SEMA3F Antibody
-
中文名稱:SEMA3F兔多克隆抗體
-
貨號:CSB-PA622647LA01HU
-
規格:¥440
-
圖片:
-
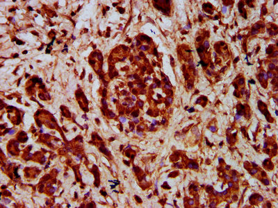
IHC image of CSB-PA622647LA01HU diluted at 1:400 and staining in paraffin-embedded human pancreatic cancer performed on a Leica BondTM system. After dewaxing and hydration, antigen retrieval was mediated by high pressure in a citrate buffer (pH 6.0). Section was blocked with 10% normal goat serum 30min at RT. Then primary antibody (1% BSA) was incubated at 4°C overnight. The primary is detected by a biotinylated secondary antibody and visualized using an HRP conjugated SP system.
-
-
其他:
產品詳情
-
產品名稱:Rabbit anti-Homo sapiens (Human) SEMA3F Polyclonal antibody
-
Uniprot No.:
-
基因名:SEMA3F
-
別名:SEM3F_HUMAN antibody; sema domain immunoglobulin domain Ig short basic domain secreted 3F antibody; sema domain immunoglobulin domain Ig short basic domain secreted semaphorin 3F antibody; Sema III/F antibody; Sema IV antibody; SEMA-IV antibody; SEMA3F antibody; SEMA4 antibody; SemaIII/F antibody; SemaIV antibody; SEMAK antibody; Semaphorin IV antibody; Semaphorin-3F antibody; Semaphorin3F antibody; SemaphorinIV antibody
-
宿主:Rabbit
-
反應種屬:Human
-
免疫原:Recombinant Human Semaphorin-3F protein (565-651AA)
-
免疫原種屬:Homo sapiens (Human)
-
標記方式:Non-conjugated
本頁面中的產品,SEMA3F Antibody (CSB-PA622647LA01HU),的標記方式是Non-conjugated。對于SEMA3F Antibody,我們還提供其他標記。見下表:
-
克隆類型:Polyclonal
-
抗體亞型:IgG
-
純化方式:>95%, Protein G purified
-
濃度:It differs from different batches. Please contact us to confirm it.
-
保存緩沖液:Preservative: 0.03% Proclin 300
Constituents: 50% Glycerol, 0.01M PBS, pH 7.4 -
產品提供形式:Liquid
-
應用范圍:ELISA, IHC
-
推薦稀釋比:
Application Recommended Dilution IHC 1:200-1:500 -
Protocols:
-
儲存條件:Upon receipt, store at -20°C or -80°C. Avoid repeated freeze.
-
貨期:Basically, we can dispatch the products out in 1-3 working days after receiving your orders. Delivery time maybe differs from different purchasing way or location, please kindly consult your local distributors for specific delivery time.
-
用途:For Research Use Only. Not for use in diagnostic or therapeutic procedures.
相關產品
靶點詳情
-
功能:May play a role in cell motility and cell adhesion.
-
基因功能參考文獻:
- SEMA3F plays a role as a tumor suppressor in Oral squamous cell carcinoma cell proliferation, migration and invasion. PMID: 29299034
- in situ hybridization analysis revealed that Sema 3C and Sema 3F are expressed at the RNA level in the endometriosis affected peritoneum PMID: 27558236
- Semaphorin 3F placenta tissue expression was significantly reduced in preeclampsia. In addition, semaphorin 3F level at delivery was significantly lower in serum, amniotic fluid and venous umbilical blood of preeclamptic patients compared with normal pregnant women. PMID: 28350837
- There is a positive association between the expression of AKAP12 and Semaphorin 3F in prostate cancer, suggesting that the activation of Semaphorin 3F by AKAP12 may be involved in prostate cancer progression and metastasis. PMID: 28698137
- Study demonstrates an anti-tumoral role of SEMA3F in ileal NETs. We thus suggest that SEMA3F and/or its cellular signaling pathway could represent a target for ileal NET therapy. PMID: 26447612
- SEMA3F was downregulated in colorectal cancer tissues as compared to matched adjacent non-tumor tissues PMID: 26722466
- A new SEMA3F transcript is expressed in all breast cell lines and breast cancer biopsies, and is translated into a new semaphorin 3F isoform. PMID: 26784191
- SEMA3F-NRP2 interactions inhibit intracellular PI-3K activity, mTORC2-dependent signaling, RhoA activity and cytoskeletal stress fiber formation. PMID: 26156437
- Data indicate that semaphorin 3F (SEMA3F) and its receptor neuropilin-2 (NRP2) are expressed in the thymus. PMID: 25068647
- SEMA3F functions as a suppressor of colorectal cancer metastasis by down-regulating the ASCL2-CXCR4 signaling axis. PMID: 25866254
- SEMA3F may represent an antilymphangiogenic metastasis suppressor gene widely lost during cancer progression, hence serving as a prognostic biomarker and an attractive target for therapeutic intervention to halt metastasis. PMID: 25952650
