SCML2 Antibody
-
中文名稱:SCML2兔多克隆抗體
-
貨號:CSB-PA891470LA01HU
-
規格:¥440
-
圖片:
-
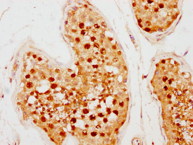
IHC image of CSB-PA891470LA01HU diluted at 1:500 and staining in paraffin-embedded human testis tissue performed on a Leica BondTM system. After dewaxing and hydration, antigen retrieval was mediated by high pressure in a citrate buffer (pH 6.0). Section was blocked with 10% normal goat serum 30min at RT. Then primary antibody (1% BSA) was incubated at 4°C overnight. The primary is detected by a biotinylated secondary antibody and visualized using an HRP conjugated SP system.
-
-
其他:
產品詳情
-
產品名稱:Rabbit anti-Homo sapiens (Human) SCML2 Polyclonal antibody
-
Uniprot No.:
-
基因名:SCML2
-
別名:SCML2 antibody; SCML2_HUMAN antibody; sex comb on midleg like 2 (Drosophila) antibody; Sex comb on midleg like 2 antibody; Sex comb on midleg like protein 2 antibody; Sex comb on midleg, Drosophila, homolog-like 2 antibody; Sex comb on midleg-like protein 2 antibody
-
宿主:Rabbit
-
反應種屬:Human
-
免疫原:Recombinant Human Sex comb on midleg-like protein 2 protein (466-620AA)
-
免疫原種屬:Homo sapiens (Human)
-
標記方式:Non-conjugated
本頁面中的產品,SCML2 Antibody (CSB-PA891470LA01HU),的標記方式是Non-conjugated。對于SCML2 Antibody,我們還提供其他標記。見下表:
-
克隆類型:Polyclonal
-
抗體亞型:IgG
-
純化方式:>95%, Protein G purified
-
濃度:It differs from different batches. Please contact us to confirm it.
-
保存緩沖液:Preservative: 0.03% Proclin 300
Constituents: 50% Glycerol, 0.01M PBS, pH 7.4 -
產品提供形式:Liquid
-
應用范圍:ELISA, IHC
-
推薦稀釋比:
Application Recommended Dilution IHC 1:500-1:1000 -
Protocols:
-
儲存條件:Upon receipt, store at -20°C or -80°C. Avoid repeated freeze.
-
貨期:Basically, we can dispatch the products out in 1-3 working days after receiving your orders. Delivery time maybe differs from different purchasing way or location, please kindly consult your local distributors for specific delivery time.
-
用途:For Research Use Only. Not for use in diagnostic or therapeutic procedures.
相關產品
靶點詳情
-
功能:Putative Polycomb group (PcG) protein. PcG proteins act by forming multiprotein complexes, which are required to maintain the transcriptionally repressive state of homeotic genes throughout development.
-
基因功能參考文獻:
- SCML2A, an SCML2 isoform tightly associated to chromatin, contributes to PRC1 localization and also directly enforces repression of certain Polycomb target genes. PMID: 24986859
- SCML2 directly interacts with USP7 and drives its localization. SCML2 connects USP7 to PRC1.4, allowing for the stabilization of BMI1, and USP7 is found on SCML2 and BMI1 target genes. PMID: 25605328
- Because PRC1 complexes localize to the promoters of a specific subset of developmental genes in vivo, the SLED domain of Scml2 may provide an important link connecting the PRC1 complexes to their target genes. PMID: 24727478
- 1.78-A crystal structure of the two MBT repeats of SCML2 show significant structural similarities to the Tudor, PWWP, and chromo domains, suggesting probable evolutionary relationships and functional similarities between the MBT repeats and these domains. PMID: 12952983
- The malignant brain tumor repeats of SCML2 preferentially bind histone peptides monomethylated at lysine residues. The crystal structure of the complex reveals that the modified amino acid binds to an aromatic rich pocket. PMID: 18706910
顯示更多
收起更多
-
亞細胞定位:Nucleus.
-
蛋白家族:SCM family
-
組織特異性:Highly expressed in placenta, thymus and testis. Detected at lower levels in brain, liver, skeletal muscle, pancreas and ovary.
-
數據庫鏈接:
Most popular with customers
-
-
YWHAB Recombinant Monoclonal Antibody
Applications: ELISA, WB, IHC, IF, FC
Species Reactivity: Human, Mouse, Rat
-
Phospho-YAP1 (S127) Recombinant Monoclonal Antibody
Applications: ELISA, WB, IHC
Species Reactivity: Human
-
-
-
-
-















