SBDS Antibody
-
中文名稱:SBDS兔多克隆抗體
-
貨號:CSB-PA897481LA01HU
-
規格:¥440
-
圖片:
-
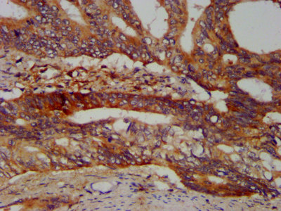
IHC image of CSB-PA897481LA01HU diluted at 1:400 and staining in paraffin-embedded human colon cancer performed on a Leica BondTM system. After dewaxing and hydration, antigen retrieval was mediated by high pressure in a citrate buffer (pH 6.0). Section was blocked with 10% normal goat serum 30min at RT. Then primary antibody (1% BSA) was incubated at 4°C overnight. The primary is detected by a biotinylated secondary antibody and visualized using an HRP conjugated SP system.
-
Immunofluorescence staining of Hela cells with CSB-PA897481LA01HU at 1:133, counter-stained with DAPI. The cells were fixed in 4% formaldehyde, permeabilized using 0.2% Triton X-100 and blocked in 10% normal Goat Serum. The cells were then incubated with the antibody overnight at 4°C. The secondary antibody was Alexa Fluor 488-congugated AffiniPure Goat Anti-Rabbit IgG(H+L).
-
-
其他:
產品詳情
-
產品名稱:Rabbit anti-Homo sapiens (Human) SBDS Polyclonal antibody
-
Uniprot No.:
-
基因名:SBDS
-
別名:4733401P19Rik antibody; AI836084 antibody; CGI 97 antibody; CGI-97 antibody; FLJ10917 antibody; MGC105922 antibody; Protein 22A3 antibody; Ribosome maturation protein SBDS antibody; sbds antibody; SBDS_HUMAN antibody; SDS antibody; Shwachman Bodian Diamond syndrome protein antibody; Shwachman Bodian Diamond syndrome protein homolog antibody; Shwachman Bodian-Diamond syndrome antibody; Shwachman-Bodian-Diamond syndrome protein antibody; SWDS antibody
-
宿主:Rabbit
-
反應種屬:Human
-
免疫原:Recombinant Human Ribosome maturation protein SBDS protein (37-153AA)
-
免疫原種屬:Homo sapiens (Human)
-
標記方式:Non-conjugated
本頁面中的產品,SBDS Antibody (CSB-PA897481LA01HU),的標記方式是Non-conjugated。對于SBDS Antibody,我們還提供其他標記。見下表:
-
克隆類型:Polyclonal
-
抗體亞型:IgG
-
純化方式:>95%, Protein G purified
-
濃度:It differs from different batches. Please contact us to confirm it.
-
保存緩沖液:Preservative: 0.03% Proclin 300
Constituents: 50% Glycerol, 0.01M PBS, pH 7.4 -
產品提供形式:Liquid
-
應用范圍:ELISA, IHC, IF
-
推薦稀釋比:
Application Recommended Dilution IHC 1:200-1:500 IF 1:50-1:200 -
Protocols:
-
儲存條件:Upon receipt, store at -20°C or -80°C. Avoid repeated freeze.
-
貨期:Basically, we can dispatch the products out in 1-3 working days after receiving your orders. Delivery time maybe differs from different purchasing way or location, please kindly consult your local distributors for specific delivery time.
-
用途:For Research Use Only. Not for use in diagnostic or therapeutic procedures.
相關產品
靶點詳情
-
功能:Required for the assembly of mature ribosomes and ribosome biogenesis. Together with EFL1, triggers the GTP-dependent release of EIF6 from 60S pre-ribosomes in the cytoplasm, thereby activating ribosomes for translation competence by allowing 80S ribosome assembly and facilitating EIF6 recycling to the nucleus, where it is required for 60S rRNA processing and nuclear export. Required for normal levels of protein synthesis. May play a role in cellular stress resistance. May play a role in cellular response to DNA damage. May play a role in cell proliferation.
