SERPINA6 Antibody
-
中文名稱:SERPINA6兔多克隆抗體
-
貨號:CSB-PA021062EA01HU
-
規格:¥440
-
圖片:
-
Western Blot
Positive WB detected in: U87 whole cell lysate
All lanes: SERPINA6 antibody at 2.7µg/ml
Secondary
Goat polyclonal to rabbit IgG at 1/50000 dilution
Predicted band size: 46 kDa
Observed band size: 46 kDa -
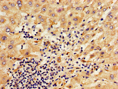
IHC image of CSB-PA021062EA01HU diluted at 1:800 and staining in paraffin-embedded human liver tissue performed on a Leica BondTM system. After dewaxing and hydration, antigen retrieval was mediated by high pressure in a citrate buffer (pH 6.0). Section was blocked with 10% normal goat serum 30min at RT. Then primary antibody (1% BSA) was incubated at 4°C overnight. The primary is detected by a biotinylated secondary antibody and visualized using an HRP conjugated SP system.
-
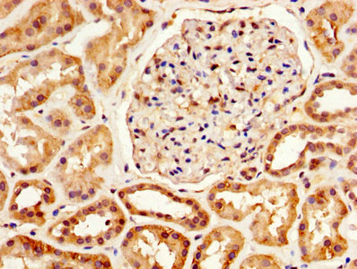
IHC image of CSB-PA021062EA01HU diluted at 1:800 and staining in paraffin-embedded human kidney tissue performed on a Leica BondTM system. After dewaxing and hydration, antigen retrieval was mediated by high pressure in a citrate buffer (pH 6.0). Section was blocked with 10% normal goat serum 30min at RT. Then primary antibody (1% BSA) was incubated at 4°C overnight. The primary is detected by a biotinylated secondary antibody and visualized using an HRP conjugated SP system.
-
Immunofluorescence staining of HepG2 cells with CSB-PA021062EA01HU at 1:266, counter-stained with DAPI. The cells were fixed in 4% formaldehyde, permeabilized using 0.2% Triton X-100 and blocked in 10% normal Goat Serum. The cells were then incubated with the antibody overnight at 4°C. The secondary antibody was Alexa Fluor 488-congugated AffiniPure Goat Anti-Rabbit IgG(H+L).
-
-
其他:
產品詳情
-
產品名稱:Rabbit anti-Homo sapiens (Human) SERPINA6 Polyclonal antibody
-
Uniprot No.:
-
基因名:SERPINA6
-
別名:CBG antibody; CBG_HUMAN antibody; corticosteroid binding globulin antibody; Corticosteroid-binding globulin antibody; serine (or cysteine) proteinase inhibitor clade A (alpha 1 antiproteinase antitrypsin) member 6 antibody; Serpin A6 antibody; serpin peptidase inhibitor clade A (alpha 1 antiproteinase antitrypsin) member 6 antibody; Serpina6 antibody; Transcortin antibody
-
宿主:Rabbit
-
反應種屬:Human
-
免疫原:Recombinant Human Corticosteroid-binding globulin protein (23-405AA)
-
免疫原種屬:Homo sapiens (Human)
-
標記方式:Non-conjugated
本頁面中的產品,SERPINA6 Antibody (CSB-PA021062EA01HU),的標記方式是Non-conjugated。對于SERPINA6 Antibody,我們還提供其他標記。見下表:
-
克隆類型:Polyclonal
-
抗體亞型:IgG
-
純化方式:>95%, Protein G purified
-
濃度:It differs from different batches. Please contact us to confirm it.
-
保存緩沖液:Preservative: 0.03% Proclin 300
Constituents: 50% Glycerol, 0.01M PBS, PH 7.4 -
產品提供形式:Liquid
-
應用范圍:ELISA, WB, IHC, IF
-
推薦稀釋比:
Application Recommended Dilution WB 1:1000-1:5000 IHC 1:500-1:1000 IF 1:200-1:500 -
Protocols:
-
儲存條件:Upon receipt, store at -20°C or -80°C. Avoid repeated freeze.
