SERPINB4 Antibody
-
中文名稱:SERPINB4兔多克隆抗體
-
貨號:CSB-PA021072LA01HU
-
規格:¥440
-
圖片:
-
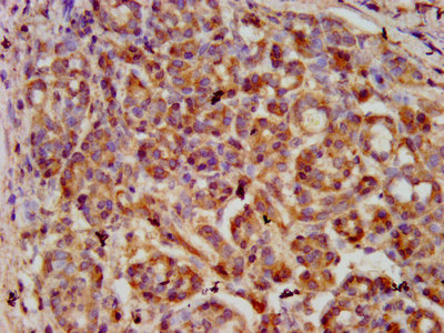
IHC image of CSB-PA021072LA01HU diluted at 1:600 and staining in paraffin-embedded human pancreatic cancer performed on a Leica BondTM system. After dewaxing and hydration, antigen retrieval was mediated by high pressure in a citrate buffer (pH 6.0). Section was blocked with 10% normal goat serum 30min at RT. Then primary antibody (1% BSA) was incubated at 4°C overnight. The primary is detected by a biotinylated secondary antibody and visualized using an HRP conjugated SP system.
-
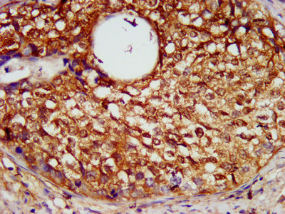
IHC image of CSB-PA021072LA01HU diluted at 1:600 and staining in paraffin-embedded human cervical cancer performed on a Leica BondTM system. After dewaxing and hydration, antigen retrieval was mediated by high pressure in a citrate buffer (pH 6.0). Section was blocked with 10% normal goat serum 30min at RT. Then primary antibody (1% BSA) was incubated at 4°C overnight. The primary is detected by a biotinylated secondary antibody and visualized using an HRP conjugated SP system.
-
Immunofluorescence staining of HepG2 cells with CSB-PA021072LA01HU at 1:200, counter-stained with DAPI. The cells were fixed in 4% formaldehyde, permeabilized using 0.2% Triton X-100 and blocked in 10% normal Goat Serum. The cells were then incubated with the antibody overnight at 4°C. The secondary antibody was Alexa Fluor 488-congugated AffiniPure Goat Anti-Rabbit IgG(H+L).
-
-
其他:
產品詳情
-
產品名稱:Rabbit anti-Homo sapiens (Human) SERPINB4 Polyclonal antibody
-
Uniprot No.:
-
基因名:SERPINB4
-
別名:Leupin antibody; Peptidase inhibitor 11 antibody; PI 11 antibody; PI-11 antibody; PI11 antibody; Protease inhibitor (leucine serpin) antibody; SCCA 2 antibody; SCCA-2 antibody; SCCA1 antibody; SCCA2 antibody; SCCA2/SCCA1 fusion protein antibody; Serine (or cysteine) proteinase inhibitor; clade B (ovalbumin); member 4 antibody; Serpin B4 antibody; Serpin peptidase inhibitor; clade B (ovalbumin); member 4 antibody; SERPINB 4 antibody; SERPINB4 antibody; SPB4_HUMAN antibody; Squamous cell carcinoma antigen 1 antibody; Squamous cell carcinoma antigen 2 antibody
-
宿主:Rabbit
-
反應種屬:Human
-
免疫原:Recombinant Human Serpin B4 protein (128-208AA)
-
免疫原種屬:Homo sapiens (Human)
-
標記方式:Non-conjugated
本頁面中的產品,SERPINB4 Antibody (CSB-PA021072LA01HU),的標記方式是Non-conjugated。對于SERPINB4 Antibody,我們還提供其他標記。見下表:
-
克隆類型:Polyclonal
-
抗體亞型:IgG
-
純化方式:>95%, Protein G purified
-
濃度:It differs from different batches. Please contact us to confirm it.
-
保存緩沖液:Preservative: 0.03% Proclin 300
Constituents: 50% Glycerol, 0.01M PBS, pH 7.4 -
產品提供形式:Liquid
-
應用范圍:ELISA, IHC, IF
-
推薦稀釋比:
Application Recommended Dilution IHC 1:500-1:1000 IF 1:200-1:500 -
Protocols:
-
儲存條件:Upon receipt, store at -20°C or -80°C. Avoid repeated freeze.
-
貨期:Basically, we can dispatch the products out in 1-3 working days after receiving your orders. Delivery time maybe differs from different purchasing way or location, please kindly consult your local distributors for specific delivery time.
-
用途:For Research Use Only. Not for use in diagnostic or therapeutic procedures.
相關產品
靶點詳情
-
功能:May act as a protease inhibitor to modulate the host immune response against tumor cells.