-
基因功能參考文獻:
- Structural variation in SBDS gene, with loss of exon 3, in two Shwachman-Diamond patients. PMID: 27519942
- SBDS mutation is associated with Shwachman Diamond-Syndrome. PMID: 28509441
- SBDS function is specifically required for efficient translation re-initiation into the protein isoforms C/EBPalpha-p30 and C/EBPbeta-LIP, which is controlled by a single cis-regulatory upstream open reading frame (uORF) in the 5' untranslated regions (5' UTRs) of both mRNAs. PMID: 26762974
- Association of Elongation Factor-like 1 (EFL1) GTPase to SBDS did not modify the affinity for GTP but dramatically decreased that for GDP by increasing the dissociation rate of the nucleotide. PMID: 25991726
- The clinical diagnosis was confirmed by detection of compound heterozygous mutations in SBDS using whole-exome sequencing: a recurrent intronic mutation causing aberrant splicing (c.258+2T>C) and a novel missense variant in a highly conserved codon (c.41A>G, p.Asn14Ser), considered to be damaging for the protein structure by in silico prediction programs PMID: 26866830
- Upon EFL1 binding, SBDS is repositioned around helix 69, thus facilitating a conformational switch in EFL1 that displaces eIF6 by competing for an overlapping binding site on the 60S ribosomal subunit. PMID: 26479198
- Association of EFL1 to SBDS did not modify the affinity for GTP but dramatically decreased that for GDP by increasing the dissociation rate of the nucleotide. PMID: 25991726
- Genetic variations in exon 2 of SBDS gene do not appear to be contributing to aplastic anemia in the north Indian population. PMID: 24636098
- The interaction between EFL1 and SBDS was analyzed by size exclusion chromatography, gel shift assay, and isothermal titration calorimetry. The results showed that EFL1 interacted directly with SBDS. PMID: 24406167
- SBDS protein acts as a nucleotide exchange factor that stabilizes binding to GTP for human GTPase. PMID: 23831625
- Lack of mutation in exon 2 of sbds protein in acute myeloid leukemia suggests this subset is unlikely to have underlying sds PMID: 23189942
- We conclude that knockdown of SBDS leads to growth inhibition and defects in ribosome maturation PMID: 22997148
- SBDS protein facilitates the release of eIF6, a factor that prevents ribosome joining. PMID: 23115272
- Erythropoiesis (in normal stem cells or in cells from Shwachman-Diamond syndrome patients) requires SBDS. Knockdown of SBDS leads to oxidative stress, to increased levels of ROS during erythroid differentiation, and disrupts ribosome biogenesis. PMID: 21963601
- the amount of mutated SBDS protein was decreased PMID: 21660439
- SBDS full-length protein was localized in both the nucleus and cytoplasm, whereas patient-related truncated SBDS protein isoforms localize predominantly to the nucleus. PMID: 21695142
- SBDS-deficiency results in deregulation of reactive oxygen species leading to increased cell death and decreased cell growth in cancer. PMID: 20979173
- Mutations of the Shwachman-Bodian-Diamond syndrome gene is not associated with refractory cytopenia. PMID: 19951977
- determined the solution structure and backbone dynamics of the SBDS protein and describe its RNA binding site using NMR spectroscopy PMID: 20053358
- analysis of SBDS expression and localization at the mitotic spindle in human myeloid progenitors PMID: 19759903
- Mutations in SBDS are associated with Shwachman-Diamond syndrome PMID: 12496757
- gene conversion mutations in SBDS are common to different ethnic groups, but they are not confined to a limited region of the gene PMID: 14749921
- most, but not all, patients classified based on rigorous clinical criteria as having SDS had compound heterozygous mutations of SBDS; presence (or absence) of SBDS mutations may define subgroups of patients with SDS PMID: 15284109
- patients with genetically proven SDS a genotype-phenotype relationship in SDS does not exist in clinical and hematologic terms PMID: 15769891
- SBDS localization was cell-cycle dependent, with nucleolar localization during G1 and G2 and diffuse nuclear localization during S phase PMID: 15860664
- analysis of phenotypic heterogeneity in Shwachman-Diamond syndrome patients carrying identical SBDS mutations PMID: 15942154
- findings link Shwachman-Diamond syndrome to other bone marrow failure syndromes with defects in nucleolus-associated processes, including Diamond-Blackfan anemia, cartilage-hair hypoplasia, and dyskeratosis congenita PMID: 16529906
- This is the first report of compound heterozygous missense mutations occurring in patients with SDS. Two novel missense mutations (c.362A > C in exon 3, and c.523C > T in exon 4) of the SBDS gene were identified in the patient. PMID: 17046571
- A novel missense mutation (79TC) in exon 1 is reported in a girl with spondylometaphysial dysplasia, ecpanding the phenotype beyond Shwachman-Bodian-Diamond syndrome. PMID: 17400792
- Mutations in the SBDS gene is associated with acquired aplastic anemia PMID: 17478638
- SBDS is found in complexes containing the human Nip7 ortholog. PMID: 17643419
- summary of documented SBDS mutations associated with Shwachman-Diamond syndrome PMID: 17916435
- genetic analysis of SBDS and SH2D1A in Japanese children with AA PMID: 18024409
- Mutations in the SBDS gene may therefore be the fifth identified molecular defect in CVID. PMID: 18190602
- SBDS has pro-survival properties. Its inhibition results in accelerated apoptosis through the Fas pathway. PMID: 18268284
- findings suggest that Shwachman-Diamond syndrome patients with mutations in the SBDS gene have a characteristic magnetic resonance imaging pattern of fat-replaced pancreas and that SBDS mutations are unlikely in patients without this pattern PMID: 18280855
- SBDS loss results in abnormal accumulation of Fas at the plasma membrane, where it sensitizes the cells to stimulation by Fas ligand PMID: 19009351
- We confirmed significant overexpression of osteoprotegerin and vascular endothelial growth factor-A by ELISA from supernatants of SBDS-depleted HeLa cells. PMID: 19014892
- in all cases the i(7)(q10) carries a double dose of the c.258+2T>C. As the c.258+2T>C mutation still allows the production of some amount of normal protein, this may contribute to the low incidence of MDS/AML in this subset of SDS patients PMID: 19148133
- SBDS is a multi-functional protein implicated in cellular stress responses. PMID: 19602484
- A novel mutation in a Fijian boy with Shwachman-Diamond syndrome. PMID: 19816210
- Mutations in SBDS are associated with Shwachman-Diamond syndrome. PMID: 12496757
顯示更多
收起更多
-
相關疾病:Shwachman-Diamond syndrome (SDS)
-
亞細胞定位:Cytoplasm. Nucleus, nucleolus. Nucleus, nucleoplasm. Cytoplasm, cytoskeleton, spindle.
-
蛋白家族:SDO1/SBDS family
-
組織特異性:Widely expressed.
-
數據庫鏈接:
Most popular with customers
-
-
YWHAB Recombinant Monoclonal Antibody
Applications: ELISA, WB, IHC, IF, FC
Species Reactivity: Human, Mouse, Rat
-
Phospho-YAP1 (S127) Recombinant Monoclonal Antibody
Applications: ELISA, WB, IHC
Species Reactivity: Human
-
-
-
-
-