-
貨期:Basically, we can dispatch the products out in 1-3 working days after receiving your orders. Delivery time maybe differs from different purchasing way or location, please kindly consult your local distributors for specific delivery time.
-
用途:For Research Use Only. Not for use in diagnostic or therapeutic procedures.
相關產品
靶點詳情
-
功能:Major transport protein for glucocorticoids and progestins in the blood of almost all vertebrate species.
-
基因功能參考文獻:
- Data suggest that some individuals with adrenal insufficiency due to SERPINA6 mutations present with hypotension or nonspecific symptoms such as fatigue, nausea, or chronic pain, but symptomatology varies widely, even between family members with identical mutations. [REVIEW] PMID: 29194043
- In conclusion, site-specific CBG N-glycosylation regulates the bioavailability of cortisol in inflamed environments by fine-tuning the RCL proteolysis by endogenous and exogenous elastases. PMID: 27339896
- The results suggest reduced CBG cleavage in central obesity, possibly contributing to the characteristic inflammatory phenotype of the central obesity and metabolic syndrome. PMID: 27300474
- Corticosteroid-binding globulin cleavage may be pathogen-dependent in bloodstream infection PMID: 27887960
- Data indicate there was no significant circadian variation in serum cortisol-binding globulin (CBG) concentration in any of the 4 groups. PMID: 26603673
- Human cardiomyocytes express mineralocorticoid receptors, but are mostly free of nuclear glucocorticoid receptors. CBG is expressed in myocardium and in Purkinje fibers. CBG in heart is colocalized with mineralocorticoid receptor. PMID: 25251318
- SERPINA6-rs1998056 regulated by FOXA/ERalpha might be associated with female HCC risk PMID: 25198130
- genetic variation in the SERPINA6 gene may be associated with altered CBG levels during adolescence. PMID: 24691024
- the results suggest that DEX repression of Corticosteroid-binding globulin involves tethering of the glucocorticoid receptor to C/EBPb. PMID: 25335188
- 8 naturally occurring CBG mutants with abnormalities in cortisol-binding affinity, cortisol-binding capacity, production/secretion, sensitivity to proteolytic cleavage of the reactive center loop, or recognition by monoclonal antibodies used for ELISAs were identified PMID: 25322275
- The study investigate the half-life of intact and elastase cleaved CBG in the rabbit. The half-lives of intact and cleaved human CBG are 10 h and identical. PMID: 25636722
- CBG is coexpressed with hypothalamic neuropeptides.CBG may be involved in control of systemic and central stress response. PMID: 24246737
- Exome chip and 1000 Genomes imputation analysis of this locus in the CROATIA-Korcula cohort identified missense mutations in SERPINA6 and SERPINA1 that did not account for the effects of common variants PMID: 25010111
- Atomic interactions observed between progesterone and CBG explain the lower affinity of progesterone in comparison to corticosteroids. PMID: 23300763
- investigation of physicochemical, electronic, and structural requirements for selective and effective binding of steroids (many are endogenous steroid metabolites) to CBG and SHBG active/ligand-binding sites PMID: 22242800
- The influence of glucocorticoid receptor and corticosteroid-binding globulin gene polymorphisms in obesity and/or cortisol action in prepubertal obese children. PMID: 22576823
- three polymorphisms, -26 C/G, -54 C/T, and -144 G/C located close to the putative hepatic nuclear factor (HNF) 1 binding elements, altered the transactivation effect of HNF1beta PMID: 22932886
- genetic association studies in Chinese populations: Data suggest that SERPINA6 with SNP (A51V) is poorly produced/secreted; plasma corticosteroid-binding globulin levels in heterozygous subjects for this variant are 50% lower than in normal subjects. PMID: 22337907
