-
中文名稱:SGMS1兔多克隆抗體
-
貨號:CSB-PA801243LA01HU
-
規格:¥440
-
圖片:
-
Western Blot
Positive WB detected in: K562 whole cell lysate
All lanes: SGMS1 antibody at 4µg/ml
Secondary
Goat polyclonal to rabbit IgG at 1/50000 dilution
Predicted band size: 49, 26 kDa
Observed band size: 49 kDa -
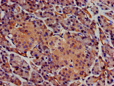
IHC image of CSB-PA801243LA01HU diluted at 1:400 and staining in paraffin-embedded human pancreatic tissue performed on a Leica BondTM system. After dewaxing and hydration, antigen retrieval was mediated by high pressure in a citrate buffer (pH 6.0). Section was blocked with 10% normal goat serum 30min at RT. Then primary antibody (1% BSA) was incubated at 4°C overnight. The primary is detected by a biotinylated secondary antibody and visualized using an HRP conjugated SP system.
-
-
其他:
產品詳情
-
產品描述:
The SMS1 antibody is raised in rabbits against the peptide corresponding to amino acids 48-137 of the recombinant human SMS1. It exists as an unconjugated IgG. Its purity is greater than 95% using protein G purified. It is only reactive with human SMS1 protein, which possesses sphingomyelin (SM) synthesis activity and is located in the cis-Golgi apparatus and responsible for the bulk production of SM. Studies have shown that SMS1-producing SM is involved in the attachment and infection of the Japanese encephalitis virus (JEV). And this anti-SMS1 antibody has been validated for use in ELISA, WB, and IHC applications.
-
產品名稱:Rabbit anti-Homo sapiens (Human) SGMS1 Polyclonal antibody
-
Uniprot No.:
-
基因名:SGMS1
-
別名:SGMS1; MOB; SMS1; TMEM23; Phosphatidylcholine:ceramide cholinephosphotransferase 1; Medulla oblongata-derived protein; Protein Mob; Sphingomyelin synthase 1; Transmembrane protein 23
-
宿主:Rabbit
-
反應種屬:Human
-
免疫原:Recombinant Human Phosphatidylcholine:ceramide cholinephosphotransferase 1 protein (48-137AA)
-
免疫原種屬:Homo sapiens (Human)
-
標記方式:Non-conjugated
本頁面中的產品,SGMS1 Antibody (CSB-PA801243LA01HU),的標記方式是Non-conjugated。對于SGMS1 Antibody,我們還提供其他標記。見下表:
-
克隆類型:Polyclonal
-
抗體亞型:IgG
-
純化方式:>95%, Protein G purified
-
濃度:It differs from different batches. Please contact us to confirm it.
-
保存緩沖液:Preservative: 0.03% Proclin 300
Constituents: 50% Glycerol, 0.01M PBS, pH 7.4 -
產品提供形式:Liquid
-
應用范圍:ELISA, WB, IHC
-
推薦稀釋比:
Application Recommended Dilution WB 1:500-1:5000 IHC 1:200-1:500 -
Protocols:
-
儲存條件:Upon receipt, store at -20°C or -80°C. Avoid repeated freeze.
-
貨期:Basically, we can dispatch the products out in 1-3 working days after receiving your orders. Delivery time maybe differs from different purchasing way or location, please kindly consult your local distributors for specific delivery time.
-
用途:For Research Use Only. Not for use in diagnostic or therapeutic procedures.
引用文獻
- Expression of Ceramide-Metabolizing Enzymes in the Heart Adipose Tissue of Cardiovascular Disease Patients O Gruzdeva,International journal of molecular sciences,2023
相關產品
靶點詳情
-
功能:Major sphingomyelin synthase at the Golgi apparatus. Catalyzes the reversible transfer of phosphocholine moiety in sphingomyelin biosynthesis: in the forward reaction transfers phosphocholine head group of phosphatidylcholine (PC) on to ceramide (CER) to form ceramide phosphocholine (sphingomyelin, SM) and diacylglycerol (DAG) as by-product, and in the reverse reaction transfers phosphocholine from SM to DAG to form PC and CER. The direction of the reaction depends on the levels of CER and DAG in Golgi membranes. Does not use free phosphorylcholine or CDP-choline as donor. Regulates receptor-mediated signal transduction via mitogenic DAG and proapoptotic CER, as well as via SM, a structural component of membrane rafts that serve as platforms for signal transduction and protein sorting. Plays a role in secretory transport via regulation of DAG pool at the Golgi apparatus and its downstream effects on PRKD1.
