SERPINF1 Antibody
-
中文名稱:SERPINF1兔多克隆抗體
-
貨號:CSB-PA021084LA01HU
-
規格:¥440
-
圖片:
-
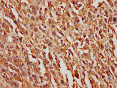
IHC image of CSB-PA021084LA01HU diluted at 1:100 and staining in paraffin-embedded human melanoma cancer performed on a Leica BondTM system. After dewaxing and hydration, antigen retrieval was mediated by high pressure in a citrate buffer (pH 6.0). Section was blocked with 10% normal goat serum 30min at RT. Then primary antibody (1% BSA) was incubated at 4°C overnight. The primary is detected by a biotinylated secondary antibody and visualized using an HRP conjugated SP system.
-
-
其他:
產品詳情
-
產品名稱:Rabbit anti-Homo sapiens (Human) SERPINF1 Polyclonal antibody
-
Uniprot No.:
-
基因名:
-
別名:Cell proliferation-inducing gene 35 protein antibody; EPC 1 antibody; EPC-1 antibody; EPC1 antibody; OI12 antibody; OI6 antibody; PEDF antibody; PEDF_HUMAN antibody; PIG 35 antibody; PIG35 antibody; Pigment epithelium derived factor antibody; Pigment epithelium-derived factor antibody; Proliferation inducing protein 35 antibody; Serine (or cysteine) proteinase inhibitor antibody; serine (or cysteine) proteinase inhibitor, clade F (alpha-2 antiplasmin, pigment epithelium derived factor), member 1 antibody; Serpin F1 antibody; Serpin family F member 1 antibody; Serpin peptidase inhibitor antibody; Serpin peptidase inhibitor clade F member 1 antibody; serpin peptidase inhibitor, clade F (alpha-2 antiplasmin, pigment epithelium derived factor), member 1 antibody; SERPINF 1 antibody; Serpinf1 antibody
-
宿主:Rabbit
-
反應種屬:Human
-
免疫原:Recombinant Human Pigment epithelium-derived factor protein (128-418AA)
-
免疫原種屬:Homo sapiens (Human)
-
標記方式:Non-conjugated
本頁面中的產品,SERPINF1 Antibody (CSB-PA021084LA01HU),的標記方式是Non-conjugated。對于SERPINF1 Antibody,我們還提供其他標記。見下表:
-
克隆類型:Polyclonal
-
抗體亞型:IgG
-
純化方式:Antigen Affinity Purified
-
濃度:It differs from different batches. Please contact us to confirm it.
-
保存緩沖液:Preservative: 0.03% Proclin 300
Constituents: 50% Glycerol, 0.01M PBS, pH 7.4 -
產品提供形式:Liquid
-
應用范圍:ELISA, IHC
-
推薦稀釋比:
Application Recommended Dilution IHC 1:20-1:200 -
Protocols:
-
儲存條件:Upon receipt, store at -20°C or -80°C. Avoid repeated freeze.
-
貨期:Basically, we can dispatch the products out in 1-3 working days after receiving your orders. Delivery time maybe differs from different purchasing way or location, please kindly consult your local distributors for specific delivery time.
-
用途:For Research Use Only. Not for use in diagnostic or therapeutic procedures.
相關產品
靶點詳情
-
功能:Neurotrophic protein; induces extensive neuronal differentiation in retinoblastoma cells. Potent inhibitor of angiogenesis. As it does not undergo the S (stressed) to R (relaxed) conformational transition characteristic of active serpins, it exhibits no serine protease inhibitory activity.
