SEMA6B Antibody
-
中文名稱:SEMA6B兔多克隆抗體
-
貨號:CSB-PA862010LA01HU
-
規格:¥440
-
圖片:
-
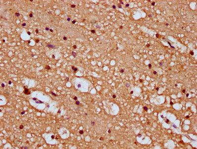
IHC image of CSB-PA862010LA01HU diluted at 1:100 and staining in paraffin-embedded human brain tissue performed on a Leica BondTM system. After dewaxing and hydration, antigen retrieval was mediated by high pressure in a citrate buffer (pH 6.0). Section was blocked with 10% normal goat serum 30min at RT. Then primary antibody (1% BSA) was incubated at 4°C overnight. The primary is detected by a biotinylated secondary antibody and visualized using an HRP conjugated SP system.
-
Immunofluorescence staining of Hela cells with CSB-PA862010LA01HU at 1:33, counter-stained with DAPI. The cells were fixed in 4% formaldehyde, permeabilized using 0.2% Triton X-100 and blocked in 10% normal Goat Serum. The cells were then incubated with the antibody overnight at 4°C. The secondary antibody was Alexa Fluor 488-congugated AffiniPure Goat Anti-Rabbit IgG(H+L).
-
-
其他:
產品詳情
-
產品名稱:Rabbit anti-Homo sapiens (Human) SEMA6B Polyclonal antibody
-
Uniprot No.:
-
基因名:SEMA6B
-
別名:SEM-SEMA-Y antibody; SEM6B_HUMAN antibody; sema domain; transmembrane domain (TM); and cytoplasmic domain; (semaphorin) 6B antibody; Sema Z antibody; SEMA-VIB antibody; Sema6b antibody; SEMAN antibody; semaphorin VIB antibody; Semaphorin-6B antibody; semaphorin-6Ba antibody; Semaphorin-Z antibody
-
宿主:Rabbit
-
反應種屬:Human
-
免疫原:Recombinant Human Semaphorin-6B protein (756-888AA)
-
免疫原種屬:Homo sapiens (Human)
-
標記方式:Non-conjugated
本頁面中的產品,SEMA6B Antibody (CSB-PA862010LA01HU),的標記方式是Non-conjugated。對于SEMA6B Antibody,我們還提供其他標記。見下表:
-
克隆類型:Polyclonal
-
抗體亞型:IgG
-
純化方式:>95%, Protein G purified
-
濃度:It differs from different batches. Please contact us to confirm it.
-
保存緩沖液:Preservative: 0.03% Proclin 300
Constituents: 50% Glycerol, 0.01M PBS, pH 7.4 -
產品提供形式:Liquid
-
應用范圍:ELISA, IHC, IF
-
推薦稀釋比:
Application Recommended Dilution IHC 1:20-1:200 IF 1:20-1:200 -
Protocols:
-
儲存條件:Upon receipt, store at -20°C or -80°C. Avoid repeated freeze.
-
貨期:Basically, we can dispatch the products out in 1-3 working days after receiving your orders. Delivery time maybe differs from different purchasing way or location, please kindly consult your local distributors for specific delivery time.
-
用途:For Research Use Only. Not for use in diagnostic or therapeutic procedures.
相關產品
靶點詳情
-
功能:Functions as a cell surface repellent for mossy fibers of developping neurons in the hippocampus where it plays a role in axon guidance. May function through the PLXNA4 receptor expressed by mossy cell axons.; (Microbial infection) Acts as a receptor for P.sordellii toxin TcsL in the in the vascular endothelium.
-
基因功能參考文獻:
- Semaphorin 6B is related to tumour differentiation and metastasis in vivo, and tumour cell migration, adhesion and invasion in vitro. PMID: 23781008
- states a clear relation among breast cancer and SEMA6B expression; moreover we describe for the first time the SEMA6Ba protein and report here the analysis of SEMA6Ba RNA messenger, the protein expression and the cellular localization PMID: 23665584
- Gene SEMA6B is strongly down regulated by peroxisome proliferator-activated receptors. PMID: 15177567
-
亞細胞定位:Cell membrane; Single-pass type I membrane protein.
-
蛋白家族:Semaphorin family
-
組織特異性:Expressed in the brain in GABAergic neurons.
-
數據庫鏈接:
Most popular with customers
-
-
YWHAB Recombinant Monoclonal Antibody
Applications: ELISA, WB, IHC, IF, FC
Species Reactivity: Human, Mouse, Rat
-
Phospho-YAP1 (S127) Recombinant Monoclonal Antibody
Applications: ELISA, WB, IHC
Species Reactivity: Human
-
-
-
-
-















