SCGB2A1 Antibody
-
中文名稱:SCGB2A1兔多克隆抗體
-
貨號:CSB-PA051247
-
規格:¥1100
-
圖片:
-
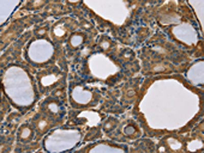
The image on the left is immunohistochemistry of paraffin-embedded Human thyroid cancer tissue using CSB-PA051247(SCGB2A1 Antibody) at dilution 1/50, on the right is treated with fusion protein. (Original magnification: ×200)
-
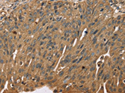
The image on the left is immunohistochemistry of paraffin-embedded Human breast cancer tissue using CSB-PA051247(SCGB2A1 Antibody) at dilution 1/50, on the right is treated with fusion protein. (Original magnification: ×200)
-
Gel: 10%SDS-PAGE, Lysate: 40 μg, Lane: Mouse kidney tissue, Primary antibody: CSB-PA051247(SCGB2A1 Antibody) at dilution 1/800, Secondary antibody: Goat anti rabbit IgG at 1/8000 dilution, Exposure time: 10 minutes
-
-
其他:
產品詳情
-
Uniprot No.:
-
基因名:SCGB2A1
-
別名:Lacryglobin antibody; LIPHC antibody; Lipophilin C antibody; Lipophilin-C antibody; LPHC antibody; LPNC antibody; Mammaglobin 2 antibody; Mammaglobin-2 antibody; Mammaglobin-B antibody; MGB2 antibody; MGC71973 antibody; Scgb2a1 antibody; Secretoglobin family 2A member 1 antibody; Secretoglobin; family 2A; member 1 antibody; SG2A1_HUMAN antibody; UGB3 antibody
-
宿主:Rabbit
-
反應種屬:Human,Mouse
-
免疫原:Fusion protein of Human SCGB2A1
-
免疫原種屬:Homo sapiens (Human)
-
標記方式:Non-conjugated
-
抗體亞型:IgG
-
純化方式:Antigen affinity purification
-
濃度:It differs from different batches. Please contact us to confirm it.
-
保存緩沖液:-20°C, pH7.4 PBS, 0.05% NaN3, 40% Glycerol
-
產品提供形式:Liquid
-
應用范圍:ELISA,WB,IHC
-
推薦稀釋比:
Application Recommended Dilution ELISA 1:1000-1:2000 WB 1:200-1:1000 IHC 1:100-1:300 -
Protocols:
-
儲存條件:Upon receipt, store at -20°C or -80°C. Avoid repeated freeze.
-
貨期:Basically, we can dispatch the products out in 1-3 working days after receiving your orders. Delivery time maybe differs from different purchasing way or location, please kindly consult your local distributors for specific delivery time.
-
用途:For Research Use Only. Not for use in diagnostic or therapeutic procedures.
相關產品
靶點詳情
-
功能:May bind androgens and other steroids, may also bind estramustine, a chemotherapeutic agent used for prostate cancer. May be under transcriptional regulation of steroid hormones.
-
基因功能參考文獻:
- The expression of HOXB13, IL17BR, and mammaglobin 1 in sentinel lymph nodes predict the outcome of primary breast cancer patients. PMID: 29729704
- novel marker GATA3 stains a significantly higher proportion of both primary and metastatic breast carcinomas than GCDFP15 or mammaglobin with stronger and more diffuse staining, helpful in cases with small tissue samples PMID: 25906123
- The commonly used breast carcinoma biomarkers vary in their prognostic implications. GCDFP-15 independently indicated a favourable prognosis. GATA-3 and MGB were not associated with outcome. PMID: 25425335
- Results indicate that the quantitative analysis of h-MAM mRNA is a useful tool for detecting CTCs in breast cancer patients. PMID: 24706379
- Results indicated that SCGB2A1 represented a novel, prognostic factor for colorectal cancer, and its expression correlated with chemoresistance, radioresistance and cancer cell stemness. PMID: 24585249
- The data indicate that MGB1, MGB2 and LIPB mRNAs are expressed at low levels in human tissues but basal expression is upregulated in ovarian cancer. PMID: 24603286
- SCGB2A1 is a top differentially expressed gene in all major histological types of ovarian cancers. PMID: 23807163
- MGB has the highest expression in HER2-overexpressing breast cancers and may be a potentially useful marker for this subtype. PMID: 23332923
- Data show that plasma mammaglobin mRNA alone or in combination with CA15.3 (CD227) may be used as a valuable noninvasive approach for the diagnosis and the detection of metastasis in breast cancer at the time of diagnosis. PMID: 20306663
- The mammaglobin/lipophilin B complex is a promising diagnostic marker for breast cancer. PMID: 12022875
- MGB2 markers may be useful for identifying micrometastases in sentinel lymph nodes of breast cancer patients. PMID: 15151203
- SCGB 2A1 represents a new class of androgen target genes that are purely under indirect AR control mediated by DNA-bound Sp factors. PMID: 16020486
- Results indicate that mammaglobin, as measured by the ELISA, holds significant promise for breast cancer screening with the realistic potential to impact management of this disease. PMID: 16166429
- MGB-2 is highly expressed in endometrioid endometrial cancer [EEC], particularly in well- and moderately differentiated tumors, and may represent a novel molecular marker for EEC PMID: 18021217
- Expression levels of mammaglobins A and B in nasal polyps are not different between patients with and without AR PMID: 18416968
- MGB-2 expression characterizes less aggressive forms of EOC and is correlated with a favorable outcome PMID: 19635143
顯示更多
收起更多
-
亞細胞定位:Secreted.
-
蛋白家族:Secretoglobin family, Lipophilin subfamily
-
組織特異性:Expressed in thymus, trachea, kidney, steroid responsive tissues (prostate, testis, uterus, breast and ovary) and salivary gland.
-
數據庫鏈接:
Most popular with customers
-
-
YWHAB Recombinant Monoclonal Antibody
Applications: ELISA, WB, IHC, IF, FC
Species Reactivity: Human, Mouse, Rat
-
Phospho-YAP1 (S127) Recombinant Monoclonal Antibody
Applications: ELISA, WB, IHC
Species Reactivity: Human
-
-
-
-
-















