SDCBP Antibody
-
中文名稱:SDCBP兔多克隆抗體
-
貨號:CSB-PA441389
-
規格:¥1100
-
圖片:
-
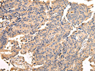
The image on the left is immunohistochemistry of paraffin-embedded Human prostate cancer tissue using CSB-PA441389(SDCBP Antibody) at dilution 1/40, on the right is treated with fusion protein. (Original magnification: ×200)
-
The image on the left is immunohistochemistry of paraffin-embedded Human brain tissue using CSB-PA441389(SDCBP Antibody) at dilution 1/40, on the right is treated with fusion protein. (Original magnification: ×200)
-
Gel: 8%SDS-PAGE, Lysate: 40 μg, Lane 1-2: Human fetal brain tissue and hela cell, Primary antibody: CSB-PA441389(SDCBP Antibody) at dilution 1/450 dilution, Secondary antibody: Goat anti rabbit IgG at 1/8000 dilution, Exposure time: 3 seconds
-
-
其他:
產品詳情
-
Uniprot No.:
-
基因名:SDCBP
-
別名:MDA-9 antibody; MDA9 antibody; Melanoma differentiation-associated protein 9 antibody; Pro-TGF-alpha cytoplasmic domain-interacting protein 18 antibody; Scaffold protein Pbp1 antibody; SDCB1_HUMAN antibody; SDCBP antibody; ST1 antibody; SYCL antibody; Syndecan binding protein (syntenin) antibody; Syndecan binding protein 1 antibody; Syndecan-binding protein 1 antibody; Syntenin 1 antibody; Syntenin-1 antibody; TACIP18 antibody
-
宿主:Rabbit
-
反應種屬:Human,Mouse,Rat
-
免疫原:Full length fusion protein
-
免疫原種屬:Homo sapiens (Human)
-
標記方式:Non-conjugated
-
抗體亞型:IgG
-
純化方式:Antigen affinity purification
-
濃度:It differs from different batches. Please contact us to confirm it.
-
保存緩沖液:-20°C, pH7.4 PBS, 0.05% NaN3, 40% Glycerol
-
產品提供形式:Liquid
-
應用范圍:ELISA,WB,IHC
-
推薦稀釋比:
Application Recommended Dilution ELISA 1:2000-1:5000 WB 1:500-1:2000 IHC 1:30-1:150 -
Protocols:
-
儲存條件:Upon receipt, store at -20°C or -80°C. Avoid repeated freeze.
-
貨期:Basically, we can dispatch the products out in 1-3 working days after receiving your orders. Delivery time maybe differs from different purchasing way or location, please kindly consult your local distributors for specific delivery time.
-
用途:For Research Use Only. Not for use in diagnostic or therapeutic procedures.
相關產品
靶點詳情
-
功能:Multifunctional adapter protein involved in diverse array of functions including trafficking of transmembrane proteins, neuro and immunomodulation, exosome biogenesis, and tumorigenesis. Positively regulates TGFB1-mediated SMAD2/3 activation and TGFB1-induced epithelial-to-mesenchymal transition (EMT) and cell migration in various cell types. May increase TGFB1 signaling by enhancing cell-surface expression of TGFR1 by preventing the interaction between TGFR1 and CAV1 and subsequent CAV1-dependent internalization and degradation of TGFR1. In concert with SDC1/4 and PDCD6IP, regulates exosome biogenesis. Regulates migration, growth, proliferation, and cell cycle progression in a variety of cancer types. In adherens junctions may function to couple syndecans to cytoskeletal proteins or signaling components. Seems to couple transcription factor SOX4 to the IL-5 receptor (IL5RA). May also play a role in vesicular trafficking. Seems to be required for the targeting of TGFA to the cell surface in the early secretory pathway.
