SCN9A Antibody
-
中文名稱:SCN9A兔多克隆抗體
-
貨號:CSB-PA167955
-
規格:¥1100
-
圖片:
-
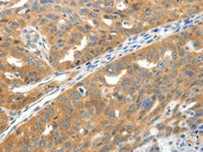
The image on the left is immunohistochemistry of paraffin-embedded Human ovarian cancer tissue using CSB-PA167955(SCN9A Antibody) at dilution 1/40, on the right is treated with synthetic peptide. (Original magnification: ×200)
-
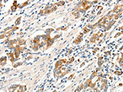
The image on the left is immunohistochemistry of paraffin-embedded Human gastric cancer tissue using CSB-PA167955(SCN9A Antibody) at dilution 1/40, on the right is treated with synthetic peptide. (Original magnification: ×200)
-
-
其他:
產品詳情
-
Uniprot No.:
-
基因名:
-
別名:ETHA antibody; GEFSP7 antibody; hNE Na antibody; hNE-Na antibody; hNENa antibody; NE NA antibody; NENA antibody; Neuroendocrine sodium channel antibody; Peripheral sodium channel 1 antibody; PN1 antibody; Scn9a antibody; SCN9A_HUMAN antibody; Sodium channel protein type 9 subunit alpha antibody; Sodium channel protein type IX subunit alpha antibody; Sodium channel voltage gated type IX alpha antibody; Sodium channel voltage gated type IX alpha polypeptide antibody; Sodium channel voltage gated type IX alpha subunit antibody; Voltage gated sodium channel alpha subunit Nav1.7 antibody; Voltage gated sodium channel subunit alpha Nav1 antibody; Voltage-gated sodium channel subunit alpha Nav1.7 antibody
-
宿主:Rabbit
-
反應種屬:Human
-
免疫原:Synthetic peptide of Human SCN9A
-
免疫原種屬:Homo sapiens (Human)
-
標記方式:Non-conjugated
-
抗體亞型:IgG
-
純化方式:Antigen affinity purification
-
濃度:It differs from different batches. Please contact us to confirm it.
-
保存緩沖液:-20°C, pH7.4 PBS, 0.05% NaN3, 40% Glycerol
-
產品提供形式:Liquid
-
應用范圍:ELISA,IHC
-
推薦稀釋比:
Application Recommended Dilution ELISA 1:2000-1:5000 IHC 1:50-1:200 -
Protocols:
-
儲存條件:Upon receipt, store at -20°C or -80°C. Avoid repeated freeze.
-
貨期:Basically, we can dispatch the products out in 1-3 working days after receiving your orders. Delivery time maybe differs from different purchasing way or location, please kindly consult your local distributors for specific delivery time.
-
用途:For Research Use Only. Not for use in diagnostic or therapeutic procedures.
相關產品
靶點詳情
-
功能:Mediates the voltage-dependent sodium ion permeability of excitable membranes. Assuming opened or closed conformations in response to the voltage difference across the membrane, the protein forms a sodium-selective channel through which Na(+) ions may pass in accordance with their electrochemical gradient. It is a tetrodotoxin-sensitive Na(+) channel isoform. Plays a role in pain mechanisms, especially in the development of inflammatory pain.
