SF3B1 Antibody
-
中文名稱:SF3B1兔多克隆抗體
-
貨號:CSB-PA021125LA01HU
-
規格:¥440
-
圖片:
-
Western Blot
Positive WB detected in: Hela whole cell lysate, K562 whole cell lysate, HepG2 whole cell lysate
All lanes: SF3B1 antibody at 9.8µg/ml
Secondary
Goat polyclonal to rabbit IgG at 1/50000 dilution
Predicted band size: 146, 17 kDa
Observed band size: 146 kDa -
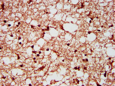
IHC image of CSB-PA021125LA01HU diluted at 1:200 and staining in paraffin-embedded human glioma performed on a Leica BondTM system. After dewaxing and hydration, antigen retrieval was mediated by high pressure in a citrate buffer (pH 6.0). Section was blocked with 10% normal goat serum 30min at RT. Then primary antibody (1% BSA) was incubated at 4°C overnight. The primary is detected by a biotinylated secondary antibody and visualized using an HRP conjugated SP system.
-
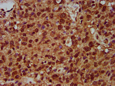
IHC image of CSB-PA021125LA01HU diluted at 1:200 and staining in paraffin-embedded human brain tissue performed on a Leica BondTM system. After dewaxing and hydration, antigen retrieval was mediated by high pressure in a citrate buffer (pH 6.0). Section was blocked with 10% normal goat serum 30min at RT. Then primary antibody (1% BSA) was incubated at 4°C overnight. The primary is detected by a biotinylated secondary antibody and visualized using an HRP conjugated SP system.
-
-
其他:
產品詳情
-
產品名稱:Rabbit anti-Homo sapiens (Human) SF3B1 Polyclonal antibody
-
Uniprot No.:
-
基因名:
-
別名:Hsh155 antibody; OTTHUMP00000205700 antibody; OTTHUMP00000205702 antibody; OTTHUMP00000225001 antibody; OTTHUMP00000225002 antibody; Pre mRNA processing 10 antibody; Pre mRNA splicing factor SF3b, 155 kDa subunit antibody; Pre-mRNA splicing factor SF3b 155 kDa subunit antibody; Pre-mRNA-splicing factor SF3b 155 kDa subunit antibody; PRP10 antibody; PRPF10 antibody; SAP 155 antibody; SAP155 antibody; sf3b1 antibody; SF3B1_HUMAN antibody; SF3b155 antibody; Spliceosome associated protein 155 antibody; Spliceosome-associated protein 155 antibody; Splicing factor 3B subunit 1 antibody; Splicing factor 3b, subunit 1, 155kDa antibody
-
宿主:Rabbit
-
反應種屬:Human
-
免疫原:Recombinant Human Splicing factor 3B subunit 1 protein (186-378AA)
-
免疫原種屬:Homo sapiens (Human)
-
標記方式:Non-conjugated
本頁面中的產品,SF3B1 Antibody (CSB-PA021125LA01HU),的標記方式是Non-conjugated。對于SF3B1 Antibody,我們還提供其他標記。見下表:
-
克隆類型:Polyclonal
-
抗體亞型:IgG
-
純化方式:>95%, Protein G purified
-
濃度:It differs from different batches. Please contact us to confirm it.
-
保存緩沖液:Preservative: 0.03% Proclin 300
Constituents: 50% Glycerol, 0.01M PBS, pH 7.4 -
產品提供形式:Liquid
-
應用范圍:ELISA, WB, IHC
-
推薦稀釋比:
Application Recommended Dilution WB 1:500-1:5000 IHC 1:200-1:500 -
Protocols:
-
儲存條件:Upon receipt, store at -20°C or -80°C. Avoid repeated freeze.
-
貨期:Basically, we can dispatch the products out in 1-3 working days after receiving your orders. Delivery time maybe differs from different purchasing way or location, please kindly consult your local distributors for specific delivery time.
-
用途:For Research Use Only. Not for use in diagnostic or therapeutic procedures.
相關產品
靶點詳情
-
功能:Involved in pre-mRNA splicing as a component of the splicing factor SF3B complex. SF3B complex is required for 'A' complex assembly formed by the stable binding of U2 snRNP to the branchpoint sequence (BPS) in pre-mRNA. Sequence independent binding of SF3A/SF3B complex upstream of the branch site is essential, it may anchor U2 snRNP to the pre-mRNA. Together with other U2 snRNP complex components may also play a role in the selective processing of microRNAs (miRNAs) from the long primary miRNA transcript, pri-miR-17-92. May also be involved in the assembly of the 'E' complex. Belongs also to the minor U12-dependent spliceosome, which is involved in the splicing of rare class of nuclear pre-mRNA intron.
