SEPT6 Antibody
-
中文名稱:SEPT6兔多克隆抗體
-
貨號:CSB-PA623902ESR1HU
-
規格:¥440
-
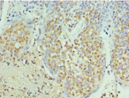
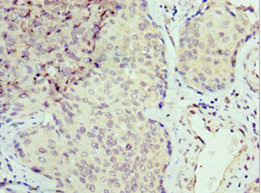
圖片:
-
其他:
產品詳情
-
產品名稱:Rabbit anti-Homo sapiens (Human) SEPT6 Polyclonal antibody
-
Uniprot No.:
-
基因名:SEPT6
-
別名:KIAA0128 antibody; Nkrf antibody; RCG53214; isoform CRA_d antibody; RP5-876A24.2 antibody; SEP2 antibody; SEPT2 antibody; SEPT6 antibody; SEPT6/MLL FUSION GENE antibody; SEPT6_HUMAN antibody; Septin 2 antibody; Septin 6 antibody; Septin-6 antibody
-
宿主:Rabbit
-
反應種屬:Human
-
免疫原:Recombinant Human Septin-6 protein (350-434AA)
-
免疫原種屬:Homo sapiens (Human)
-
標記方式:Non-conjugated
-
克隆類型:Polyclonal
-
抗體亞型:IgG
-
純化方式:Antigen Affinity Purified
-
濃度:It differs from different batches. Please contact us to confirm it.
-
保存緩沖液:PBS with 0.02% sodium azide, 50% glycerol, pH7.3.
-
產品提供形式:Liquid
-
應用范圍:ELISA, IHC
-
推薦稀釋比:
Application Recommended Dilution IHC 1:20-1:200 -
Protocols:
-
儲存條件:Upon receipt, store at -20°C or -80°C. Avoid repeated freeze.
-
貨期:Basically, we can dispatch the products out in 1-3 working days after receiving your orders. Delivery time maybe differs from different purchasing way or location, please kindly consult your local distributors for specific delivery time.
-
用途:For Research Use Only. Not for use in diagnostic or therapeutic procedures.
相關產品
靶點詳情
-
功能:Filament-forming cytoskeletal GTPase. Required for normal organization of the actin cytoskeleton. Involved in cytokinesis. May play a role in HCV RNA replication. Forms a filamentous structure with SEPTIN12, SEPTIN6, SEPTIN2 and probably SEPTIN4 at the sperm annulus which is required for the structural integrity and motility of the sperm tail during postmeiotic differentiation.
-
基因功能參考文獻:
- Results demonstrate that in stored platelets, septine-2 and septin-6 mRNAs have miR- 223 target sites, septin-2 and septin-6 are in complex with Ago-2. The results demonstrate that like in nucleated cells, enucleated platelets also have microRNA-based mechanisms for the regulation of their septins. PMID: 29943706
- SUMOylation of human septins is critical for septin filament bundling and cytokinesis. PMID: 29051266
- MiR-223-3p might target gene SEPT6 and promoted the biological behavior of prostate cancer. PMID: 25519054
- Septin6 and Septin7 GTP binding proteins regulate AP-3- and ESCRT-dependent multivesicular body biogenesis PMID: 25380047
- The SEPT6 provides the directional guidance cues necessary for polarizing the epithelial microtubule network. PMID: 21788367
- Data show that Septins of the SEPT6 group preferentially interacted with septins of the SEPT2 group, SEPT3 group and SEPT7 group. PMID: 21082023
- MLL-SEPTIN6 fusion recurs in novel translocation of chromosomes 3, X, and 11 in infant acute myelomonocytic leukaemia and in t(X;11) in infant acute myeloid leukaemia PMID: 12096348
- Molecular analysis using rtPCR followed by sequencing confirmed the expression of an MLL-SEPT6 fusion transcript with a novel sequence. PMID: 16843108
- septin 2, 6, and 7 complexes make up polymerized filaments PMID: 16914550
- These results indicate that the host proteins hnRNP A1 and septin 6 play important roles in the replication of HCV through RNA-protein and protein-protein interactions. PMID: 17229681
- crystal structures of the human SEPT2 G domain and the heterotrimeric human SEPT2-SEPT6-SEPT7 complex PMID: 17637674
- Demonstrate connection between septins/SOCS7/NCK signaling and the DNA damage response. PMID: 17803907
- co-expression of SEPT12 altered the filamentous structure of SEPT6 in Hela cells PMID: 18047794
顯示更多
收起更多
-
亞細胞定位:Cytoplasm. Cytoplasm, cytoskeleton, spindle. Chromosome, centromere, kinetochore. Cleavage furrow. Midbody. Cell projection, cilium, flagellum.
-
蛋白家族:TRAFAC class TrmE-Era-EngA-EngB-Septin-like GTPase superfamily, Septin GTPase family
-
組織特異性:Widely expressed.
-
數據庫鏈接:
Most popular with customers
-
-
YWHAB Recombinant Monoclonal Antibody
Applications: ELISA, WB, IHC, IF, FC
Species Reactivity: Human, Mouse, Rat
-
Phospho-YAP1 (S127) Recombinant Monoclonal Antibody
Applications: ELISA, WB, IHC
Species Reactivity: Human
-
-
-
-
-















