SEMA7A Antibody
-
中文名稱:SEMA7A兔多克隆抗體
-
貨號:CSB-PA589052
-
規格:¥1100
-
圖片:
-
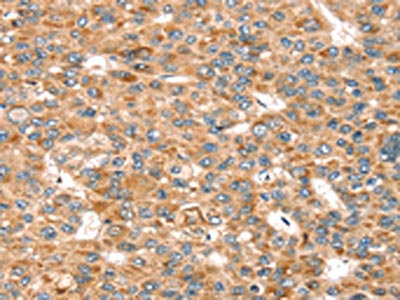
The image on the left is immunohistochemistry of paraffin-embedded Human liver cancer tissue using CSB-PA589052(SEMA7A Antibody) at dilution 1/20, on the right is treated with synthetic peptide. (Original magnification: ×200)
-
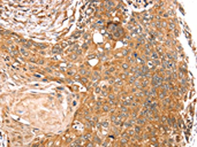
The image on the left is immunohistochemistry of paraffin-embedded Human esophagus cancer tissue using CSB-PA589052(SEMA7A Antibody) at dilution 1/20, on the right is treated with synthetic peptide. (Original magnification: ×200)
-
Gel: 6%SDS-PAGE, Lysate: 40 μg, Lane: Mouse spleen tissue, Primary antibody: CSB-PA589052(SEMA7A Antibody) at dilution 1/200, Secondary antibody: Goat anti rabbit IgG at 1/8000 dilution, Exposure time: 10 seconds
-
-
其他:
產品詳情
-
Uniprot No.:
-
基因名:
-
別名:CD 108 antibody; CD108 antibody; CD108 antigen antibody; CDw108 antibody; H Sema K1 antibody; H Sema L antibody; H-SEMA-K1 antibody; H-Sema-L antibody; JMH antibody; JMH blood group antigen antibody; John Milton Hagen blood group H Sema K1 antibody; John Milton Hargen human blood group Ag antibody; John-Milton-Hargen human blood group Ag antibody; MGC126692 antibody; MGC126696 antibody; SEM7A_HUMAN antibody; Sema domain immunoglobulin domain (Ig) and GPI membrane anchor 7A antibody; Sema K1 antibody; Sema L antibody; SEMA7A antibody; SEMAK1 antibody; SEMAL antibody; Semaphorin 7A GPI membrane anchor antibody; Semaphorin K1 antibody; Semaphorin L antibody; Semaphorin-7A antibody; Semaphorin-K1 antibody; Semaphorin-L antibody; Semaphorin7a antibody
-
宿主:Rabbit
-
反應種屬:Human,Mouse
-
免疫原:Synthetic peptide of Human SEMA7A
-
免疫原種屬:Homo sapiens (Human)
-
標記方式:Non-conjugated
-
抗體亞型:IgG
-
純化方式:Antigen affinity purification
-
濃度:It differs from different batches. Please contact us to confirm it.
-
保存緩沖液:Liquid in PBS containing 50% glycerol, 0.5% BSA and 0.02% sodium azide.
-
產品提供形式:Liquid
-
應用范圍:ELISA,WB,IHC
-
推薦稀釋比:
Application Recommended Dilution ELISA 1:2000-1:5000 WB 1:500-1:2000 IHC 1:25-1:100 -
Protocols:
-
儲存條件:Upon receipt, store at -20°C or -80°C. Avoid repeated freeze.
-
貨期:Basically, we can dispatch the products out in 1-3 working days after receiving your orders. Delivery time maybe differs from different purchasing way or location, please kindly consult your local distributors for specific delivery time.
-
用途:For Research Use Only. Not for use in diagnostic or therapeutic procedures.
相關產品
靶點詳情
-
功能:Plays an important role in integrin-mediated signaling and functions both in regulating cell migration and immune responses. Promotes formation of focal adhesion complexes, activation of the protein kinase PTK2/FAK1 and subsequent phosphorylation of MAPK1 and MAPK3. Promotes production of proinflammatory cytokines by monocytes and macrophages. Plays an important role in modulating inflammation and T-cell-mediated immune responses. Promotes axon growth in the embryonic olfactory bulb. Promotes attachment, spreading and dendrite outgrowth in melanocytes.
