SEMA3A Antibody
-
中文名稱:SEMA3A兔多克隆抗體
-
貨號:CSB-PA613506LA01HU
-
規格:¥440
-
圖片:
-
Western Blot
Positive WB detected in: Hela whole cell lysate, 293 whole cell lysate, Rat kidney tissue, Mouse heart tissue, Mouse skeletal muscle tissue
All lanes: SEMA3A antibody at 3.6µg/ml
Secondary
Goat polyclonal to rabbit IgG at 1/50000 dilution
Predicted band size: 89 kDa
Observed band size: 89 kDa -
IHC image of CSB-PA613506LA01HU diluted at 1:300 and staining in paraffin-embedded human heart tissue performed on a Leica BondTM system. After dewaxing and hydration, antigen retrieval was mediated by high pressure in a citrate buffer (pH 6.0). Section was blocked with 10% normal goat serum 30min at RT. Then primary antibody (1% BSA) was incubated at 4°C overnight. The primary is detected by a biotinylated secondary antibody and visualized using an HRP conjugated SP system.
-
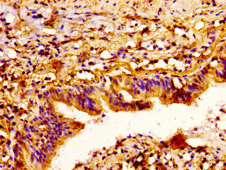
IHC image of CSB-PA613506LA01HU diluted at 1:300 and staining in paraffin-embedded human lung cancer performed on a Leica BondTM system. After dewaxing and hydration, antigen retrieval was mediated by high pressure in a citrate buffer (pH 6.0). Section was blocked with 10% normal goat serum 30min at RT. Then primary antibody (1% BSA) was incubated at 4°C overnight. The primary is detected by a biotinylated secondary antibody and visualized using an HRP conjugated ABC system.
-
-
其他:
產品詳情
-
產品名稱:Rabbit anti-Homo sapiens (Human) SEMA3A Polyclonal antibody
-
Uniprot No.:
-
基因名:
-
別名:SEMA3A antibody; SEMAD antibody; Semaphorin-3A antibody; Semaphorin III antibody; Sema III antibody
-
宿主:Rabbit
-
反應種屬:Human, Rat, Mouse
-
免疫原:Recombinant Human Semaphorin-3A protein (357-445AA)
-
免疫原種屬:Homo sapiens (Human)
-
標記方式:Non-conjugated
本頁面中的產品,SEMA3A Antibody (CSB-PA613506LA01HU),的標記方式是Non-conjugated。對于SEMA3A Antibody,我們還提供其他標記。見下表:
-
克隆類型:Polyclonal
-
抗體亞型:IgG
-
純化方式:>95%, Protein G purified
-
濃度:It differs from different batches. Please contact us to confirm it.
-
保存緩沖液:Preservative: 0.03% Proclin 300
Constituents: 50% Glycerol, 0.01M PBS, pH 7.4 -
產品提供形式:Liquid
-
應用范圍:ELISA, WB, IHC
-
推薦稀釋比:
Application Recommended Dilution WB 1:500-1:5000 IHC 1:200-1:500 -
Protocols:
-
儲存條件:Upon receipt, store at -20°C or -80°C. Avoid repeated freeze.
-
貨期:Basically, we can dispatch the products out in 1-3 working days after receiving your orders. Delivery time maybe differs from different purchasing way or location, please kindly consult your local distributors for specific delivery time.
-
用途:For Research Use Only. Not for use in diagnostic or therapeutic procedures.
相關產品
靶點詳情
-
功能:Involved in the development of the olfactory system and in neuronal control of puberty. Induces the collapse and paralysis of neuronal growth cones. Could serve as a ligand that guides specific growth cones by a motility-inhibiting mechanism. Binds to the complex neuropilin-1/plexin-1.