-
基因功能參考文獻:
- Findings confirm that both M1- and M2-like macrophages are essential for retinal neovascularization and uncover a vital protective role of PEDF against retinal neovascularization by regulating macrophage recruitment and polarization. PMID: 28211523
- results suggest that PEDF act as a multipotent factor in the skin and the imbalance of PEDF and VEGF may be responsible for the transformation from normal skin to psoriasis. PMID: 29579411
- expression unaltered in preterm prelabor rupture of the membranes (pRPOM) or after exposure to risk factors of pPROM PMID: 28562170
- Data found novel mutations of the SERPINF1 and FKBP10 genes in Chinese families with autosomal recessive osteogenesis imperfecta PMID: 29512769
- Study showed that plasma PEDF levels were significantly lower in CAD patients than in controls. PMID: 29574467
- The T-C haplotype frequency of rs1136287-rs1894286 in PEDF were significantly correlated to the increased susceptibility to age-related macular degeneration(AMD). The rs1136287 polymorphism in PEDF may be related to the occurrence risk of AMD. Additionally, a haplotype is also a non-ignorable risk factor. PMID: 30142832
- this study is the first to demonstrate that PEDF promotes HUCMSC proliferation and protects them from apoptosis by reducing p53 expression in the serum-free medium. This study provides crucial information for clinical-scale expansion of human umbilical cord mesenchymal stem cells . PMID: 29244789
- Results show that the levels of miR-9, PEDF and VEGF are increased with diabetic nephropathy (DN) progression. miR-9, VEGF and PEDF are independent risk factors of DN. PMID: 28667418
- Results suggested that the pigment epithelium-derived factor (PEDF)/vascular endothelial growth factor (VEGF) ratio played a pivotal role in the spontaneous regression of infantile hemangioma (IH). PMID: 29664206
- In this study, folate receptor alpha (FRa)-targeted nano-liposomes (FLP) were designed to enhance the anti-tumor effect by targeting delivery of exogenous PEDF gene to cervical cancer cells..These results clearly showed that FLP were desired carriers for PEDF gene and FLP/PEDF might represent a potential novel strategy for gene therapy of cervical cancer. PMID: 27576898
- Plasma PEDF and RBP4 identified Insulin resistance in subjects with no prior diagnosis of diabetes. PMID: 28648555
- results demonstrate a novel functional role of PEDF/LR axis in driving metastasis through ERK1/2-mediated EMT in hepatocellular carcinoma (HCC) and provided a promising prognostic marker in HCC. PMID: 28771223
- PN-1 and PEDF share structural and functional features, and expression patterns in the retina. PMID: 28706437
- by inhibiting the phosphorylation of VEGFR2, the P18 peptide ( functional fragment of pigment epithelial-derived factor (PEDF)modulates signalling transduction between VEGF/VEGFR2 and suppresses activation of the PI3K/Akt cascades, leading to an increase in mitochondrial-mediated apoptosis and anti-angiogenic activity. PMID: 28627623
- Using AFM to image where exogenous hPEDF bound in rabbit femur, findings demonstrate that PEDF binds heterogeneously in cortical rabbit femur. Exogenous PEDF binding was concentrated at areas between microstructures with highly aligned collagen fibrils. Binding was not observed on or within the collagen fibrils themselves. PMID: 28602715
- PEDF was acutely regulated by a glucose load and was correlated with BMI but not with diabetes. PMID: 28399539
- The findings indicate that PEDF functions as a tumor-suppressor gene in the occurrence of epithelial-mesenchymal transition and metastasis in nasopharyngeal carcinoma. PMID: 28569772
- the T allele of rs8075977 in the 5'-flanking region of the PEDF gene may be protective for Coronary Artery Disease PMID: 28420811
- PEDF exacerbates cartilage degeneration in an age-dependent manner under inflammatory conditions. PMID: 28122611
- the trophoblast-derived anti-angiogenic molecule PEDF is involved in restricting growth and expansion of the feto-placental endothelium predominantly in late pregnancy and targets to modulate the intracellular effect of VEGF PMID: 27278471
- Mutations in SERPINF1 result in osteogenesis imperfecta Type VI PMID: 27796462
- Expression of GLUT1 is stimulated by hyperglycemia and low oxygen supply, and this overexpression was associated with increased activity of GLUT1 in the cell membrane that contributes to the impairment of the RPE secretory function of PEDF. PMID: 27440994
- Serum levels of PEDF were significantly correlated with body mass index, vasodilation and brachial artery intima-media thickness. PMID: 27716557
- PEDF expression in retinal endothelial cells plays a key role in modulation of cell proliferation, migration, and capillary morphogenesis. PMID: 28747334
- study found that PEDF binds to the C1q head regions and activates the classical complement pathway; in addition, observed that in synovial fluid (SF) from rheumatoid arthritis patients, PEDF forms detectable complexes with C4d, which are present in a range of concentrations; SF from nonarthritic donors consistently contained little or no C4d-PEDF complexes PMID: 28637898