-
基因功能參考文獻:
- Studied role of melanoma differentiation associated protein-9 (MDA-9)/Syntenin in autophagy of anoikis-resistant glioma stem cells. PMID: 29760085
- Frizzled 7 and phosphatidylinositol 4,5-diphosphate binding by syntenin PDZ2 domain supports Frizzled 7 trafficking and signaling. PMID: 27386966
- Syntenin mediates SRC function in exosomal cell-to-cell communication. PMID: 29109268
- These findings demonstrate that syntenin promotes VEGF signaling and, through its PDZ-dependent interaction with ephrin-B2, enhances VEGF-mediated VEGFR2 endocytosis and subsequent downstream signaling and angiogenesis in endothelial cells PMID: 28418925
- Syntenin-1 promotes invasion and progression of squamous cell carcinomas of the head and neck. PMID: 27811365
- MDA-9 upregulated active levels of known modulators of epithelial mesenchymal transformation, the small GTPases RhoA and Cdc42, via TGFbeta1, promoting lung metastasis of breast cancer cells. PMID: 27863394
- a unique function of MDA-9 as a facilitator and determinant of glioma stemness and survival. PMID: 27472461
- SDCBP might be an important marker for identifying Triple negative breast cancer cases that are suitable for dasatinib therapy. PMID: 28141839
- ACTB, CDKN1B, GAPDH, GRB2, RHOA and SDCBP are potent reference genes in neuroendocrine tumors of the lung. PMID: 27802291
- In summary, the study identifies miR-216b as a regulator of SDCBP expression in breast cancer which can potentially be targeted for developing newer therapies for the effective treatment of this killer disease. PMID: 27720715
- Data show that patients with high MDA-9/Syntenin and high Slug expressions were associated with poor overall survival compared to those with low expression in lung adenocarcinomas. PMID: 26561205
- Data suggest that syntenin/SDCBP PDZ domains 1 and 2 recognize a broad range of peptide ligands with preferences for nectin-1, hydrophobic amino acid motifs, and cryptic internal ligands/peptide fragments. PMID: 26787460
- these findings demonstrate that syntenin may act as an important positive regulator of TGF-b signaling by regulating caveolin-1-mediated internalization of TbRI; thus, providing a novel function for syntenin that is linked to cancer progression. PMID: 25893292
- To predict mda-9's association with extracellular matrix organization. PMID: 26093898
- MDA-9, co-expressed with GRP78, as a melanoma protein associated with lymph node metastasis. Investigating how MDA-9 and GRP78 interact to contribute to melanoma metastasis and disease progression could reveal new potential avenues of targeted therapy PMID: 25480418
- Syntenin-ALIX exosome biogenesis and budding into multivesicular bodies are controlled by ARF6 and PLD2. PMID: 24637612
- High MDA-9 expresison is associated with glioma. PMID: 24305713
- ALCAM stably interacts with actin by binding to syntenin-1 and ezrin. PMID: 24662291
- Our findings indicate that MDA-9/Syntenin might provide an attractive target for developing detection, monitoring, and therapeutic strategies for managing Urothelial cell carcinoma . PMID: 23873690
- Results suggested that SDCBP played an important role in tumor growth of ER-negative breast cancers. PMID: 23533663
- Findings establish RKIP as an inhibitor of MDA-9-dependent melanoma metastasis. PMID: 23066033
- Our studies delineate an unanticipated cell nonautonomous function of MDA-9/syntenin in the context of angiogenesis, which may directly contribute to its metastasis-promoting properties PMID: 23233738
- results indicate Mda-9/syntenin overexpression could activate FAK-JNK and FAK-Akt signaling and then enhance the migration capacity of human brain glioma cells. PMID: 22938480
- Data show that syntenin-1 is recruited to the plasma membrane during HIV-1 attachment. PMID: 22535526
- the key role of syntenin-1 is the generation of functional asymmetry in T cells and provide a novel mechanistic link between receptor activation and actin polymerization and accumulation in response to extracellular stimulation. PMID: 22349701
- our data demonstrate that the Sox4 C-terminal domain regulates polyubiquitin-independent proteasomal degradation of Sox4 that can be modulated by interaction with syntenin PMID: 21986941