-
基因功能參考文獻:
- Semaphorin 3A is overexpressed in urothelial cancer patients, as evidenced both in its presence in urine and in bladder tissue. PMID: 29288007
- the inhibitory effect of Sema3C on microcapillary formation by human umbilical vein endothelial cells could be abrogated upon mutation at the Sema3C basic domain within putative furin cleavage site 742RNRR745, indicating that this site was essential for the Sema3 biological activity. PMID: 30304095
- Results provide evidence that SEMA3A is highly expressed in glioblastoma (GBM) compared to non-neoplastic brain tissues and SEMA3A signaling axis promotes GBM growth and invasion. PMID: 29129044
- these findings shows that miR-362 promotes lung cancer metastasis through downregulation of Sema3A PMID: 30155491
- These findings indicate a regulatory mechanism and a proapoptotic function of aberrant Sema3A signaling in Osteoarthritis (OA) chondrocytes, and suggest that targeting Sema3A signaling might interfere OA pathogenesis. PMID: 29111592
- increased concentrations of urinary SEMA-3A and urinary Netrin-1 are found in urine from children with severe hydronephrosis and that their concentrations are related to the degree of obstruction. PMID: 29199452
- Advanced peri-implantitis lesions showed higher levels of gene expression for Sem3A and Sem4D and lower levels of Sem4A in comparison to tissues obtained from a healthy dental implant. PMID: 29763494
- clinical samples from apical periodontitis patients were obtained to analyse the expression of Sema3A/Nrp1. These results indicated that the bone destruction level expanded from days 7 to 35 PMID: 29457037
- study demonstrates that Sema3E/plexinD1 inhibits proliferation and migration of vascular smooth muscle cells via inactivation of Rap1-AKT signalling pathways PMID: 29016743
- Results showed a preferential association of NRP1 with SEMA3A, suggesting that SEMA3A can partially reverse the effects caused by the VEGFA preventing its binding with the NRP1 receptor. PMID: 28636974
- Our observation of a second case supports the notion that bi-allelic mutations in SEMA3A cause an autosomal recessive type of syndromic short stature. PMID: 28075028
- the upregulation of SEMA3A in hepatocellular carcinoma (HCC)cells promoted tumor growth and progression in an HCC mouse model. These results indicate that SEMA3A enhances CapG, galectin-3, enolase 2 and EpCAM expression to promote HCC progression and is a potential therapeutic target for HCC. PMID: 28498470
- Sema3A as a novel regulator of airway smooth cell proliferation by suppressing Rac1, GSK-3beta and STAT3 signaling mediated by Nrp1. PMID: 27791986
- provide an easy and reproducible method to analyze growth cone sensitivity to the prototypic guidance molecule family class 3 semaphorin PMID: 27787850
- Measuring electrical impedance allows real-time monitoring of changes in endothelial cell morphology and adhesion induced by SEMA3E via plexin D1 PMID: 27787852
- describe a method where in vitro cultures of growth cones are incubated with these ligands in the presence or absence of Sema3A, followed by stripping of remaining ligand on cell-surface and analysis by immunofluorescence techniques PMID: 27787860
- Semaphorin 3A increased tumor-infiltrating macrophages (TAM) infiltration and promoted hepatocellular carcinoma (HCC) progression. Semaphorin 3A expression alone, or combined with the number of TAMs, is a new prognostic factor and potential target for the treatment of HCC. PMID: 27351132
- Significant genetic risk for Hirschsprung disease (HSCR) was imparted by rs2435357 and rs2506030 at RET and by rs12707682 at SEMA3 in a Chinese population. No evidence was found of a genetic association between HSCR and either of the NRG1 SNPs rs7835688 and rs16879552, at either allele or genotype level. PMID: 27203398
- rs139438618 at the semaphorin 3A locus was significantly associated with Alcohol Dependence and Major Depression comorbidity in African Americans. There was no significant association identified in European American participants. PMID: 29071344
- Serum level of Sema3A taken from diagnosed celiac without gluten-free diet was higher significantly than healthy controls. PMID: 28502679
- Sema3A serum levels and the expression of sema3A on Tregs was significantly lower in patients with moderate to severe asthma when compared to healthy individuals. PMID: 28502680
- Sema3a-Nrp2 signaling along an unrecognized pancreatic developmental axis constitutes a chemoattractant system essential for generating the hallmark morphogenetic properties of pancreatic islets. PMID: 28893946
- EV-delivered Sema3A orchestrates loss of barrier integrity in glioblastoma PMID: 26364614
- IL6 underexpression is associated with Breast Cancer. PMID: 27197153
- We also demonstrate that the effects of RET and NRG1 are universal across European and Asian ancestries. In contrast, we detected a European-specific association of a low-frequency variant, rs80227144, in SEMA3. Conditional analyses on the lead SNPs revealed a secondary association signal, corresponding to an Asian-specific, low-frequency missense variant encoding RET p.Asp489Asn PMID: 27702942
