation of CIN85 that subsequently influences EGFR ubiquitination. PMID: 22833562
- this study indicates that high levels of Ruk(l)/CIN85 contribute to the conversion of breast adenocarcinoma cells into a more malignant phenotype via modulation of the Src/Akt pathway. PMID: 22791810
- Data show that CIN85 (c-Cbl interacting protein of 85 kDa) is constitutively associated with c-Cbl, Cbl-b, and B-cell linker in B cells. PMID: 22262777
- The CIN85 was constitutively associated with Hrs, and this strengthens the hypothesis of a functional role of CIN85 in endosomal EGFR sorting. PMID: 21635887
- the ubiquitination and degradation of stimulated FcgammaRIIa mediated by c-Cbl are positively regulated by the adaptor protein CIN85 in a PKC-dependent manner and these events contribute to the termination of FcgammaRIIa signaling. PMID: 21372129
- the N- and C-termini are important for the structure, stability, and function of the third SH3 domain of CIN85 PMID: 21446695
- ARAP1 associated with CIN85 affects epidermal growth factor receptor endocytic trafficking. PMID: 21275903
- High CIN85 is associated with the development and progression of head and neck squamous cell carcinoma. PMID: 20927317
- CIN85 binding to a C-terminal motif within hTTP leads to the increased phosphorylation of hTTP, possibly through enhanced association with MEKK4 PMID: 20221403
- Ruk/CIN85 induces PAI-1 expression via modulation of HIF-1alpha stability PMID: 20216986
- The ORF3 protein of hepatitis E virus was found to interact with CIN85 and compete with the formation of the growth factor receptor-Cbl-CIN85 complex, resulting in the reduced ubiquitination of CIN85. PMID: 20130058
- Cbl-CIN85-endophilin complex mediates ligand-induced downregulation of EGF receptors PMID: 11894095
- The endophilin-CIN85-Cbl complex mediates ligand-dependent downregulation of c-Met PMID: 11894096
- CIN85 participates in Cbl-b-mediated down-regulation of receptor tyrosine kinases PMID: 12177062
- Cbl-directed monoubiquitination of CIN85 is involved in regulation of ligand-induced degradation of EGF receptors. PMID: 12218189
- Cd2 antigen is linked to CAPZ via this protein and CMS. PMID: 12690097
- forms complexes with endonucleases in HEK293 cells PMID: 12946264
- CIN85 association with Dab2 is essential for its recruitment to clathrin coat and appears to be modulated by growth factor stimulation PMID: 14596919
- Data show that infected cell protein 0 (ICP0) binds CIN85 in a reciprocal manner and that the complexes pulled down by ICP0 also contain Cbl. PMID: 15824310
- CIN85 might play an important role in HSV-1 infection. PMID: 16223483
- Taken together, these results indicate a novel role for CIN85 in the regulation of cellular stress response via the MAPK pathways. PMID: 16256071
- CIN85, a Cbl-interacting protein, is a component of AMAP1-mediated breast cancer invasion machinery. PMID: 17255943
- a new role for CIN85 in regulating Syk protein levels in RBL-2H3 cells through the activation of the ubiquitin-proteasome pathway and provide a mechanism for this regulation involving c-Cbl ligase activity. PMID: 17675467
- These results suggest that endogenous Ruk/CIN85 may be involved in regulation of specific membrane trafficking processes. PMID: 18266907
- Results suggest that competition between Cbl and ubiquitin binding to CIN85 regulates Cbl function and EGFR endocytosis. PMID: 18680311
- Epidermal Growth Factor stimulation increases association of Cbl and Ruk/CIN85, which is dependent on tyrosine phosphorylation of the C-terminal region of Proto-Oncogene Proteins Cbl. PMID: 19166927
- detailed high-resolution solution structural study of CIN85A and CIN85B binding to proline-arginine peptides derived from the cognate ligands Cbl and Cbl-b PMID: 19268472
- CIN85 (SH3-domain kinase binding protein 1) associates with TNF receptor 1 via Src and modulates TNF-alpha-induced apoptosis. PMID: 15707590
顯示更多
收起更多
-
亞細胞定位:Cytoplasm. Cytoplasm, cytoskeleton. Cytoplasmic vesicle membrane; Peripheral membrane protein. Cell junction, synapse, synaptosome. Cell junction, focal adhesion.
-
組織特異性:Ubiquitously expressed. Also expressed in some cancer cell lines.
-
數據庫鏈接:
Most popular with customers
-
-
YWHAB Recombinant Monoclonal Antibody
Applications: ELISA, WB, IHC, IF, FC
Species Reactivity: Human, Mouse, Rat
-
Phospho-YAP1 (S127) Recombinant Monoclonal Antibody
Applications: ELISA, WB, IHC
Species Reactivity: Human
-
-
-
-
-