- Infantile hemangioma-derived stem cells and endothelial cells are inhibited by SEMA3E and SEMA3F. PMID: 26086095
- Data suggest that SEMA3F C-terminal domain exhibits high-affinity binding of neuropilin-1 (NRP1; thus inhibiting binding of vascular endothelial growth factor A to NRP1); this interaction may be involved in anti-angiogenic activity of SEMA3F. PMID: 24079887
- A functional role for Semaphorin 3F in the outer retina where it acts as a vasorepulsive cue to maintain physiologic avascularity. PMID: 23603393
- This study demonstrated a marked loss of noradrenergic and sensory nerve fibers in polyp mucosa, which was associated with a strong increase of semaphorin 3F and 3A. PMID: 22093159
- It was concluded that hypoxia regulates VEGF and SE MA3F activities through transcriptional repression of their common receptor NRP2, providing a novel mechanism by which hypoxia induces tumor angiogenesis, growth and metastasis. PMID: 21610314
- Endogenous SEMA3F acts as a suppressor of the growth and metastasis of human colorectal cancer cells. PMID: 21349996
- SEMA3F, CLEC16A, LAMA3, and PCSK2 variants have roles in myocardial infarction in Japanese individuals PMID: 20036365
- semaphorin-3B and semaphorin-3F have roles in ovarian cancer PMID: 20124444
- Transient SEMA-3F gene transfection may inhibit the proliferation of Tca8113 cells. PMID: 18476556
- Metastatic tumor cells overexpress c-myc, leading to upregulation of Id2 expression; the aberrantly elevated amount of Id2 represses SEMA3F expression and, as a consequence, enhances the ability of tumor cells to migrate and invade. PMID: 20388805
- SEMA3F and VEGF have antagonistic actions affecting motility in primary tumor cell PMID: 12659673
- SEMA3F is a potent metastasis inhibitor that targets both tumor and stromal cells PMID: 15520858
- SEMA3F suppresses lung neoplasm progression in an experimental model PMID: 15967098
- Results suggest that p53 negatively regulates tumor vessel formation and cell growth via the SEMA3F-NRP2 pathway. PMID: 17308083
- combinations of sema3A and sema3F may be able to inhibit tumor angiogenesis more effectively than single semaphorins. PMID: 17569671
- Semaphorin 3F mRNA forms a G quartet-containing structure, which is recognized with high affinity and specificity by the RGG box domain of the fragile X mental retardation protein. PMID: 17693432
- ABL2/ARG is a novel mediator of SEMA3F-induced RhoA inactivation and collapsing activity. PMID: 18660502
- SEMA3F loss was associated with changes in cell signaling: increased phospho-AKT in normoxia and hypoxia-induced factor 1alpha protein. Exogenous addition of SEMA3F could modulate ZEB-1-induced angiogenesis in a chorioallantoic membrane assay. PMID: 19177200
- Semaphorin3F reverses Multicellular resistance by regulating alpha(v)beta3 PMID: 19657188
- These data indicate that polymorphisms in SEMA3F are associated with prostate cancer risk and poor prognosis in Hispanic and nonHispanic white men PMID: 19683737
- Soluble neuropilin-2Fc did not inhibit repulsion but increased the repellent effect of semaphorin 3F. PMID: 19790074
- Sema3F inhibits tumor development from MDA-MB-435 and MDA-MB-231 and but not MCF-7 or MDA-MB-68 cancer cells. It inhibits tumor angiogenesis in all of the formed tumors. The inhibition is correlated with the expression of neuropilins of the tumors cells. PMID: 18818766
顯示更多
收起更多
-
亞細胞定位:Secreted.
-
蛋白家族:Semaphorin family
-
組織特異性:Expressed abundantly but differentially in a variety of neural and nonneural tissues. There is high expression in mammary gland, kidney, fetal brain, and lung and lower expression in heart and liver.
-
數據庫鏈接:
Most popular with customers
-
-
YWHAB Recombinant Monoclonal Antibody
Applications: ELISA, WB, IHC, IF, FC
Species Reactivity: Human, Mouse, Rat
-
Phospho-YAP1 (S127) Recombinant Monoclonal Antibody
Applications: ELISA, WB, IHC
Species Reactivity: Human
-
-
-
-
-















