-
中文名稱:SFN兔多克隆抗體
-
貨號:CSB-PA021135LA01HU
-
規格:¥440
-
圖片:
-
Western Blot
Positive WB detected in: Rat lung tissue, Rat brain tissue, Mouse lung tissue, Mouse brain tissue
All lanes: SFN antibody at 5μg/ml
Secondary
Goat polyclonal to rabbit IgG at 1/50000 dilution
Predicted band size: 28, 25 kDa
Observed band size: 28 kDa -
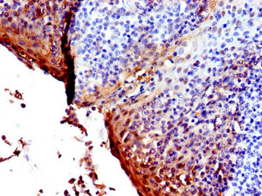
IHC image of CSB-PA021135LA01HU diluted at 1:600 and staining in paraffin-embedded human tonsil tissue performed on a Leica BondTM system. After dewaxing and hydration, antigen retrieval was mediated by high pressure in a citrate buffer (pH 6.0). Section was blocked with 10% normal goat serum 30min at RT. Then primary antibody (1% BSA) was incubated at 4°C overnight. The primary is detected by a biotinylated secondary antibody and visualized using an HRP conjugated SP system.
-
Immunofluorescence staining of Hela cells with CSB-PA021135LA01HU at 1:225, counter-stained with DAPI. The cells were fixed in 4% formaldehyde, permeabilized using 0.2% Triton X-100 and blocked in 10% normal Goat Serum. The cells were then incubated with the antibody overnight at 4°C. The secondary antibody was Alexa Fluor 488-congugated AffiniPure Goat Anti-Rabbit IgG(H+L).
-
-
其他:
產品詳情
-
產品名稱:Rabbit anti-Homo sapiens (Human) SFN Polyclonal antibody
-
Uniprot No.:
-
基因名:
-
別名:14 3 3 protein sigma antibody; 14-3-3 protein sigma antibody; 1433S_HUMAN antibody; Epithelial cell marker protein 1 antibody; Er antibody; HME 1 antibody; HME1 antibody; MGC143283 antibody; Mkrn3 antibody; Mme1 antibody; OTTHUMP00000004242 antibody; RP23 137L22.11 antibody; SFN antibody; SFN protein antibody; Stratifin antibody; YWHAS antibody
-
宿主:Rabbit
-
反應種屬:Human, Rat, Mouse
-
免疫原:Recombinant Human 14-3-3 protein sigma protein (1-248AA)
-
免疫原種屬:Homo sapiens (Human)
-
標記方式:Non-conjugated
本頁面中的產品,SFN Antibody (CSB-PA021135LA01HU),的標記方式是Non-conjugated。對于SFN Antibody,我們還提供其他標記。見下表:
-
克隆類型:Polyclonal
-
抗體亞型:IgG
-
純化方式:>95%, Protein G purified
-
濃度:It differs from different batches. Please contact us to confirm it.
-
保存緩沖液:Preservative: 0.03% Proclin 300
Constituents: 50% Glycerol, 0.01M PBS, pH 7.4 -
產品提供形式:Liquid
-
應用范圍:ELISA, WB, IHC, IF
-
推薦稀釋比:
Application Recommended Dilution WB 1:500-1:5000 IHC 1:500-1:1000 IF 1:200-1:500 -
Protocols:
-
儲存條件:Upon receipt, store at -20°C or -80°C. Avoid repeated freeze.
-
貨期:Basically, we can dispatch the products out in 1-3 working days after receiving your orders. Delivery time maybe differs from different purchasing way or location, please kindly consult your local distributors for specific delivery time.
-
用途:For Research Use Only. Not for use in diagnostic or therapeutic procedures.
引用文獻
- Label-free Quantitative Analysis of Protein Expression Alterations in miR-26a-Knockout HeLa Cells using SWATH-MS Technology Shen H, et al,Scientific Reports,2019
相關產品
靶點詳情
-
功能:Adapter protein implicated in the regulation of a large spectrum of both general and specialized signaling pathways. Binds to a large number of partners, usually by recognition of a phosphoserine or phosphothreonine motif. Binding generally results in the modulation of the activity of the binding partner. When bound to KRT17, regulates protein synthesis and epithelial cell growth by stimulating Akt/mTOR pathway. May also regulate MDM2 autoubiquitination and degradation and thereby activate p53/TP53.; p53-regulated inhibitor of G2/M progression.