- N-glycans are involved in the CBG:receptor interaction and indicates that the modulation is performed by steric and/or electrostatic means through the terminal neuraminic acid residues. PMID: 21558494
- We found that polymorphisms in SLC6A4, TPH2, and SERPINA6 appear to be maternal factors increasing the risk of having a child with facial clefts. PMID: 22072571
- Data show thatin chronic hepatitis C patients, IL28B polymorphism was associated with serum levels of corticosteroid binding globulin, a major transporter of cortisol. PMID: 21750736
- CBG influences the endocrine and neurobehavioral response to stress, including the development of pain/fatigue syndromes PMID: 21795453
- Allosteric modulation of hormone release from thyroxine and corticosteroid-binding globulins. PMID: 21325280
- Plasma cortisol responses attenuated more rapidly in the able-bodied men, compared to spinal cord-injured subjects, due to significant rise in circulating corticosteroid-binding globulin. PMID: 20839151
- SHBG, CBG and total cortisol and free plasma cortisol were measured and to investigate whether or not these analytes correlated with the degree of insulin resistance and the presence of the metabolic syndrome. PMID: 20354921
- Effect of mutations of SERPINA6 on cortisol-binding, and thermal and protease sensitivity are reported. PMID: 20226861
- findings support the hypothesis that the corticosteroid binding globulin level is an interesting indicator for both insulin resistance and low grade inflammation PMID: 12364459
- CBG-negative preadipocytes proliferated more rapidly and showed greater peroxisome proliferator-activated receptor-gamma-mediated differentiation than normal preadipocytes. CBG was not expressed in normal human preadipocytes. PMID: 12554596
- human Fallopian tube cells actively express and secrete a CBG-like progesterone-binding protein, which might play a role in the in vivo modulation of human sperm acrosome reaction PMID: 14871264
- Homozygosity for the serine allele of the CBG gene may predispose to chronic fatigue syndrome, perhaps due to an effect on hypothalamic-pituitary-adrenal axis function related to altered CBG-cortisol transport function or immune-cortisol interactions. PMID: 15554358
- Circulating adiponectin, CBG concentration, and fasting cortisol were significantly interrelated in healthy subjects. A significant sexual dimorphism exists in this association. PMID: 15877287
- We concluded that CBG gene polymorphisms might modulate the influence of the HPA axis on the fat mass distribution in obese women. PMID: 16222046
- To the best of our knowledge, this case represents the first de novo mutation reported for corticosteroid-binding globulin deficiency, implicating a pathogenic role of variants of SERPINA6 in some cases of muscle fatigue. PMID: 17245537
- A mechanism for the effect of CBG mutations on fatigue is not readily apparent because free cortisol levels are normal. PMID: 17547679
- The crystal structures of cleaved human CBG (cCBG) at 1.8-A resolution and its complex with cortisol at 2.3-A resolution, is reported. PMID: 18513745
- several substitutions (E334A, V336R, G340S, and T342P) increased the steroid binding affinities of human CBG even before elastase cleavage PMID: 19011238
- Results describe the expression of corticosteroid-binding globulin (CBG) in the low-grade malignant human astrocytoma cell line 1321N1. PMID: 19172388
顯示更多
收起更多
-
相關疾病:Corticosteroid-binding globulin deficiency (CBG deficiency)
-
亞細胞定位:Secreted.
-
蛋白家族:Serpin family
-
組織特異性:Plasma; synthesized in liver. Has also been identified in a number of glycocorticoid responsive cells.
-
數據庫鏈接:
Most popular with customers
-
-
YWHAB Recombinant Monoclonal Antibody
Applications: ELISA, WB, IHC, IF, FC
Species Reactivity: Human, Mouse, Rat
-
Phospho-YAP1 (S127) Recombinant Monoclonal Antibody
Applications: ELISA, WB, IHC
Species Reactivity: Human
-
-
-
-
-