-
基因功能參考文獻:
- The combination of SCCA-IgM with common clinical data shows promising diagnostic performance for the detection of Non-alcoholic steato-hepatitis in hepatitis C virus patients PMID: 29712495
- Both periostin and SCCA may play a role in the pathogenesis of acute bronchitis due to respiratory syncytial virus PMID: 29122495
- Serum SCCA2 levels reflected disease severity and clinical type of atopic dermatitis. Serum SCCA2 may thus be a relevant biomarker for atopic dermatitis. PMID: 28734739
- Data show that oropharyngeal squamous cell carcinomas (OPSCCs) express granzyme inhibitors SERPINB1, SERPINB4 and SERPINB9 for cytotoxicity and the expression was not different between human papillomavirus (HPV)-positive and HPV-negative tumors. PMID: 26993499
- Pediatric CNS-PNETs evade immune recognition by downregulating cell surface MHC-I and CD1d expression. Intriguingly, expression of SERPINB9, SERPINB1, and SERPINB4 is acquired during tumorigenesis in 29%, 29%, and 57% of the tumors PMID: 26963506
- It is a promising serological marker for hepatocellular carcinoma. PMID: 24635038
- our findings established that SCCA1 contributes to tumorigenesis by promoting EMT and a UPR-dependent induction of NF-kappaB and IL6 autocrine signaling that promotes a protumorigenic inflammation. PMID: 25213322
- demonstrate the generation of Pso p27 from SCCA1 with extracts from psoriatic scale and even more remarkably, the generation of Pso p27 from SCCA1 in the presence of mast cell associated chymase PMID: 24560885
- The results show that SCCA1 has diverse effects on many of the cellular events that characterize asthma and its role extends beyond protease inhibition. PMID: 23199842
- The serum level of SCCA is effective for detecting inverted papilloma (IP), including recurrent IP. In contrast, the SCCA2/SCCA1 ratio is useful for detecting squamous cell carcinoma among other sinonasal diseases. PMID: 23168150
- High serum SCCA1 levels are associated with lymph node metastasis, advanced tumor stage and tumor recurrence in oral cavity squamous cell carcinoma. PMID: 22576068
- both HPV status and the SCCA2/SCCA1 mRNA ratio are independently associated with prognosis in HNSCC PMID: 22937809
- Serpin B4 isoform overexpression is associated with aberrant epithelial proliferation and lung cancer in idiopathic pulmonary fibrosis. PMID: 22406480
- Results indicate that cellular overexpression of SERPINB4 inhibits recombinant GrM-induced as well as NK cell-mediated cell death. PMID: 21857942
- Data suggest that SCCA1 inhibits cell death induced by lysosomal injury while, on the other hand, it sensitizes cells to ER stress by activating caspase-8 independently of the death receptor apoptotic pathway. PMID: 21576355
- Elevated serum SCCA1 is associated with squamous cell carcinoma in cervical cancer. PMID: 21338226
- Transgenic mice expressing human SCCA1 showed higher liver regenerative potential compared to wild-type mice, supporting the dual role of this serpin as an anti-apoptotic and pro-proliferative stimulus for liver cells in vivo. PMID: 19956912
- expression in various normal tissue types and in tumor cell lines, increase in expression induced by TNF-alpha, and role in protecting tumor cells against TNF-alpha induced apoptsis PMID: 12437110
- SCCA2-like serpins mediate genetic predisposition to skin cancer in a mouse model and in humans. PMID: 12702576
- SCCA2 acts as a cross-class serpin targeting an extrinsic cysteine proteinase from mites and may have a protective role against biological reactions caused by mites PMID: 14630915
- SCCA variants are overexpressed in hepatocellular carcinoma independently of tumour etiology PMID: 14970861
- SCCAs can alter invasive phenotype of cervical squamous cell carcinoma cells, probably by stimulating proMMP-9 production, and intact conformational structure of SCCAs is required for its stimulatory activity on proMMP-9 production PMID: 16211231
- Up-regulation of squamous cell carcinoma antigen-1 (SCCA1) suppresses c-Jun NH2-terminal kinase-1 (JNK1) and thus blocks UV-induced keratinocyte apoptosis. PMID: 16549498
- These results, in transgenic mice, suggest that SCAA1 might serve as an hepatitis B virus receptor or co-receptor and play an important role in mediating HBV entry into hepatocytes. PMID: 16820864
- SCCA2 regulates cell migration and invasion via E-cadherin expression, suggesting that SCCA2 may be involved in cancer behavior such as invasion or metastasis. PMID: 17016656
- SCCA2 may be involved in cancer behavior such as metastasis, and as such can be a useful marker in predicting lymph node metastasis. PMID: 18097581
- fatty acid-binding protein-5, squamous cell carcinoma antigens 2, alpha-enolase, annexin II, apolipoprotein A-I and albumin were detected at a high level in Atopic dermatitis skin lesions, but scarcely in the normal controls PMID: 19339807
顯示更多
收起更多
-
亞細胞定位:Cytoplasm. Note=Seems to also be secreted in plasma by cancerous cells but at a low level.
-
蛋白家族:Serpin family, Ov-serpin subfamily
-
組織特異性:Squamous cells.
-
數據庫鏈接:
Most popular with customers
-
-
YWHAB Recombinant Monoclonal Antibody
Applications: ELISA, WB, IHC, IF, FC
Species Reactivity: Human, Mouse, Rat
-
Phospho-YAP1 (S127) Recombinant Monoclonal Antibody
Applications: ELISA, WB, IHC
Species Reactivity: Human
-
-
-
-
-