-
基因功能參考文獻:
- Over-expressed and hypo-methylated SFN gene is associated with hepatocellular carcinoma. PMID: 27760737
- Review/Meta-analysis: 14-3-3 sigma promoter methylation may be associated with the carcinogenesis of breast cancer and might represent a useful blood-based biomarker for the clinical diagnosis of breast cancer. PMID: 27999208
- 14-3-3sigma has a paracrine effect in educating stromal cells in tumor-associated microenvironment. PMID: 27175590
- This data indicates that 14-3-3sigma contributes to P-gp overexpression through interaction with PXR with rifampin and paclitaxel treatment. PMID: 28077325
- The impact of AKT1 on glucocorticoid receptor (GR)-induced transcriptional activity in cooperation with phospho-serine/threonine-binding protein 14-3-3, was examined. PMID: 27717743
- Data showed that 14-3-3s contributed to ionizing radiation (IR) resistance possibly by regulating cell cycle progression and non-homologous end joining repair of IR-induced DNA double strand breaks via regulating the expression of Chk2 and PARP1. These findings suggest that 14-3-3s may be an upstream master regulator in chemo and radiation resistance and cancer cell survival. PMID: 28087741
- Structural basis for the interaction of a human HSPB6 protein with the 14-3-3 universal signaling regulator has been reported. PMID: 28089448
- Dual co-expression of human fetal Tau with PKA in Escherichia coli results in multisite Tau phosphorylation including also naturally occurring sites which were not previously considered in the context of 14-3-3 binding. Tau protein co-expressed with PKA displays tight functional interaction with 14-3-3 isoforms of a different type. PMID: 28575131
- Data suggest that 14-3-3 sigma protein exhibits two individual secondary binding sites for peptide fragments of TAZ protein; these two pockets appear to be part of at least three physiologically relevant and structurally characterized 14-3-3 protein-protein interaction interfaces. PMID: 28681606
- These results suggest that SFN facilitates lung tumor development and progression. SFN appears to be a novel oncogene with potential as a therapeutic target PMID: 26223682
- SFN regulates cancer metabolic reprogramming. It opposes tumor-promoting metabolic programs by enhancing c-Myc poly-ubiquitination and degradation. SFN suppresses cancer glycolysis, glutaminolysis, and mitochondrial biogenesis. PMID: 26179207
- Data show that overexpression of the 14-3-3sigma isoform resulted in a disruption of the tubulin cytoskeleton mediated by binding Tau protein. PMID: 26103986
- K17 expression is accompanied by cytoplasmic expression of 14-3-3 sigma, indicative of their functional relationship in oral squamous cell carcinoma PMID: 25736868
- SFN affects the water-holding capacity, barrier function and dermal matrix components in photoaging skin. An increase of SFN triggered by UVB irradiation may be one of the causes of alterations observed in photoaging skin. PMID: 25234834
- Results suggest a role of Wig-1 as a survival factor that directs the p53 stress response toward cell cycle arrest rather than apoptosis through the regulation of FAS and 14-3-3sigma mRNA levels. PMID: 24469038
- 14-3-3sigma alone or combined with HSP70 are potential prognostic biomarkers for HCC PMID: 24923353
- Decreased expression of immunoreactive 14-3-3sigma may be a predictor of poor prognosis in patients with uterine papillary serous carcinoma. PMID: 24201220
- Cdc25B upregulation and 14-3-3sigma downregulation might promote development of bladder cancer and suggested a poor prognosis. PMID: 24234332
- Studied differential protein expression of an anoikis-resistant CCA cell line culture, under attachment and nonattachment conditions. Data reveal 14-3-3sigma protein was intensely upregulated in detached CCA cells. PMID: 24030981
- stratifin plays a role in regulating plakophilin-3 incorporation into the desmosomal plaque by forming a plakophilin-3 stratifin complex in the cytosol and thereby affecting desmosome dynamics in squamous epithelial cells. PMID: 24124604
- this study identified the p53 regulated tumor suppressor 14-3-3sigma as a direct plakoglobin-p53 target gene. PMID: 23687381
- 14-3-3 sigma is expressed in ovarian granulosa cell tumors and steroid cell tumors, but it is not expressed in ovarian fibromas, thecomas, Sertoli cell tumors, endometrial stromal sarcomas, and sex-cord stromal tumors, unclassified PMID: 23370648
- study concludes that LMP-1 may induce cell cycle arrest at G(2)/M progression via upregulation of 14-3-3sigma and Reprimo PMID: 23312294
- Crystallographic determination of 14-3-3-sigma binding sites in the human peptidylarginine deiminase type VI. PMID: 22634725
- Data suggest that down-regulation of 14-3-3 sigma plays a role in tumorigenesis in myometrium leading to leiomyoma; this mechanism may involve up-regulation of progesterone receptor and estrogen receptors. PMID: 22329840