-
基因功能參考文獻:
- Small but widespread reduction of intron-retaining isoforms is the most frequent splicing alteration in bone marrow samples from myelodysplasia patients. PMID: 30194306
- PHF5A-SF3B1 forms a central node for binding to splicing modulators PMID: 28541300
- SF3B1 Mutation is associated with Myelodysplastic Syndrome. PMID: 30049194
- Prognostic interaction between bone marrow morphology and SF3B1 and ASXL1 mutations in myelodysplastic syndromes with ring sideroblasts. PMID: 29434284
- SF3B1 mutations were also associated with del(11q), which is prognostically different from inv(3)(q21q26.2) PMID: 29249799
- Results find that SF3B1 retained intron 4 (i4) harbors cryptic exons that are highly conserved and decoy exon E4e can promote intron retention at heterologous sites. PMID: 29959282
- Integrated ERK1/ERK2 response to B-cell receptor stimulation and SF3B1 gene mutations refine prognosis in chronic lymphocytic leukemia. PMID: 27927769
- could confirm the very good prognosis of MDS patients with del(11q) as described in the IPSS-R and identified a very high frequency of SF3B1 mutations, a relatively low ASXL1 and TP53 mutation frequency, as well as a lack of EZH2 mutations as possible molecular reason for this favorable outcome PMID: 28592886
- SF3B1R625C/H mutations were enriched in non-uveal melanoma compared to other "hotspot" mutations. SF3B1K700E mutations predominated in breast carcinoma (8/11 samples, 73%), similar to myelodysplastic syndrome and chronic lymphocytic leukemia. PMID: 27089234
- In this report we show that patients with uveal melanoma harbor mutation-specific chromosomal patterns in the tumor. These chromosomal patterns are characterized by different types of chromosomal anomalies, thus illustrating that distinct biological mechanisms underlie uveal melanoma pathogenesis. PMID: 27916271
- Our findings suggest that the genetic profile of coexistent GNAQ or GNA11 mutations with BAP1 or SF3B1 mutations can aid the histopathological diagnosis of blue nevus-like melanoma and distinguish blue nevus-like melanoma from conventional epidermal-derived melanomas. PMID: 28409567
- Mutation in SF3B1 gene is associated with mucosal melanoma. PMID: 28296713
- These data provide a catalog of copy-number associated gene dependencies and identify partial copy-loss of wild-type SF3B1 as a novel, non-driver cancer gene dependency. PMID: 28177281
- although blocking the function of SF3b elicits a massive accumulation of unspliced pre-mRNAs in the nucleus, intron-containing transcripts can still bind the ALYREF export factor and be transported to the cytoplasm, where they trigger an alternative nonsense-mediated decay pathway. PMID: 28302904
- this study shows that DNMT3A mutations are present in a significant proportion of SF3B1mut patients with RARS and its presence has a clearly negative impact on outcomes, determining a higher RBC transfusion dependency, higher risk of progression to AML, and lower OS. PMID: 27771989
- Somatic SF3B1 mutations are associated with metastatic NUT midline carcinoma. PMID: 28967088
- Fanconi anemia FANCD2 and FANCI proteins regulate the nuclear dynamics of splicing factors, such as SF3B1. PMID: 29030393
- The frequently mutated SF3B1 residues contact the pre-mRNA splice site. Based on structural homology with other spliceosome subunits, and recent findings of altered RNA binding by mutant U2AF1 proteins, we suggest that affected U2AF1 residues also contact pre-mRNA. PMID: 28372848
- The aberrantly spliced target genes and deregulated cellular pathways associated with the commonly mutated splicing factor genes in myelodysplastic syndromes (SF3B1, SRSF2 and U2AF1) are being identified, illuminating the molecular mechanisms underlying the disease. (Review) PMID: 27639445
- These findings provide evidence of a multipotent lymphomyeloid Hematopoietic stem cell origin of SF3B1 mutations in myelodysplastic syndrome with ring sideroblasts patients. PMID: 28634182
- Mutation in SF3B1 gene is associated with Uveal Melanoma. PMID: 28810145
- Mutation in SF3B1 is associated with myelodysplastic syndrome and chronic lymphocytic leukemia. PMID: 27524419
- different HSH155 alleles elicit disparate effects on splicing: some increase the fidelity of BS selection while others decrease fidelity. Our data support a model wherein conformational changes in SF3b1 promote U2 association with the BS independently of the action of the DEAD-box ATPase Prp5. We propose that SF3b1 functions to stabilize weak U2/BS duplexes to drive spliceosome assembly and splicing PMID: 28062854
- mutations of SF3B1 may block erythropoiesis via dysregulation of alternative RNA splicing of transcription factor TAL1 PMID: 28545085
- Molecular architecture of SF3b and structural consequences of its cancer-related mutations have been described. PMID: 27720643
- Inhibition of SF3B1 with moderate levels of Pladienolide B, a previously established small molecule inhibitor of SF3B1, affects the transcriptional activation of HSF1, the transcription factor that mediates the heat shock response. PMID: 28445500
