SERPINB6 Antibody
-
中文名稱:SERPINB6兔多克隆抗體
-
貨號:CSB-PA021074ESR1HU
-
規格:¥440
-
圖片:
-
Western blot
All lanes: SERPINB6 antibody at 0.95 μg/ml
Lane 1: Human placenta tissue
Lane 2: HepG2 whole cell lysate
Secondary
Goat polyclonal to rabbit IgG at 1/10000 dilution
Predicted band size: 43 kDa
Observed band size: 43, 36 kDa -
Immunohistochemistry of paraffin-embedded human skeletal muscle tissue using CSB-PA021074ESR1HU at dilution of 1:100
-
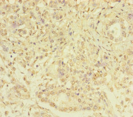
Immunohistochemistry of paraffin-embedded human pancreatic cancer using CSB-PA021074ESR1HU at dilution of 1:100
-
-
其他:
產品詳情
-
產品名稱:Rabbit anti-Homo sapiens (Human) SERPINB6 Polyclonal antibody
-
Uniprot No.:
-
基因名:SERPINB6
-
別名:CAP antibody; Cytoplasmic antiproteinase antibody; Peptidase inhibitor 6 antibody; PI-6 antibody; PI6 antibody; Placental thrombin inhibitor antibody; Protease inhibitor 6 (placental thrombin inhibitor) antibody; PTI antibody; Serpin B6 antibody; SERPINB6 antibody; SPB6_HUMAN antibody
-
宿主:Rabbit
-
反應種屬:Human
-
免疫原:Recombinant Human Serpin B6 protein (180-300AA)
-
免疫原種屬:Homo sapiens (Human)
-
標記方式:Non-conjugated
-
克隆類型:Polyclonal
-
抗體亞型:IgG
-
純化方式:Antigen Affinity Purified
-
濃度:It differs from different batches. Please contact us to confirm it.
-
保存緩沖液:PBS with 0.02% sodium azide, 50% glycerol, pH7.3.
-
產品提供形式:Liquid
-
應用范圍:ELISA, WB, IHC
-
推薦稀釋比:
Application Recommended Dilution WB 1:1000-1:5000 IHC 1:20-1:200 -
Protocols:
-
儲存條件:Upon receipt, store at -20°C or -80°C. Avoid repeated freeze.
-
貨期:Basically, we can dispatch the products out in 1-3 working days after receiving your orders. Delivery time maybe differs from different purchasing way or location, please kindly consult your local distributors for specific delivery time.
-
用途:For Research Use Only. Not for use in diagnostic or therapeutic procedures.
相關產品
靶點詳情
-
功能:May be involved in the regulation of serine proteinases present in the brain or extravasated from the blood. Inhibitor of cathepsin G, kallikrein-8 and thrombin. May play an important role in the inner ear in the protection against leakage of lysosomal content during stress and loss of this protection results in cell death and sensorineural hearing loss.
-
基因功能參考文獻:
- A truncating mutation in SERPINB6 is associated with autosomal-recessive nonsyndromic sensorineural hearing loss. PMID: 20451170
- In mast cells, SERPINB6 serves to regulate the activity of endogenous beta-tryptase in the cytoplasm. PMID: 14670919
- Expressed in developing gonads and in both somatic and germ cells of adult gonads. PMID: 16175637
- Protects the intracellular compartment of keratinocytes from ectopic kallikrein-8. PMID: 17761692
- the discovery overexpression of GPD1 and RRBP1 proteins and lack of expression for HNRNPH1 and SERPINB6 proteins which are new candidate biomarkers of colon cancer. PMID: 19425502
顯示更多
收起更多
-
相關疾病:Deafness, autosomal recessive, 91 (DFNB91)
-
亞細胞定位:Cytoplasm.
-
蛋白家族:Serpin family, Ov-serpin subfamily
-
組織特異性:Expressed in keratinocytes (at protein level). Highest levels in skeletal muscle. Also found in placenta, cardiac muscle, lung, liver, kidney and pancreas. Expressed in the inner ear hair cells. Expressed abundantly by normal mast cells in different tissu
-
數據庫鏈接:
Most popular with customers
-
-
YWHAB Recombinant Monoclonal Antibody
Applications: ELISA, WB, IHC, IF, FC
Species Reactivity: Human, Mouse, Rat
-
Phospho-YAP1 (S127) Recombinant Monoclonal Antibody
Applications: ELISA, WB, IHC
Species Reactivity: Human
-
-
-
-
-















