SENP2 Antibody
-
中文名稱:SENP2兔多克隆抗體
-
貨號:CSB-PA692718
-
規格:¥1100
-
圖片:
-
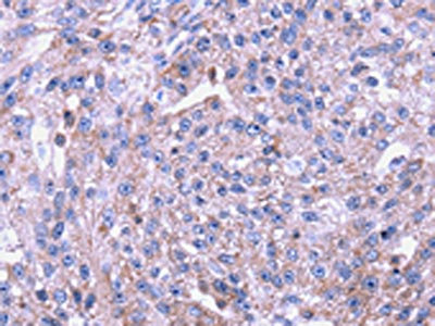
The image on the left is immunohistochemistry of paraffin-embedded Human liver cancer tissue using CSB-PA692718(SENP2 Antibody) at dilution 1/20, on the right is treated with fusion protein. (Original magnification: ×200)
-
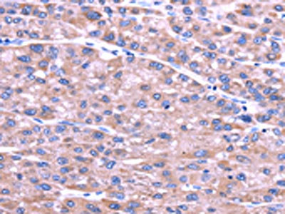
The image on the left is immunohistochemistry of paraffin-embedded Human breast cancer tissue using CSB-PA692718(SENP2 Antibody) at dilution 1/20, on the right is treated with fusion protein. (Original magnification: ×200)
-
-
其他:
產品詳情
-
Uniprot No.:
-
基因名:
-
別名:Axam2 antibody; DKFZp762A2316 antibody; KIAA1331 antibody; Senp2 antibody; SENP2_HUMAN antibody; Sentrin specific protease 2 antibody; Sentrin-specific protease 2 antibody; Sentrin/SUMO specific protease SENP2 antibody; Sentrin/SUMO-specific protease SENP2 antibody; SMT3 specific isopeptidase 2 antibody; SMT3-specific isopeptidase 2 antibody; Smt3ip2 antibody; SUMO1/sentrin/SMT3 specific peptidase 2 antibody
-
宿主:Rabbit
-
反應種屬:Human,Mouse,Rat
-
免疫原:Fusion protein of Human SENP2
-
免疫原種屬:Homo sapiens (Human)
-
標記方式:Non-conjugated
-
抗體亞型:IgG
-
純化方式:Antigen affinity purification
-
濃度:It differs from different batches. Please contact us to confirm it.
-
保存緩沖液:-20°C, pH7.4 PBS, 0.05% NaN3, 40% Glycerol
-
產品提供形式:Liquid
-
應用范圍:ELISA,IHC
-
推薦稀釋比:
Application Recommended Dilution ELISA 1:2000-1:5000 IHC 1:25-1:100 -
Protocols:
-
儲存條件:Upon receipt, store at -20°C or -80°C. Avoid repeated freeze.
-
貨期:Basically, we can dispatch the products out in 1-3 working days after receiving your orders. Delivery time maybe differs from different purchasing way or location, please kindly consult your local distributors for specific delivery time.
-
用途:For Research Use Only. Not for use in diagnostic or therapeutic procedures.
相關產品
靶點詳情
-
功能:Protease that catalyzes two essential functions in the SUMO pathway. The first is the hydrolysis of an alpha-linked peptide bond at the C-terminal end of the small ubiquitin-like modifier (SUMO) propeptides, SUMO1, SUMO2 and SUMO3 leading to the mature form of the proteins. The second is the deconjugation of SUMO1, SUMO2 and SUMO3 from targeted proteins, by cleaving an epsilon-linked peptide bond between the C-terminal glycine of the mature SUMO and the lysine epsilon-amino group of the target protein. May down-regulate CTNNB1 levels and thereby modulate the Wnt pathway. Deconjugates SUMO2 from MTA1. Plays a dynamic role in adipogenesis by desumoylating and promoting the stabilization of CEBPB.
