SEC14L2 Antibody
-
中文名稱:SEC14L2兔多克隆抗體
-
貨號:CSB-PA020937LA01HU
-
規格:¥440
-
圖片:
-
Western Blot
Positive WB detected in: PC-3 whole cell lysate
All lanes: SEC14L2 antibody at 4.28µg/ml
Secondary
Goat polyclonal to rabbit IgG at 1/50000 dilution
Predicted band size: 47, 45, 37 kDa
Observed band size: 47 kDa -
IHC image of CSB-PA020937LA01HU diluted at 1:400 and staining in paraffin-embedded human prostate tissue performed on a Leica BondTM system. After dewaxing and hydration, antigen retrieval was mediated by high pressure in a citrate buffer (pH 6.0). Section was blocked with 10% normal goat serum 30min at RT. Then primary antibody (1% BSA) was incubated at 4°C overnight. The primary is detected by a biotinylated secondary antibody and visualized using an HRP conjugated SP system.
-
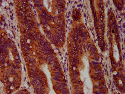
IHC image of CSB-PA020937LA01HU diluted at 1:400 and staining in paraffin-embedded human colon cancer performed on a Leica BondTM system. After dewaxing and hydration, antigen retrieval was mediated by high pressure in a citrate buffer (pH 6.0). Section was blocked with 10% normal goat serum 30min at RT. Then primary antibody (1% BSA) was incubated at 4°C overnight. The primary is detected by a biotinylated secondary antibody and visualized using an HRP conjugated SP system.
-
Immunofluorescence staining of Hela cells with CSB-PA020937LA01HU at 1:133, counter-stained with DAPI. The cells were fixed in 4% formaldehyde, permeabilized using 0.2% Triton X-100 and blocked in 10% normal Goat Serum. The cells were then incubated with the antibody overnight at 4°C. The secondary antibody was Alexa Fluor 488-congugated AffiniPure Goat Anti-Rabbit IgG(H+L).
-
-
其他:
產品詳情
-
產品名稱:Rabbit anti-Homo sapiens (Human) SEC14L2 Polyclonal antibody
-
Uniprot No.:
-
基因名:SEC14L2
-
別名:Alpha tocopherol associated protein antibody; Alpha-tocopherol-associated protein antibody; C22orf6 antibody; hTAP antibody; KIAA1186 antibody; KIAA1658 antibody; MGC65053 antibody; OTTHUMP00000198972 antibody; OTTHUMP00000198973 antibody; OTTHUMP00000198974 antibody; OTTHUMP00000199021 antibody; S14L2_HUMAN antibody; SEC14 (S. cerevisiae) like 2 antibody; SEC14 like 2 (S. cerevisiae) antibody; SEC14 like protein 2 antibody; SEC14-like protein 2 antibody; Sec14l2 antibody; SPF antibody; Squalene transfer protein antibody; Supernatant protein factor antibody; TAP antibody; TAP1 antibody; tocopherol-associated protein antibody
-
宿主:Rabbit
-
反應種屬:Human
-
免疫原:Recombinant Human SEC14-like protein 2 protein (233-358AA)
-
免疫原種屬:Homo sapiens (Human)
-
標記方式:Non-conjugated
本頁面中的產品,SEC14L2 Antibody (CSB-PA020937LA01HU),的標記方式是Non-conjugated。對于SEC14L2 Antibody,我們還提供其他標記。見下表:
-
克隆類型:Polyclonal
-
抗體亞型:IgG
-
純化方式:>95%, Protein G purified
-
濃度:It differs from different batches. Please contact us to confirm it.
-
保存緩沖液:Preservative: 0.03% Proclin 300
Constituents: 50% Glycerol, 0.01M PBS, pH 7.4 -
產品提供形式:Liquid
-
應用范圍:ELISA, WB, IHC, IF
-
推薦稀釋比:
Application Recommended Dilution WB 1:500-1:5000 IHC 1:200-1:500 IF 1:50-1:200 -
Protocols:
-
儲存條件:Upon receipt, store at -20°C or -80°C. Avoid repeated freeze.
