-
中文名稱:SEMA4C兔多克隆抗體
-
貨號:CSB-PA787154
-
規格:¥1100
-
圖片:
-
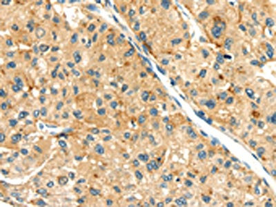
The image on the left is immunohistochemistry of paraffin-embedded Human liver cancer tissue using CSB-PA787154(SEMA4C Antibody) at dilution 1/30, on the right is treated with fusion protein. (Original magnification: ×200)
-
The image on the left is immunohistochemistry of paraffin-embedded Human esophagus cancer tissue using CSB-PA787154(SEMA4C Antibody) at dilution 1/30, on the right is treated with fusion protein. (Original magnification: ×200)
-
-
其他:
產品詳情
-
Uniprot No.:
-
基因名:SEMA4C
-
別名:KIAA1739 antibody; M-SEMA-F antibody; S4c antibody; SEM4C_HUMAN antibody; Sema domain, immunoglobulin domain (Ig), transmembrane domain (TM) and short cytoplasmic domain, (semaphorin) 4C antibody; SEMA4C antibody; SEMACL1 antibody; SEMAF antibody; SEMAI antibody; Semaphorin-4C antibody; UNQ5855/PRO34487 antibody
-
宿主:Rabbit
-
反應種屬:Human,Mouse
-
免疫原:Fusion protein of Human SEMA4C
-
免疫原種屬:Homo sapiens (Human)
-
標記方式:Non-conjugated
-
抗體亞型:IgG
-
純化方式:Antigen affinity purification
-
濃度:It differs from different batches. Please contact us to confirm it.
-
保存緩沖液:-20°C, pH7.4 PBS, 0.05% NaN3, 40% Glycerol
-
產品提供形式:Liquid
-
應用范圍:ELISA,IHC
-
推薦稀釋比:
Application Recommended Dilution ELISA 1:2000-1:5000 IHC 1:25-1:100 -
Protocols:
-
儲存條件:Upon receipt, store at -20°C or -80°C. Avoid repeated freeze.
-
貨期:Basically, we can dispatch the products out in 1-3 working days after receiving your orders. Delivery time maybe differs from different purchasing way or location, please kindly consult your local distributors for specific delivery time.
-
用途:For Research Use Only. Not for use in diagnostic or therapeutic procedures.
引用文獻
- Semaphorin 4C Plexin-B2 signaling in peripheral sensory neurons is pronociceptive in a model of inflammatory pain Paldy E.et al,Nat Commun.,2017
相關產品
靶點詳情
-
功能:Cell surface receptor for PLXNB2 that plays an important role in cell-cell signaling. PLXNB2 binding promotes downstream activation of RHOA and phosphorylation of ERBB2 at 'Tyr-1248'. Required for normal brain development, axon guidance and cell migration. Probable signaling receptor which may play a role in myogenic differentiation through activation of the stress-activated MAPK cascade.
-
基因功能參考文獻:
- Tumor-associated LECs produce sSEMA4C to promote lymphatic metastasis of tumors. PMID: 27401250
- ectopic expression of miR-25-3p reversed the epithelial-mesenchymal transition phenotype and sensitized cisplatin-resistant cervical cancer cells to cisplatin via targeting Sema4C PMID: 27743413
- Data show that G-protein-coupled receptor kinase-interacting protein 1 (GIT1) and semaphorin 4C (SEMA4C) were found to have putative microRNA miR-138 binding sites in their 3' untranslated region (3'UTRs). PMID: 26283050
- Suggest that up-regulation of miR-125b or targeting Sema4C could serve as novel approaches to reverse chemotherapy resistance in breast cancers. PMID: 25605244
- Data suggest that Erbin can interact with Sema4C, and co-expression of Erbin blocks the process of Sema4C-induced epithelial-mesenchymal transition. PMID: 24142719
- There is a high expression of Sema4C in esophageal cancer, gastric cancer and rectal cancer, and expression is strongly correlated with lymphatic metastasis. PMID: 22944267
- High Sema4C is associated with epithelial-mesenchymal transition and renal fibrosis. PMID: 20959347
顯示更多
收起更多
-
亞細胞定位:Cell junction, synapse, postsynaptic density membrane; Single-pass type I membrane protein. Cytoplasmic vesicle, secretory vesicle, synaptic vesicle membrane; Single-pass type I membrane protein.
-
蛋白家族:Semaphorin family
-
數據庫鏈接:
Most popular with customers
-
-
YWHAB Recombinant Monoclonal Antibody
Applications: ELISA, WB, IHC, IF, FC
Species Reactivity: Human, Mouse, Rat
-
Phospho-YAP1 (S127) Recombinant Monoclonal Antibody
Applications: ELISA, WB, IHC
Species Reactivity: Human
-
-
-
-
-















