SEM1 Antibody
-
中文名稱:SEM1兔多克隆抗體
-
貨號:CSB-PA021263LA01HU
-
規格:¥440
-
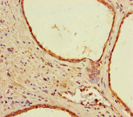
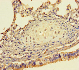
圖片:
-
其他:
產品詳情
-
產品名稱:Rabbit anti-Homo sapiens (Human) SEM1 Polyclonal antibody
-
Uniprot No.:
-
基因名:SEM1
-
別名:SEM1 antibody; C7orf76 antibody; DSS1 antibody; SHFDG1 antibody; SHFM1 antibody; 26S proteasome complex subunit SEM1 antibody; 26S proteasome complex subunit DSS1 antibody; Deleted in split hand/split foot protein 1 antibody; Split hand/foot deleted protein 1 antibody; Split hand/foot malformation type 1 protein antibody
-
宿主:Rabbit
-
反應種屬:Human
-
免疫原:Recombinant Human 26S proteasome complex subunit SEM1 protein (1-70AA)
-
免疫原種屬:Homo sapiens (Human)
-
標記方式:Non-conjugated
本頁面中的產品,SEM1 Antibody (CSB-PA021263LA01HU),的標記方式是Non-conjugated。對于SEM1 Antibody,我們還提供其他標記。見下表:
-
克隆類型:Polyclonal
-
抗體亞型:IgG
-
純化方式:>95%, Protein G purified
-
濃度:It differs from different batches. Please contact us to confirm it.
-
保存緩沖液:Preservative: 0.03% Proclin 300
Constituents: 50% Glycerol, 0.01M PBS, PH 7.4 -
產品提供形式:Liquid
-
應用范圍:ELISA, IHC
-
推薦稀釋比:
Application Recommended Dilution IHC 1:20-1:200 -
Protocols:
-
儲存條件:Upon receipt, store at -20°C or -80°C. Avoid repeated freeze.
-
貨期:Basically, we can dispatch the products out in 1-3 working days after receiving your orders. Delivery time maybe differs from different purchasing way or location, please kindly consult your local distributors for specific delivery time.
-
用途:For Research Use Only. Not for use in diagnostic or therapeutic procedures.
相關產品
靶點詳情
-
功能:Component of the 26S proteasome, a multiprotein complex involved in the ATP-dependent degradation of ubiquitinated proteins. This complex plays a key role in the maintenance of protein homeostasis by removing misfolded or damaged proteins, which could impair cellular functions, and by removing proteins whose functions are no longer required. Therefore, the proteasome participates in numerous cellular processes, including cell cycle progression, apoptosis, or DNA damage repair. Component of the TREX-2 complex (transcription and export complex 2), composed of at least ENY2, GANP, PCID2, SEM1, and either centrin CETN2 or CETN3. The TREX-2 complex functions in docking export-competent ribonucleoprotein particles (mRNPs) to the nuclear entrance of the nuclear pore complex (nuclear basket). TREX-2 participates in mRNA export and accurate chromatin positioning in the nucleus by tethering genes to the nuclear periphery. Binds and stabilizes BRCA2 and is thus involved in the control of R-loop-associated DNA damage and thus transcription-associated genomic instability. R-loop accumulation increases in SEM1-depleted cells.
-
基因功能參考文獻:
- Promoter methylation plays a role in modulating DSS1 gene expression. Promoter hypomethylation is a frequent event in melanoma and squamous cell carcinoma and is closely linked to poor prognosis. PMID: 27825810
- DSS1 is a multifunctional and intrinsically disordered protein. (Review) PMID: 26944332
- three phenotypic subregions within the SHFM1 locus link both size and genomic position of the chromosomal aberrations to the clinical variability seen in SHFM1 patients PMID: 26839112
- SHFM1 confers cell cycle progression and resistance to p53 stabilizing drugs in gastric cancer cells. PMID: 25697906
- by targeting RPA and mimicking DNA, DSS1 functions with BRCA2 in a two-component homologous recombination mediator complex in genome maintenance and tumor suppression PMID: 26145171
- Breast cancers with high DSS1 expression have worse prognosis and shorter relapse-free survival times. PMID: 24289229
- Mutation screening of the SHFM1 gene in familial breast/ovarian cancer cases. PMID: 23371468
- DSS1 protein is critically involved in the maintenance of the transformed phenotype in cervical cancer cells, and that it might be a specific, robust and reliable marker for early detection, diagnosis and trea PMID: 23024267
- DSS1 has a role in homologous recombinational repair in human cells PMID: 20817001
- p63 binds to an enhancer element in the SHFM1 locus and this element controls expression of DLX6 and DLX5 which are important for limb development. PMID: 20808887
- The DSS1 c.143G>A variant is associated with reduced DSS1 expression at RNA and protein levels and altered traffic of the DSS1 protein from the cytoplasm to the nucleus. These alterations could impair DSS1 function and may be implicated in skin cancer. PMID: 20220765
- 3.1 angstrom crystal structure of approximately 90-kilodalton BRCA2 domain bound to DSS1, which reveals three oligonucleotide-binding (OB) folds and a helix-turn-helix (HTH) motif PMID: 12228710
- DSS1, responsible for autism, was studied in a linkage disequilibrium model. PMID: 17406092
- DSS1 has been shown to interact with components of the 26S proteasome in Saccharomyces cerevisiae and in human tumour cells PMID: 17563742
- Data suggest that the R3IM motif of DSS1, in conjunction with the complexes of 19S RP and 20S core particle, regulates proteasome interaction through RPN3/S3 molecule, and utilizes a specific subset of poly-ubiquitinated p53 as a substrate. PMID: 18775730
顯示更多
收起更多
-
亞細胞定位:Nucleus.
-
蛋白家族:DSS1/SEM1 family
-
組織特異性:Expressed in limb bud, craniofacial primordia and skin.
-
數據庫鏈接:
Most popular with customers
-
-
YWHAB Recombinant Monoclonal Antibody
Applications: ELISA, WB, IHC, IF, FC
Species Reactivity: Human, Mouse, Rat
-
Phospho-YAP1 (S127) Recombinant Monoclonal Antibody
Applications: ELISA, WB, IHC
Species Reactivity: Human
-
-
-
-
-