-
基因功能參考文獻:
- research achievements of SENP2 are reviewed in order to understand its related functions and the underlying molecular mechanisms and provide a clue for future research on SENP2 PMID: 29908207
- Quantitative high-throughput screening identifies cytoprotective molecules that enhance SUMO conjugation via the inhibition of SUMO-specific protease (SENP)2. PMID: 29146736
- Data demonstrate that downregulation of SENP2 is correlated with poor prognosis in bladder cancer; SENP2 inhibits TGF-beta signaling and TGF-beta-induced EMT of bladder cancer cell; and that its overexpression contributes to suppress bladder cancer cell invasion and metastasis through deSUMOylation of TGF-betaRI. PMID: 28574613
- The variability of the SENP1 and SENP2 genes may play a role in breast cancer occurrence. PMID: 27178176
- SENP2 inhibits MMP13 expression in BC cells through de-SUMOylation of TBL1/TBLR1, which inhibits nuclear translocation of beta-catenin. PMID: 26369384
- miR-181b targets SENP2 and positively regulated NF-kappaB activity. NF-kappaB activation by DNA damage in GBM cells confers resistance to radiation-induced death. PMID: 25633526
- data identify SENP2 as an important regulator of fatty acid metabolism in skeletal muscle PMID: 25784542
- SENP2 regulates the transcriptional function of MEF2A via direct de-SUMOylation. PMID: 25483061
- p90RSK-mediated SENP2-T368 phosphorylation is a master switch in disturbed-flow-induced signaling. PMID: 25689261
- ESR1 repression by SENP2 is independent of its SUMO protease activity. PMID: 24422630
- Many nucleoporins are mislocalized and, in some cases, reduced in level when SENP1 and SENP2 are codepleted. PMID: 24196834
- Chromosome segregation depends on precise spatial and temporal control of sumoylation in mitosis; SENP1 and SENP2 are important mediators of this control. PMID: 24048451
- The SENP1 levels are influenced by the presence of Nup153, whereas SENP2 is not sensitive to changes in Nup153 abundance. PMID: 22688647
- SENP2 inhibited bladder cancer cells migration and invasion by regulating the expression of MMP13. PMID: 24008762
- SENP2 plays an important role in determining the dynamics and functional outcome of MEF2A SUMOylation and transcriptional activation. PMID: 23224591
- SENP2 represses glycolysis and shifts glucose metabolic strategy PMID: 23691130
- SENP2 regulates hepatocellular carcinoma cell growth by modulating the stability of beta-catenin. PMID: 23098437
- cardiac overexpression of SENP2 in the mice with Nkx2.5 haploinsufficiency promoted embryonic lethality and severity of congenital heart diseases (CHDs). PMID: 22155005
- Data suggest that SENP2 regulates antiviral innate immunity by deSUMOylating IRF3 and conditioning it for ubiquitination and degradation, and provide an example of cross-talk between the ubiquitin and SUMO pathways in innate immunity. PMID: 22028379
- SENP2 null cells display biphasic NEMO SUMOylation and activation of IKK and NF-kappaB PMID: 21777808
- a mechanism underlying the SENP2-mediated regulation of Mdm2 that is critical for genome integrity in p53-dependent stress responses. PMID: 21183956
- Results demonstrate that SENP1 is the most efficient SUMO protease acting on Elk-1, and that SENP3 has little effect on Elk-1. SENP2 has an intermediate effect, but its ability to activate Elk-1 is independent from its SUMO-deconjugating activity. PMID: 20337593
- association with the pore plays an important negative role in the regulation of SENP2 PMID: 11896061
- Restricting SENP2 in the nucleus by mutations in the NES impairs its polyubiquitination, whereas a cytoplasm-localized SENP2 made by introducing mutations in the NLS can be efficiently polyubiquitinated. PMID: 16738331
- Mutational analysis and biochemistry provide a mechanism for SENP2 substrate preferences that explains why SENP2 catalyzes SUMO deconjugation more efficiently than processing PMID: 17099700
顯示更多
收起更多
-
亞細胞定位:Nucleus, nuclear pore complex. Nucleus membrane; Peripheral membrane protein; Nucleoplasmic side. Cytoplasm.
-
蛋白家族:Peptidase C48 family
-
數據庫鏈接:
Most popular with customers
-
-
YWHAB Recombinant Monoclonal Antibody
Applications: ELISA, WB, IHC, IF, FC
Species Reactivity: Human, Mouse, Rat
-
Phospho-YAP1 (S127) Recombinant Monoclonal Antibody
Applications: ELISA, WB, IHC
Species Reactivity: Human
-
-
-
-
-