-
基因功能參考文獻:
- PECULIARITIES OF THE STRUCTURE AND EXPRESSION OF HUMAN SPHINGOMYELIN SYNTHASE 1 GENE (SGMS1). PMID: 30191692
- The inhibition of SMS 1 activity induced CD cells to lose their epithelial phenotype and to undergo an epithelial-mesenchymal transition (EMT) process. PMID: 29128370
- the SGMS1 gene exhibits a complex regulation at the post-transcriptional level PMID: 29454087
- SMS regulates the expression and function of drug transporters P-gp and MRP2. PMID: 27394416
- HepG2 cells stably transfected with SMS1 (HepG2-SMS1) exhibit elevated enzyme activity in vitro and increased sphingomyelin content (mainly C22:0- and C24:0-sphingomyelin) but lower hexosylceramide (Hex-Cer) levels. PMID: 28087695
- findings suggest that the C-terminal tails of SMSs are involved in homodimer formation, which is required for efficient transport from the ER. PMID: 27927984
- Sphingomyelin synthase 1 positively regulates KCNQ1/KCNE1 channel density in a protein kinase D-dependent manner. PMID: 27194473
- A study of the expression of the full-length SMS1 protein and the sum of the alternative transcripts encoding this protein in human tissues. PMID: 25912551
- The structural organization of 5'-UTR variants of SGMS1 transcripts, directed by alternative promoters, is substantially different; this can provide regulation of the gene functioning on post-transcriptional level. PMID: 26065260
- We found upregulation of specific sphingolipid enzymes, namely sphingomyelin synthase 1 (SMS1), sphingomyelinase 3 (SMPD3), and glucosylceramide synthase (GCS) in the endometrium of endometriotic women. PMID: 24960545
- SGMS activity impacts on amyloid precursor protein processing to produce amyloid-beta (Abeta) and it could be a contributing factor in Abeta pathology associated with Alzheimer's disease. PMID: 23977395
- The amount of SMS1 transcripts varies considerably between different human tissues. PMID: 24062078
- Findings indicate that Sms1 is a downstream target of Bcr-abl, involved in sustaining cell proliferation of Bcr-abl-positive cells. PMID: 23160178
- SMS1 and SMS2 are capable of regulating TGN-mediated protein trafficking and secretion PMID: 21980337
- Data indicate that the increased sphingomyelin mass was due to a rapid and highly specific activation of sphingomyelin synthases SMS1 and SMS2. PMID: 22106271
- SMS1-mediated SM synthesis directs Tf-TfR to undergo clathrin-dependent endocytosis and recycling, promoting the proliferation of lymphoma cells. PMID: 21856749
- Our results indicate that the regulation of SMS1 expression is complex and occurs at the transcriptional, post-transcriptional and translational levels. PMID: 21549185
- sphingomyelin synthase has a role in controlling the antimicrobial activity of neutrophils against Cryptococcus neoformans PMID: 21203393
- Cellular sphingomyelin levels are positively related to cellular cholesterol levels and sphingomyelin synthase overexpression-mediated cellular sphingomyelin content changes are related to cellular Apo A-I content and secretion PMID: 21418611
- Clinical trial of gene-disease association and gene-environment interaction. (HuGE Navigator) PMID: 20379614
- Altogether, our data show that SMS1 is a novel caspase target that is functionally involved in the regulation of FasL-induced apoptosis. PMID: 19779494
- The 1.6 kb Hmob33 clone obtained from the medulla oblongata cDNA library and mapped to the human chromosome 10 was examined to find the coding region(MOB) PMID: 11841947
- SMS1 is responsible for SM synthase activity in mammalian cells and plays a critical role in cell growth of lymphoid cells. PMID: 14976195
- MOB gene activity is believed to be controlled at least at the transcriptional and the posttranscriptional levels, strictly regulating the amount of the encoded protein product. PMID: 15315829
- Adenovirus-mediated SMS1 overexpression increased lipoprotein atherogenic potential. PMID: 16508036
- Data show that sphingomyelin synthases SMS1 and SMS2 are co-expressed in a variety of cell types and function as the key Golgi- and plasma membrane-associated SM synthases in human cervical carcinoma HeLa cells, respectively. PMID: 17449912
- Overexpression of SMS1 is associated with suppressed ceramide response and apoptotic resistance after photodamage. PMID: 17467659
- Results indicate that both synthase (SMS)1 and 2 contribute to sphingomyelin (SM) de novo synthesis and control SM levels in the cells and on the cell membrane including plasma membrane. PMID: 17616479
- SMS1 and SMS2 are key factors in the control of sphingomyelin and diacylglycerol metabolism within the cell, and thus they influence apoptosis. PMID: 17982138
- SMS1 regulates subcellular pools of diacylglycerol-binding proteins in the Golgi apparatus. PMID: 18370930
- Both SMS1 and SMS2 contain two histidines and one aspartic acid which are conserved within the lipid phosphate phosphatase superfamily. Site-directed mutagenesis of these amino acids abolished SMS activity without altering cellular distribution. PMID: 18694848
- Impaired TCR signaling through dysfunction of lipid rafts in SMS1-knockdown T cells PMID: 18820264
- Results establish the sphingomyelin synthase (SMS1)-related enzyme SMSr as a key regulator of ceramide homeostasis that seems to operate as a sensor rather than a converter of ceramides in the endoplasmic reticulum. PMID: 19506037
- Observational study of gene-disease association. (HuGE Navigator) PMID: 16385451
顯示更多
收起更多
-
亞細胞定位:Golgi apparatus membrane; Multi-pass membrane protein.
-
蛋白家族:Sphingomyelin synthase family
-
組織特異性:Brain, heart, kidney, liver, muscle and stomach.
-
數據庫鏈接:
Most popular with customers
-
-
Phospho-YAP1 (S127) Recombinant Monoclonal Antibody
Applications: ELISA, WB, IHC
Species Reactivity: Human
-
-
-
-
-
-