- MDA-9/syntenin functions as a positive regulator of melanoma progression and metastasis through interactions with c-Src and promotes the formation of an active FAK/c-Src signaling complex leading to NF-k B and matrix metalloproteinase activation. Review. PMID: 22201728
- mda-9/syntenin is involved in uveal melanoma progression PMID: 22267972
- ubiquitin-dependent pathway involving syntenin-1 that is regulated by Ulk1. PMID: 21949238
- mda-9/syntenin, a positive regulator of cancer metastasis, regulates the activation of Akt (also known as protein kinase B) by facilitating ILK adaptor function during adhesion to type I collagen (COL-I) in human breast cancer cells. PMID: 21828040
- showed that overexpression of wild-type MDA-9/syntenin enhances formation of filopodia, whereas MDA-9/syntenin lacking the PDZ domain inhibits the formation of filopodia PMID: 21359963
- ST1 were up-regulated with the malignancy of prostate cancer cell lines and have their potential as serum biomarkers for indicating the developmental stage of prostate cancer. PMID: 20233700
- Large/zonula occludens-1 domains of MDA-9 represent a promosing potential therapeutic target for preventing cancer progression and metastatic spread PMID: 20228839
- Data show that the functional properties of syntenin are a result of independent interactions with target peptides. PMID: 12679023
- melanoma metastasis is associated with increased expression of the syntenin gene which may participate in signal transduction and cell adhesion via the multifunctional protein-binding properties of its tandem PDZ domains PMID: 15254681
- eIF5A may be a regulator of p53, and syntenin might regulate p53 by balancing the regulation of eIF5A signaling to p53 for apoptosis PMID: 15371445
- This review discusses the identification, structure and function of mda-9/syntenin and delineates future studies to address its role in regulating key physiological and pathological processes. PMID: 15518882
- Study provides the first direct link between mda-9/syntenin expression and tumor cell dissemination in vivo and indicates that mda-9/syntenin expression activates specific signal transduction pathways. PMID: 16322237
- Together, these results suggest that downregulation of syntenin by RNA interference could provide a means of inhibiting tumor invasion and possibly metastasis in different cancers, and point to syntenin as a potential cancer biomarker and drug target. PMID: 17451681
- Syntenin binding to Delta1 plays a dual role in promoting intercellular adhesion and regulating Notch signalling. PMID: 17666427
- Suggest that syntenin is a physiological suppressor of TRAF6 and plays an inhibitory role in IL-1R- and TLR4- mediated NF-kappaB activation pathways. PMID: 18234474
- Syntenin stimulates c-jun phosphorylation and modulates Frizzled 7 signaling, in particular the PKCalpha/CDC42 noncanonical Wnt signaling cascade. PMID: 18256285
- data are compatible with a model wherein interaction of MDA-9/syntenin with c-Src promotes the formation of an active FAK/c-Src signaling complex, leading to enhanced tumor cell invasion and metastatic spread PMID: 18832467
- Syntenin interacts with the aminoacyl tRNA synthetase complex in a lysyl-tRNA synthetase-dependent manner. PMID: 18839981
- Syntenin-1 serves as one of IgA-inducing factors for B cells. PMID: 19592421
- Syntenin forms complexes with multiple IL-5Ralpha chains PMID: 19654410
顯示更多
收起更多
-
亞細胞定位:Cell junction, focal adhesion. Cell junction, adherens junction. Cell membrane; Peripheral membrane protein. Endoplasmic reticulum membrane; Peripheral membrane protein. Nucleus. Melanosome. Cytoplasm, cytosol. Cytoplasm, cytoskeleton. Secreted, extracellular exosome. Membrane raft.
-
組織特異性:Expressed in lung cancers, including adenocarcinoma, squamous cell carcinoma and small-cell carcinoma (at protein level). Widely expressed. Expressed in fetal kidney, liver, lung and brain. In adult highest expression in heart and placenta.
-
數據庫鏈接:
Most popular with customers
-
-
YWHAB Recombinant Monoclonal Antibody
Applications: ELISA, WB, IHC, IF, FC
Species Reactivity: Human, Mouse, Rat
-
Phospho-YAP1 (S127) Recombinant Monoclonal Antibody
Applications: ELISA, WB, IHC
Species Reactivity: Human
-
-
-
-
-