- Semaphorin3A serum concentrations were similar in ankylosing spondylitis patients and controls and were not altered on treatment in anti-TNF agents. PMID: 27782869
- The self-renewal ability abolished by Sema3a knockdown could not be recovered by exogenous addition of recombinant SEMA3A. In addition, the activity of mammalian target of rapamycin complex 1 (mTORC1) and the expression of its substrate p70S6K1 were also decreased. These results demonstrate that Sema3a is a potential therapeutic target in eradication of CSCs. PMID: 27769863
- Study shows a significant reduction of the serum Sema3A level and its mRNA expression in peripheral blood mononuclear cells in patients with relapsing-remitting multiple sclerosis compared with normal individuals. PMID: 28188869
- Genetic analyses of susceptibility alleles at the SEMA3 locus in families of Caucasian ancestry show that a significant genetic risk can be detected at SEMA3 rs11766001, rs12707682, and rs1583147 variants. PMID: 27469503
- Sema3A expression on T and B regulatory lymphocytes is low in familial Mediterranean fever patients during attack and in smoldering disease compared to the expression in remission and healthy controls. PMID: 27157528
- Tumor cells decrease Sema3a mRNA expression in osteoblasts in an mTORC1-dependent manner. PMID: 26865270
- Semaphorin-3a, neuropilin-1 and plexin-A1 are axonal guidance molecules that have been recently implicated in regulating bone metabolism. PMID: 26602825
- Sema3A and sema7A expression correlated with the inflammatory activity of the multiple sclerosis (MS) lesions, suggesting their involvement in the immunological process that takes place in MS. PMID: 26432853
- Sema3A expression is low in systemic sclerosis serum and more specifically on regulatory T cells. PMID: 25895648
- Findings show the involvement of amphiregulin and semaphorin-3A in the improvement of skin innervations and penetration of nerve fibers into the epidermis. PMID: 26201903
- LL-37 induces SeMA3A expression in epidermal keratinocytes. Possible therapy for pruritus in atopic dermatitis. PMID: 26121211
- Vital roles for semaphorin signaling in vascular patterning and cardiac morphogenesis have been demonstrated, and impaired semaphorin signaling has been associated with various human cardiovascular disorders. PMID: 25651171
- our data suggest that MCF-7 cell-derived Sema 3A plays a causative role in osteoblastic bone metastases progression by stimulating osteoblastic differentiation. PMID: 25973043
- Increased urinary SEMA3A is independently associated with CKD in both diabetic and non diabetic hypertensive patients. PMID: 24756974
- Despite limited research in this field, our aim is to promote further understanding of the function of Sema3A in the skeletal system. PMID: 25955818
- Genetic risk for Hirschsprung disease in individuals of European ancestry can only be detected at RET (rs2435357 and rs2506030) and at SEMA3 (rs11766001), but not at NRG1. PMID: 25666438
- Serum semaphoring 3A levels are reduced after hemodialysis. PMID: 25560370
- Decreased semaphorin 3A expression is associated with a poor prognosis in patients with epithelial ovarian carcinoma PMID: 25812535
- although plexin-A4 overexpression restored Sema3A signaling in plexin-A1-silenced cells, it failed to restore Sema3B signaling in plexin-A2-silenced cells. PMID: 25335892
- the general effects of Sema3A on bone metabolism are weak and not clear as evidenced by lack of association between this parameter and bone mineral densities and osteoporotic fractures PMID: 25050899
- Semaphorin-3A involvement in autoimmune responses, diabetic nephropathy and diabetic retinopathy is discussed. PMID: 25331060
- These findings indicate that excess sema3a promotes severe diabetic nephropathy and identifies novel potential therapeutic targets for diabetic nephropathy. PMID: 25475434
- Data proposed a novel signaling mechanism by which Sema 3A regulates PTEN, FOXO 3a and MelCAM in a coordinated manner that leads to suppression of breast cancer growth and angiogenesis. PMID: 24727891
- These studies demonstrate that semaphorin 3A and netrin-1 can be useful early diagnostic biomarkers of AKI after liver transplantation. PMID: 25289643
- These results suggest that Sema3A may possess the function to convert periodontal ligament cells into mesenchymal-stem-like cells. PMID: 24380401
顯示更多
收起更多
-
相關疾病:Hypogonadotropic hypogonadism 16 with or without anosmia (HH16)
-
亞細胞定位:Secreted.
-
蛋白家族:Semaphorin family
-
組織特異性:Expressed in the dorsal root ganglia.
-
數據庫鏈接:
Most popular with customers
-
-
YWHAB Recombinant Monoclonal Antibody
Applications: ELISA, WB, IHC, IF, FC
Species Reactivity: Human, Mouse, Rat
-
Phospho-YAP1 (S127) Recombinant Monoclonal Antibody
Applications: ELISA, WB, IHC
Species Reactivity: Human
-
-
-
-
-