-
基因功能參考文獻:
- These findings indicate that Sema7A as a potent activator of T cells and monocytes in the immune response contributes to the inflammation and progression of rheumatoid arthritis PMID: 28109308
- short hairpin-mediated silencing of SEMA7A reveals roles for semaphorin 7a in the promotion of DCIS growth, motility and invasion as well as lymphangiogenesis in the tumor microenvironment. Our studies also uncover a relationship between COX-2 and semaphorin 7a expression and suggest that semaphorin 7a promotes tumor cell invasion on collagen and lymphangiogenesis via activation of b1-integrin receptor PMID: 27065336
- Our results identified FGL2, GAL, SEMA4D, SEMA7A, and IDO1 as new candidate genes that could be involved in MSCs-mediated immunomodulation. FGL2, GAL, SEMA4D, SEMA7A, and IDO1 genes appeared to be differentially transcribed in the different MSC populations. Moreover, these genes were not similarly modulated following MSCs-exposure to inflammatory signals PMID: 28336906
- Sema3A and sema7A expression correlated with the inflammatory activity of the multiple sclerosis (MS) lesions, suggesting their involvement in the immunological process that takes place in MS. PMID: 26432853
- SEMA7A has a role in the development of lung injury PMID: 26752048
- This study demonstrates that Sema7A controls the assembly of actin-based protrusions that drive Dendritic cell migration in response to CCL21. PMID: 26597008
- These results suggest that SEMA7a plays a role as a CSF biomarkers associated with the conversion to clinically definite multiple sclerosis in clinically isolated syndromes patients PMID: 25406498
- heterozygous missense variants in SEMA3A and SEMA7A may modify the phenotype of Kallmann syndrome but most likely are not alone sufficient to cause the disorder PMID: 24522099
- SEMA7A was expressed in the liver and was increased in the course of liver fibrosis, both in mice and in humans. PMID: 23850082
- Semaphorin 7A is a potentially important modulator of eosinophil profibrotic functions in the airway remodeling of patients with chronic asthma. PMID: 24333536
- two MTRAP monomers interact via their tandem TSR domains with the Sema domains of a Semaphorin-7A homodimer PMID: 23166499
- Semaphorin 7A protein variants differentially regulate T-cell activity. PMID: 22845496
- Sema7A markedly reduces the production rates of megakaryocytes and platelets from CD34(+) progenitor cells. PMID: 22448926
- We report here the expression and induction of semaphorin 7A (SEMA7A) on endothelium through hypoxia-inducible factor 1alpha during hypoxia. PMID: 22891341
- Sema7A on keratinocytes and beta1-integrin on monocytes contribute to monocyte activation by keratinocytes within skin inflammation, inducing IL-8 PMID: 21524887
- A new SEMA7A variant was identified in Native American plasma samples, and an alloantibody that recognizes the wild-type protein PMID: 20854351
- Study reports the structures of Sema7A and A39R complexed with the Semaphorin-binding module of PlexinC1; both structures show two PlexinC1 molecules symmetrically bridged by Semaphorin dimers. PMID: 20727575
- Sema7A is a potent stimulator of cytokine production, chemotaxis and superoxide release in monocytes PMID: 12193228
- SEMA 7A might be a molecule involved in the terminal innervation of the dentin-pulp complex. PMID: 15907379
- Polymorphisms in SEMA7A may play a role in decreased bone mineral density and increased risk of vertebral fracture. PMID: 16372136
- beta1-integrins and Plexin C1 receptors are ligands for Semaphorin 7a, and that signaling by these receptors has opposing effects on Semaphorin 7a-induced dendrite formation. PMID: 17671519
- Sema7A binds to human melanocytes through beta1-integrins and the Plexin C1 receptor PMID: 19318806
顯示更多
收起更多
-
亞細胞定位:Cell membrane; Lipid-anchor, GPI-anchor; Extracellular side. Note=Detected in a punctate pattern on the cell membrane of basal and supra-basal skin keratinocytes.
-
蛋白家族:Semaphorin family
-
組織特異性:Detected in skin keratinocytes and on endothelial cells from skin blood vessels (at protein level). Expressed in fibroblasts, keratinocytes, melanocytes, placenta, testis, ovary, spleen, brain, spinal chord, lung, heart, adrenal gland, lymph nodes, thymus
-
數據庫鏈接:
Most popular with customers
-
-
YWHAB Recombinant Monoclonal Antibody
Applications: ELISA, WB, IHC, IF, FC
Species Reactivity: Human, Mouse, Rat
-
Phospho-YAP1 (S127) Recombinant Monoclonal Antibody
Applications: ELISA, WB, IHC
Species Reactivity: Human
-
-
-
-
-