- Our findings demonstrate that, despite significant differences in affected transcripts, there is overlap in the phenotypes associated with SF3B1-K700E between human and mouse. PMID: 27604819
- Sf3b1(K700E). Sf3b1(K700E) mice develop macrocytic anemia due to a terminal erythroid maturation defect, erythroid dysplasia, and long-term hematopoietic stem cell (LT-HSC) expansion. PMID: 27622333
- The blood sample from a patient with lung cancer with a known SF3B1 V701F mutation was also analyzed and this mutation was successfully identified in ptDNA. However, 1 of the patients with a K700E mutation was found to have a mutational burden of 98%. PMID: 28615231
- data support a model in which cycloheximide -induced downregulation of the iron exporter ABCB7 mRNA transcript resulting from aberrant splicing caused by mutant SF3B1 underlies the increased mitochondrial iron accumulation found in MDS patients with ring sideroblasts PMID: 27211273
- recent insights into the molecular mechanisms of mis-splicing caused by mutant SF3B1 and the pathogenesis of RSs in the context of congenital sideroblastic anemia as well as anemia with ringed sideroblasts with SF3B1 mutations. PMID: 28466384
- Patients with uveal melanoma can be classified into 3 groups, of which EIF1AX-mutated tumors and tumors without BAP1, SF3B1, or EIF1AX mutations are associated with prolonged survival and low metastatic risk, SF3B1-mutated tumors are associated with late metastasis PMID: 26923342
- Results show that SF3B1 mutation was found to dysregulate multiple cellular functions in CLL including DNA damage response, telomere maintenance, and Notch signaling through splicing alterations. PMID: 27818134
- BAP1, SF3B1, and EIF1AX mutations occur during uveal melanoma tumor progression in an almost mutually exclusive manner and are associated with different levels of metastatic risk. PMID: 27123562
- Mutations in ASXL1, U2AF1, and SF3B1 are common in Chinese patients with myelodysplastic syndromes. PMID: 26508027
- The clinical impact of small subclones harboring NOTCH1, SF3B1, or BIRC3 mutations in chronic lymphocytic leukemia patients appears to be less pronounced than that of small TP53 mutated subclones. PMID: 26819056
- No relationship was observed between IGHV mutational status and SF3B1 mutationfa PMID: 26588928
- The genotype frequencies of SF3B1 SNP rs788018 were TT 13.2%, TC 39.6%, and CC 47.2% in Childhood AML patients. PMID: 25553291
- The finding of this study showed that an SF3B1 or EIF1AX mutation is present in a substantial subset of primary LMNs underscores that these tumors genetically resemble uveal melanoma and are different from cutaneous melanoma at the genetic level. PMID: 26769193
- SF3B1-mutated myelodysplastic syndrome with ring sideroblasts harbors more severe iron overload and corresponding over-erythropoiesis. PMID: 26970172
- studies reveal new mechanistic insight into SF3B1 as a principal player in the spliceosome and as a target of inhibitor compounds PMID: 26742993
- SF3B1 - novel candidate genes validated in a large case-control sample of schizophrenia. PMID: 26460480
- In uveal melanoma, the SF3B1(R625/K666) mutation results in deregulated splicing at a subset of junctions, mostly by the use of alternative 3'ss. PMID: 26842708
- Data show that tet methylcytosine dioxygenase 2 TET2, isocitrate dehydrogenases 1/2 IDH1/IDH2, serine/arginine-rich splicing factor 2 SRSF2, splicing factor 3b subunit 1 SF3B1, and ras proteins (KRAS/NRAS) are not conserved in dog mast Cell tumors. PMID: 26562302
- SF3B1 mutations can propagate from hematopoietic stem cells to myeloid progeny causing myelodysplastic syndromes. PMID: 26643973
- Data suggest SF3B1 mutations as a biomarker that can aid in the diagnosis of patients with sideroblastic anemia (SA), allowing for the differentiation between clonal and non-clonal cases of SA. PMID: 25330446
- SF3B1 is associated with nucleosomes positioned over exons. SF3B1 binding of nucleosomes facilitates the splicing recognition of exons. PMID: 25892229
- Studying transcriptome sequencing data from chronic lymphocytic leukemia, breast cancer and uveal melanoma tumor samples, we show that hundreds of cryptic 3' splice sites (3'SSs) are used in cancers with SF3B1 mutations. PMID: 25768983
- SF3B1 mutation identifies a distinct Myelodysplastic syndrome subtype that is unlikely to develop detrimental subclonal mutations and is characterized by indolent clinical course and favorable outcome. PMID: 25957392
- single mutations in SF3B1 are associated with increased DNA damage and/or an aberrant response to DNA damage PMID: 25371178
顯示更多
收起更多
-
亞細胞定位:Nucleus. Nucleus speckle. Note=During mitosis, transiently dispersed from the nuclear speckles to the cytoplasm.
-
蛋白家族:SF3B1 family
-
數據庫鏈接:
Most popular with customers
-
-
YWHAB Recombinant Monoclonal Antibody
Applications: ELISA, WB, IHC, IF, FC
Species Reactivity: Human, Mouse, Rat
-
Phospho-YAP1 (S127) Recombinant Monoclonal Antibody
Applications: ELISA, WB, IHC
Species Reactivity: Human
-
-
-
-
-