-
基因功能參考文獻:
- Nav1.7 is a substrate for Fyn kinase. PMID: 29790812
- This study demonstrated that the higher expression Nav1.7 in human Dorsal Root Ganglion Neurons. PMID: 28424991
- cross-talk between distinct CRMP2 posttranslational modifications is a key factor in determining NaV1.7 trafficking and localization PMID: 27940916
- Hereditary Small fiber neuropathy has been described with pathogenic mutations in sodium channels [Nav1.7 (mostly), which lead to hyperexcitability of dorsal root ganglions. These gain-of-function mutations result in degeneration of small fibers. PMID: 28639956
- Genetic polymorphisms of SCN9A are associated with protection for severe neuropathy induced by oxaliplatin in digestive cancer. PMID: 28103821
- the results of this study provide mechanistic evidence for a time-dependent increase in intracellular [Ca2+]i and energetic compromise in the neurites of dorsal root ganglia neurons expressing G856D mutant Nav1.7 channels. PMID: 27821467
- the FGF13/Nav1.7 complex is essential for sustaining the transmission of noxious heat signals PMID: 28162808
- This study showed that gain-of-function attributes at the channel level and differential effects of physiologically relevant thermal stimuli on the excitability of DRG neurons expressing mutant and WT Nav1.7 channels, suggesting a cellular mechanism for warmth-triggered pain episodes in Erythromelalgia patients. PMID: 27413160
- The four congenital insensitivity to pain families, while not closely related, belong to the same ethnic group and clan, and the SCN9A mutation may be specific, if not unique to this group PMID: 27747863
- A novel Nav1.9 mutation, p.Arg222His, was identified in patients with early-onset pain in distal extremities including joints and gastrointestinal disturbances, but was absent from an asymptomatic blood relative. PMID: 27503742
- Gain-of-function mutation of a voltage-gated sodium channel NaV1.7 associated with peripheral pain and impaired limb development PMID: 28381558
- Results indicate that Nav 1.7 promotes gastric cancer progression through MACC1-mediated upregulation of NHE1. PMID: 27529686
- This is the first study to demonstrate that binding of ProTx-II to the lipid membrane is directly linked to its potency as an hNaV1.7 channel inhibitor. PMID: 27311819
- report the engineering of highly potent and selective inhibitors of the Nav1.7 channel based on tarantula ceratotoxin-1 (CcoTx1). We utilized a combination of directed evolution, saturation mutagenesis, chemical modification, and rational drug design to obtain higher potency and selectivity to the Nav1.7 channel PMID: 27129258
- Mutant cycle analysis with modified saxitoxins reveals specific interactions critical to attaining high-affinity inhibition of human NaV1.7. PMID: 27162340
- Postoperative pain was affected by SCN9A genetic variability in gynecological surgical patients. PMID: 26752484
- Patients with the SCN9A mutation with inherited erythromelalgia were characterized for the pain phenotype among individuals. PMID: 26920677
- These findings provided evidence that the variability of basal pain sensitivity was associated with SCN9A polymorphisms in the general population. PMID: 26168879
- Nav1.7 deletion has profound effects on gene expression, leading to an upregulation of enkephalin precursor Penk mRNA and met-enkephalin protein in sensory neurons. PMID: 26634308
- Association of SCN9A variants with neuropathic pain and pain severity suggests a role of SCN9A in the disease etiology of neuropathic pain PMID: 25585270
- We report the case of a 6-year-old girl with a SCN9A mutation who presented with both gain of function and loss of function phenotypes, including congenital corneal anesthesia. PMID: 26486037
- the activity of mutant Nav1.7 channels in smooth muscle cells of skin vasculature and innervating sensory and sympathetic fibers contribute to the skin reddening PMID: 25957174
- The co-segregation of the I739V variant in the affected members of the family provides evidence, for the first time, that paroxysmal itch can be related to a mutation in sodium channel gene. PMID: 24820863
- Novel SCN9A mutations altering Nav1.7 channel activation were found families with inherited erythromelalgia, paroxysmal extreme pain disorder and congenital insensitivity to pain. PMID: 25995458
- NaV1.7 is expressed in both dorsal root ganglion neurons and pancreatic beta cells.Vulnerability of dorsal root ganglia neurons due to NaV1.7 mutations increases risk of neuropathy. PMID: 25008557
- Our study demonstrates an example of predicting the treatment effect of mexiletine in patients suffering from a specific gain-of-function mutation in NaV1.7 PMID: 24866741