- PEDF is a hormone-regulated negative autocrine mediator of endometrial proliferation. PMID: 28911166
- Findings suggest that PEDF plays a critical role in preventing hypoxia/reoxygenation injury by modulating anti-oxidant and anti-apoptotic factors and promoting autophagy. PMID: 27219009
- PEDF is associated with increased epithelial-mesenchymal transition in bladder cancer PMID: 27644257
- Six rare heterozygous SERPINF1 variants were found in seven patients in our familial otosclerosis cohort; three are missense mutations predicted to be deleterious to protein function PMID: 27056980
- Excessive amount of PEDF50 in myopic specimens have been shown to correlate with the abrogated PEDF processing rather than with an increase of its expression. Moreover, immunohistochemical staining of the myopic Tenon's capsule tissue sections revealed the halo of deposited PEDF50 in the fibroblast extracellular space. PMID: 27590659
- Wnt/beta-catenin pathway may mediate ox-LDL-induced endothelial injury via oxidative stress, and PEDF ameliorates endothelial injury by suppressing Wnt/beta-catenin pathway and subsequently reducing oxidative stress. PMID: 28173817
- Furthermore, pigment epithelium-derived factor (PEDF), a secreted glycoprotein known for its anti-tumor properties, blocked Wnt3a-directed induction of autophagy proteins. Autophagy inhibition was complemented by reciprocal regulation of the oxidative stress enzymes, superoxide dismutase 2 (SOD2) and catalase. PMID: 27557659
- The results indicated that the reduction of VEGF and increase in PEDF are causative to the evolution of infantile hemangioma. PEDF may play a key role in the spontaneous regression of infantile hemangioma and may become an important potential therapeutic agent for infantile hemangioma. PMID: 28197761
- results demonstrate that PEDF maintains tumor-suppressive functions in fibroblasts to prevent CAF conversion and illustrate the mechanisms by which melanoma cells silence stromal PEDF to promote malignancy PMID: 26921338
- The changes in the SERPINH1 and SERPINF1 genes in patients with osteogenesis imperfect were synonymous polymorphisms or missense changes located in non-coding regions. PMID: 27706701
- The present data provided evidence that reducing C3 activation can decreases VEGF and increase PEDF mRNA level in retinal pigment epithelial cells. PMID: 27747237
- PEDF represents a marker for transient cartilage during all neonatal and postnatal developmental stages and promotes the termination of cartilage tissue by upregulation of matrix-degrading factors and downregulation of cartilage-specific genes. PMID: 28191465
- we report on two apparently unrelated children with OI type VI who had the same unusual homozygous variant in intron 6 of SERPINF1 PMID: 26815784
- We confirmed that expression of SERPINF1 in the liver restored the serum level of PEDF. We also demonstrated that PEDF secreted from the liver was biologically active by showing the expected metabolic effects of increased adiposity and impaired glucose tolerance in Serpinf1(-/-) mice. PMID: 26693895
- Study demonstrated the inhibitory effect of PEDF on insulin-dependent molecular mechanisms of glucose homeostasis, and suggests that PEDF could be a specific target in the management of metabolic disorders. PMID: 26700654
- Study discuss the anti-tumor activities of PEDF and focus on its dual role as an inhibitor (e.g., angiogenesis) and as an inducer of various vital biological processes that lead to the therapeutic effect via different mechanisms of action. [review] PMID: 26746675
- hCG-induced PEDF downregulation and VEGF upregulation are mediated by similar signaling cascades emphasizes the delicate regulation of ovarian angiogenesis. PMID: 26612427
- We demonstrate that rPEDF may serve as a useful intervention to alleviate the risk of tamoxifen-induced endometrial pathologies PMID: 26450919
- We showed that transplantation of pigment epithelial cells overexpressing PEDF can restore a permissive subretinal environment for RPE and photoreceptor maintenance, while inhibiting choroidal blood vessel growth. PMID: 26697494
- plasma PEDF similar in type 2 diabetes mellitus and obese groups of children PMID: 25293868
- We conclude that under OGD condition, PEDF and 44mer reduce H9c2 cells apoptosis and inhibit OGD-induced oxidative stress via its receptor PEDF-R and the PPARgamma signaling pathway. PMID: 26966066
- Thus PEDF could be involved in the establishment of the avascular nature of seminiferous tubules and after puberty androgens may further reinforce this feature. PMID: 26333415
- PEDF binds VEGFR-1 and VEGFR-2 in vascular endothelial cells. PMID: 25948043
- Studies indicate that pigment epithelium-derived factor (PEDF) is a natural protein of the retina . PMID: 26427478
- PEDF sustained glioma stem cell self-renewal by Notch1 cleavage. PMID: 25992628
顯示更多
收起更多
-
相關疾?。?/div>Osteogenesis imperfecta 6 (OI6)亞細胞定位:Secreted. Melanosome. Note=Enriched in stage I melanosomes.蛋白家族:Serpin family組織特異性:Retinal pigment epithelial cells and blood plasma.數據庫鏈接:
Most popular with customers
-
-
YWHAB Recombinant Monoclonal Antibody
Applications: ELISA, WB, IHC, IF, FC
Species Reactivity: Human, Mouse, Rat
-
-
-
-
-
-















