SENP8 Antibody
-
中文名稱:SENP8兔多克隆抗體
-
貨號:CSB-PA951733
-
規格:¥1100
-
圖片:
-
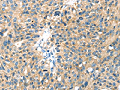
The image on the left is immunohistochemistry of paraffin-embedded Human breast cancer tissue using CSB-PA951733(SENP8 Antibody) at dilution 1/40, on the right is treated with fusion protein. (Original magnification: ×200)
-
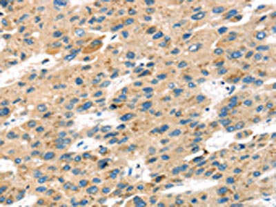
The image on the left is immunohistochemistry of paraffin-embedded Human liver cancer tissue using CSB-PA951733(SENP8 Antibody) at dilution 1/40, on the right is treated with fusion protein. (Original magnification: ×200)
-
Gel: 12%SDS-PAGE,Lysate: 40 μg,Lane 1-6: 293T cells, Hela cells, Lovo cells, Raji cells, HUEVC cells, Mouse spleen tissue,Primary antibody: CSB-PA951733(SENP8 Antibody) at dilution 1/600 dilution,Secondary antibody: Goat anti rabbit IgG at 1/8000 dilution,Exposure time: 20 seconds
-
-
其他:
產品詳情
-
Uniprot No.:
-
基因名:SENP8
-
別名:cysteine 2 antibody; DEN 1 antibody; DEN1 antibody; Deneddylase 1 antibody; Deneddylase-1 antibody; FKSG8 antibody; HsT17512 antibody; NEDD 8 specific protease 1 antibody; NEDD8 specific protease cysteine 2 antibody; NEDD8-specific protease 1 antibody; NEDP 1 antibody; NEDP1 antibody; Protease antibody; Protease,聽cysteine聽2 antibody; PRSC2 antibody; SENP8 antibody; SENP8_HUMAN antibody; Sentrin / SUMO specific protease SENP 8 antibody; Sentrin-specific protease 8 antibody; Sentrin/SUMO-specific protease SENP8 antibody; SUMO sentrin specific protease family member 8 antibody; SUMO/sentrin peptidase family member; NEDD8 specific antibody; SUMO/sentrin specific peptidase family member 8 antibody
-
宿主:Rabbit
-
反應種屬:Human,Mouse,Rat
-
免疫原:Full length fusion protein
-
免疫原種屬:Homo sapiens (Human)
-
標記方式:Non-conjugated
-
抗體亞型:IgG
-
純化方式:Antigen affinity purification
-
濃度:It differs from different batches. Please contact us to confirm it.
-
保存緩沖液:-20°C, pH7.4 PBS, 0.05% NaN3, 40% Glycerol
-
產品提供形式:Liquid
-
應用范圍:ELISA,WB,IHC
-
推薦稀釋比:
Application Recommended Dilution ELISA 1:2000-1:5000 WB 1:500-1:2000 IHC 1:25-1:100 -
Protocols:
-
儲存條件:Upon receipt, store at -20°C or -80°C. Avoid repeated freeze.
-
貨期:Basically, we can dispatch the products out in 1-3 working days after receiving your orders. Delivery time maybe differs from different purchasing way or location, please kindly consult your local distributors for specific delivery time.
-
用途:For Research Use Only. Not for use in diagnostic or therapeutic procedures.
相關產品
靶點詳情
-
功能:Protease that catalyzes two essential functions in the NEDD8 pathway: processing of full-length NEDD8 to its mature form and deconjugation of NEDD8 from targeted proteins such as cullins or p53.
-
基因功能參考文獻:
- Furthermore, the authors characterized SENP8/DEN1 as the protease that counteracts Ubc12 auto-neddylation, and observed aberrant neddylation of Ubc12 and other NEDD8 conjugation pathway components in SENP8-deficient cells. PMID: 28475037
- In endothelial dysfunction, HDAC2 levels were reciprocally regulated by ectopic expression of NEDD8 and the de-NEDDylating enzyme SENP8. PMID: 25655932
- Data indicate that overexpression of SENP8, a NEDD8-specific cysteine protease, resulted in deNEDDylation of E2F1 and promoted its transactivation activity at the p73 gene. PMID: 23001041
- We analyzed whether CSN1 alone can increase DEN1 degradation in HeLa cells.these data suggest that the COP9 signalosome supports proteasome-dependent protein degradation of DEN1/DenA in fungi and in human cells. PMID: 23408908
- A role for SENP8 as a central regulator of the inflammatory process is identified using knockdown and overexpression approaches. PMID: 23209320
- the specificity of NEDD8-specific peptidase SENP8 PMID: 22110750
- Data show that the stability of MDM2 is regulated by NEDD8 pathway and identify NEDP1 that deneddylates MDM2, resulting in MDM2 destabilization concomitant with p53 activation. PMID: 19784069
- NEDP1 is likely to play an important role in ubiquitin-mediated proteolysis by controlling the activity of SCF complexes PMID: 12730221
- results suggest a unique role for NEDD8-specific protease 1(DEN1) in regulating the modification of cullin 1 by Nedd8 protein PMID: 12759363
- X-ray structures of the human Nedd8-specific protease, Den1, in a complex with the inhibitor Nedd8 aldehyde, thus revealing a model for the tetrahedral transition state intermediate generated during proteolysis PMID: 15567417
顯示更多
收起更多
-
蛋白家族:Peptidase C48 family
-
組織特異性:Broadly expressed, with highest levels in kidney and pancreas.
-
數據庫鏈接:
Most popular with customers
-
-
YWHAB Recombinant Monoclonal Antibody
Applications: ELISA, WB, IHC, IF, FC
Species Reactivity: Human, Mouse, Rat
-
Phospho-YAP1 (S127) Recombinant Monoclonal Antibody
Applications: ELISA, WB, IHC
Species Reactivity: Human
-
-
-
-
-