- Nav1.7 mutations are associated with pain syndromes including erythromelalgia. PMID: 25575597
- The novel p.L1612P Nav1.7 mutation expands the paroxysmal extreme pain disorder spectrum with a unique combination of clinical symptoms and electrophysiological properties PMID: 25285947
- PKC can increase sodium resurgent currents through phosphorylation of a conserved Serine residue located in the domain III-IV linker of hNav1.7 PMID: 25240195
- Sodium channel Nav1.7, encoded by SCN9A, is expressed in DRG neurons and regulates their excitability. PMID: 25209274
- Recent studies have shown that mutations in the SCN9A gene are the cause of a subgroup of idiopathic small fiber neuropathies and that polymorphisms of SCN9A are associated with an increase in susceptibility to pain. PMID: 24202110
- This study show a linear correlation between the level of Nav1.7 conductance and current threshold in DRG neurons. PMID: 24401712
- EGF/EGFR-mediated upregulation of Nav1.7 is necessary for invasive behaviour in these cells. PMID: 23986482
- A working link between nociception and olfaction via Nav1.7 in the gain-of-function direction. PMID: 23874707
- persistent and resurgent currents are likely to determine whether a mutation in Nav1.7 leads to IEM or PEPD. PMID: 24311784
- This study demonstrated that a variant of NaV1.7 associated with painful neuropathy depolarizes resting membrane potential and produces an enhanced inward current during interspike intervals, thereby contributing to DRG neuron hyperexcitability PMID: 23850641
- Role of the SCN9A mutations in genetic epilepsy with febrile seizures plus and Dravet syndrome PMID: 23895530
- 2 gain-of-function mutations in the 4th domain of Nav1.7, A1746G & W1538R, caused hyperpolarization and affected age of erythromelalgia onset. PMID: 23292638
- Data indicate that micro-SLPTX-Ssm6a, a unique 46-residue peptide from centipede venom, potently inhibits NaV1.7. PMID: 24082113
- a novel regulatory mechanism that utilizes CRMP2 SUMOylation to choreograph NaV1.7 trafficking. PMID: 23836888
- More patients have suffered dyskinesis pain. A 3448 (C/T) mutation of SCN9A gene may be related to pathogenesis of pain in Parkinsonism. PMID: 23450472
- A novel SCN9A mutation responsible for primary erythromelalgia and is resistant to the treatment of sodium channel blockers. PMID: 23383113
- Structural and functional demonstration of the importance of radial tuning of the sodium channel S6 helix for the channel activation. PMID: 23536180
- Patients carrying the SCN9A 3312Tallele presented with lower postoperative pain sensitivity in the presence of a similar surgical pain stimulus PMID: 23364568
- We identified a novel homozygous mutation in SCN9A from 2 Japanese families with autosomal recessive hereditary sensory and autonomic neuropathy type IId. PMID: 23596073
- We also found a splicing junction variant of SCN91 in all 19 patients WITH enital insensitivity to pain PMID: 23129781
- In small-fiber neuropathy, [isoleucine]228[methionine] variant Nav1.7 channel contributes to impaired regeneration and degeneration of sensory axons. PMID: 23280954
- Structural modelling reveals that Na(v)1.7-S241T is ~2.4 A apart from V400M in the folded channel, and thermodynamic analysis demonstrates energetic coupling of V400M and S241T during activation. PMID: 23149731
- These data strongly suggest that pain perception in at least a subset of patients with interstitial cystitis/bladder pain syndrome is influenced by the rs6746030 polymorphism in the SCN9A voltage-gated sodium channel. PMID: 23102778
- Splicing can change the way that Na(V) channels interact with beta subunits. PMID: 22911851
顯示更多
收起更多
-
相關疾病:Primary erythermalgia (PERYTHM); Indifference to pain, congenital, autosomal recessive (CIP); Paroxysmal extreme pain disorder (PEPD); Generalized epilepsy with febrile seizures plus 7 (GEFS+7); Febrile seizures, familial, 3B (FEB3B)
-
亞細胞定位:Cell membrane; Multi-pass membrane protein. Cell projection, neuron projection.
-
蛋白家族:Sodium channel (TC 1.A.1.10) family, Nav1.7/SCN9A subfamily
-
組織特異性:Expressed strongly in dorsal root ganglion, with only minor levels elsewhere in the body, smooth muscle cells, MTC cell line and C-cell carcinoma. Also expressed in vagus nerves within the head and neck region. Isoform 1 is expressed preferentially in the
-
數據庫鏈接:
Most popular with customers
-
-
YWHAB Recombinant Monoclonal Antibody
Applications: ELISA, WB, IHC, IF, FC
Species Reactivity: Human, Mouse, Rat
-
Phospho-YAP1 (S127) Recombinant Monoclonal Antibody
Applications: ELISA, WB, IHC
Species Reactivity: Human
-
-
-
-
-