-
貨期:Basically, we can dispatch the products out in 1-3 working days after receiving your orders. Delivery time maybe differs from different purchasing way or location, please kindly consult your local distributors for specific delivery time.
-
用途:For Research Use Only. Not for use in diagnostic or therapeutic procedures.
相關產品
靶點詳情
-
功能:Carrier protein. Binds to some hydrophobic molecules and promotes their transfer between the different cellular sites. Binds with high affinity to alpha-tocopherol. Also binds with a weaker affinity to other tocopherols and to tocotrienols. May have a transcriptional activatory activity via its association with alpha-tocopherol. Probably recognizes and binds some squalene structure, suggesting that it may regulate cholesterol biosynthesis by increasing the transfer of squalene to a metabolic active pool in the cell.
-
基因功能參考文獻:
- Here, the authors report that the zebrafish/human phosphatidylinositol transfer protein Sec14l3/SEC14L2 act as GTPase proteins to transduce Wnt signals from Frizzled to phospholipase C (PLC). PMID: 28463110
- hTAP1 reduces the in vitro activity of the phosphatidylinositol-3-kinase gamma (PI3Kgamma) indicating the formation of a stalled/inactive hTAP1/PI3Kgamma heterodimer. PMID: 24983950
- PI3Kgamma-induced VEGF expression was reduced when the human tocopherol-associated protein 1 (hTAP1/SEC14L2) was overexpressed suggesting formation of an inactive PI3Kgamma/hTAP1 heterodimer. PMID: 25290554
- SEC14L2 enabled RNA replication of diverse HCV genotypes in several human hepatoma cell lines PMID: 26266980
- novel association between the rs737723 polymorphism (SEC14L2/TAP) and higher primary open-angle glaucoma risk PMID: 23401652
- TAP expression was significantly correlated with Her2/neu receptor expression and breast cancer stage. PMID: 23411208
- Discusses cloning of rat SEC14-like protein 3 and mentions three human SPF-related genes, known as SEC14-like protein 1, 2 and 3. PMID: 15033454
- SPF has two domain topology, and the ligand binding cavity has a peculiar horseshoe-like shape PMID: 12429094
- phosphorylation enhances its ability to stimulate microsomal squalene monooxygenase; phosphorylation may provide a means for the rapid short term modulation of cholesterol synthesis PMID: 12454003
- Data report the three-dimensional crystal structure of human supernatant protein factor in complex with RRR-alpha-tocopherylquinone, the major physiological oxidation product of RRR-alpha-tocopherol, at a resolution of 1.95A. PMID: 12972248
- TAP not only mediates vitamin E absorption to facilitate vitamin E antiproliferation effect in prostate cancer cells, but also functions like a tumor suppressor gene to control cancer cell viability through a non-vitamin E manner. PMID: 16267002
- reduced expression of TAP was associated with the cell proliferation status of prostate cancer, adverse pathological parameters and the increased risk of recurrence PMID: 17334589
- Genetic variation in TTPA and SEC14L2 is associated with serum alpha-tocopherol but does not have a direct effect on prostate cancer when vitamin E is administered. PMID: 19190344
- These findings are consistent with alpha-tocopherol-associated protein acting as an antiproliferative factor in estrogen-receptor-positive luminal cells in normal/benign breast tissue PMID: 19305383
- Fndings raise the possibility that TAP/Sec14L2 may serve as a tumor suppressor in breast carcinogenesis. PMID: 19909011
顯示更多
收起更多
-
亞細胞定位:Cytoplasm. Nucleus. Note=Cytoplasmic in absence of alpha-tocopherol, and nuclear in presence of alpha-tocopherol.
-
組織特異性:Widely expressed. Strong expression in liver, brain and prostate.
-
數據庫鏈接:
Most popular with customers
-
-
YWHAB Recombinant Monoclonal Antibody
Applications: ELISA, WB, IHC, IF, FC
Species Reactivity: Human, Mouse, Rat
-
Phospho-YAP1 (S127) Recombinant Monoclonal Antibody
Applications: ELISA, WB, IHC
Species Reactivity: Human
-
-
-
-
-