- Data define the subcellular localization and regulation of COP1 after DNA damage and provide a mechanistic explanation for the notion that 14-3-3sigma's impact on the inhibition of p53 E3 ligases is an important step for p53 stabilization after DNA damage. PMID: 20843328
- 14-3-3sigma expression is significantly associated with resistance to paclitaxel followed by 5-FU, epirubicin and cyclophosphamide, and this association is independent of other biological markers PMID: 22315133
- Data show that SFN and SPARC form a complex thereby controlling the type I collagen synthesis and expression in fibroblasts. PMID: 22422640
- down-regulation of 14-3-3sigma in the absence of CCDC6 demonstrated their direct association and supports the notion that CCDC6 contributes to cancer development, possibly through malignant pathways involving 14-3-3sigma PMID: 22399611
- Multivariate analyses revealed that 14-3-3o expression was an independent prognostic parameter in gastric cancer. PMID: 21933426
- 14-3-3sigma-mediated molecular events that synergise with p53 may play important roles in the chemotherapy of breast cancer. PMID: 22192357
- Epstein-Barr virus Rta-mediated transactivation of p21 and 14-3-3sigma arrests cells at the G1/S transition by reducing cyclin E/CDK2 activity. PMID: 21918011
- role of hydrophobic residues at the dimeric interfac PMID: 21870863
- data suggest that the CSN6-COP1 axis is involved in 14-3-3sigma degradation, and that deregulation of this axis will promote cell growth and tumorigenicity PMID: 21625211
- Hypomethylation of the 14-3-3sigma promoter leads to increased expression in non-small cell lung cancer. PMID: 21755566
- Data indicate that gene analysis revealed an up-regulation of all four 14-3-3 isoforms beta, eta, gamma, and sigma. PMID: 21416292
- 14-3-3sigma controls the in vivo epidermal proliferation-differentiation switch by reducing proliferative potential and forcing keratinocytes to exit the cell cycle, and that this effect associates with inhibition of the IGF-1 pathway. PMID: 21654836
- found that metastatic ovarian tumors frequently overexpress 14-3-3 sigma PMID: 21249227
- Transient down-regulation of 14-3-3 Sigma promotes maintenance of the p63-positive population without affecting normal differentiation. PMID: 21239874
- 14-3-3sigma protein likely contributes to the poor clinical outcome of human pancreatic cancers by causing resistance to radiation and anticancer drugs PMID: 21040574
- 14-3-3sigma has been cloned, purified and crystallized in complex with a phosphopeptide from the YAP 14-3-3-binding domain, which led to a crystal that diffracted to 1.15 A resolution. PMID: 20823509
- up-regulation of 14-3-3 sigma protein is associated with scirrhous-type gastric carcinoma. PMID: 21115893
- low expression of 14-3-3sigma appears to be a valuable marker for better survival in patient with undifferentiated nasopharyngeal carcinoma PMID: 20811675
- 14-3-3 sigma promoter hypermethylation can contribute to reducing or losing expression of this protein which plays an important role in the development of sporadic breast carcinomas & is involved in various types, grades, & lymphatic metastases. PMID: 19685192
- The favorable OS for MF-CCA patients depends on the absence of clinical symptoms, negative lymph node metastasis, and curative hepatectomy. PMID: 20976731
- downregulation of 14-3-3sigma protein was significantly associated with proliferation, invasion depth and lymph node metastasis of ESCC. Statistically significant correlations between expression of beta-catenin and 14-3-3sigma. PMID: 19664078
- Indicate that stratifin could be a useful indicator for prognosis of esophageal squamous cell carcinoma, as well as a potential target for more effective therapy. PMID: 20108042
- 14-3-3 eta, beta, gamma and sigma isoforms were negatively expressed in meningioma PMID: 20388496
- The relationship of 14-3-3-sigma with breast cancer metastasis and progression found in this study suggests a possible application of 14-3-3-sigma as a biomarker to screen for metastasis and treatment response. PMID: 20487521
- The abnormal expression of 14-3-3 sigma and HSP27 is significantly associated with lymph node metastasis in colorectal cancer. PMID: 20336542
顯示更多
收起更多
-
亞細胞定位:Cytoplasm. Nucleus. Secreted. Note=May be secreted by a non-classical secretory pathway.
-
蛋白家族:14-3-3 family
-
組織特異性:Present mainly in tissues enriched in stratified squamous keratinizing epithelium.
-
數據庫鏈接:
Most popular with customers
-
YWHAB Recombinant Monoclonal Antibody
Applications: ELISA, WB, IHC, IF, FC
Species Reactivity: Human, Mouse, Rat
-
Phospho-YAP1 (S127) Recombinant Monoclonal Antibody
Applications: ELISA, WB, IHC
Species Reactivity: Human
-
-
-
-
-
-















