SAT2 Antibody
-
中文名稱:SAT2兔多克隆抗體
-
貨號:CSB-PA836208LA01HU
-
規格:¥440
-
圖片:
-
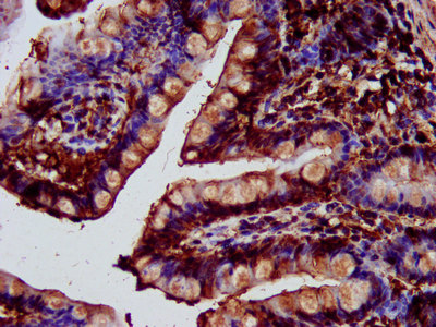
IHC image of CSB-PA836208LA01HU diluted at 1:400 and staining in paraffin-embedded human small intestine tissue performed on a Leica BondTM system. After dewaxing and hydration, antigen retrieval was mediated by high pressure in a citrate buffer (pH 6.0). Section was blocked with 10% normal goat serum 30min at RT. Then primary antibody (1% BSA) was incubated at 4°C overnight. The primary is detected by a biotinylated secondary antibody and visualized using an HRP conjugated SP system.
-
IHC image of CSB-PA836208LA01HU diluted at 1:400 and staining in paraffin-embedded human adrenal gland tissue performed on a Leica BondTM system. After dewaxing and hydration, antigen retrieval was mediated by high pressure in a citrate buffer (pH 6.0). Section was blocked with 10% normal goat serum 30min at RT. Then primary antibody (1% BSA) was incubated at 4°C overnight. The primary is detected by a biotinylated secondary antibody and visualized using an HRP conjugated SP system.
-
Immunofluorescence staining of MCF-7 cells with CSB-PA836208LA01HU at 1:133, counter-stained with DAPI. The cells were fixed in 4% formaldehyde, permeabilized using 0.2% Triton X-100 and blocked in 10% normal Goat Serum. The cells were then incubated with the antibody overnight at 4°C. The secondary antibody was Alexa Fluor 488-congugated AffiniPure Goat Anti-Rabbit IgG(H+L).
-
-
其他:
產品詳情
-
產品名稱:Rabbit anti-Homo sapiens (Human) SAT2 Polyclonal antibody
-
Uniprot No.:
-
基因名:SAT2
-
別名:Amino acid transporter A2 antibody; ATA2 antibody; Diamine acetyltransferase 2 antibody; Diamine N acetyltransferase 2 antibody; Polyamine N acetyltransferase antibody; Polyamine N-acetyltransferase 2 antibody; Protein 40 9 1 antibody; SAT2 antibody; SAT2_HUMAN antibody; SNAT2 antibody; Solute carrier family 38 member 2 antibody; Spermidine/spermine N(1)-acetyltransferase 2 antibody; Spermidine/spermine N1 acetyltransferase 2 antibody; Spermidine/spermine N1 acetyltransferase family member 2 antibody; SSAT2 antibody; System A amino acid transporter 2 antibody; System A transporter 1 antibody; System N amino acid transporter 2 antibody; Thialysine N-epsilon-acetyltransferase antibody
-
宿主:Rabbit
-
反應種屬:Human
-
免疫原:Recombinant Human Diamine acetyltransferase 2 protein (1-170AA)
-
免疫原種屬:Homo sapiens (Human)
-
標記方式:Non-conjugated
本頁面中的產品,SAT2 Antibody (CSB-PA836208LA01HU),的標記方式是Non-conjugated。對于SAT2 Antibody,我們還提供其他標記。見下表:
-
克隆類型:Polyclonal
-
抗體亞型:IgG
-
純化方式:>95%, Protein G purified
-
濃度:It differs from different batches. Please contact us to confirm it.
-
保存緩沖液:Preservative: 0.03% Proclin 300
Constituents: 50% Glycerol, 0.01M PBS, pH 7.4 -
產品提供形式:Liquid
-
應用范圍:ELISA, IHC, IF
-
推薦稀釋比:
Application Recommended Dilution IHC 1:200-1:500 IF 1:50-1:200 -
Protocols:
-
儲存條件:Upon receipt, store at -20°C or -80°C. Avoid repeated freeze.
-
貨期:Basically, we can dispatch the products out in 1-3 working days after receiving your orders. Delivery time maybe differs from different purchasing way or location, please kindly consult your local distributors for specific delivery time.
-
用途:For Research Use Only. Not for use in diagnostic or therapeutic procedures.
相關產品
靶點詳情
-
功能:Catalyzes the N-acetylation of the amino acid thialysine (S-(2-aminoethyl)-L-cysteine), a L-lysine analog with the 4-methylene group substituted with a sulfur. May also catalyze acetylation of polyamines, such as norspermidine, spermidine or spermine. However, ability to acetylate polyamines is weak, suggesting that it does not act as a diamine acetyltransferase in vivo.
-
基因功能參考文獻:
- Crystallization of this protein and its recombinant form and its complexation with coenzyme A. PMID: 16596569
- The expression of three messengers coding for SAT-1, SAT-2 and GalNAcT-1 in human samples of intestinal cancer and some cell lines (breast cancer and melanomas), was evaluated. PMID: 17119850
- SSAT2 is an essential component of the ubiquitin ligase complex that regulates hypoxia-inducible factor 1alpha PMID: 17558023
- SSAT1, which shares 46% amino acid identity with SSAT2, also binds to HIF-1alpha and promotes its ubiquitination/degradation. However, in contrast to SSAT2, SSAT1 acts by stabilizing the interaction of HIF-1alpha with RACK1 PMID: 17875644
- expression of SSAT mediated by Ad-SSAT infection inhibits the growth of colorectal cancer cells PMID: 18949426
顯示更多
收起更多
-
亞細胞定位:Cytoplasm.
-
蛋白家族:Acetyltransferase family
-
組織特異性:Widely expressed. Under physiological conditions, SSAT2 is expressed at lower level that SSAT1 (SSAT). Many tissues express only SSAT1, several tissues express both SSAT1 and SSAT2, and bone, cervix, ovary and pineal gland expressed only SSAT2.
-
數據庫鏈接:
Most popular with customers
-
YWHAB Recombinant Monoclonal Antibody
Applications: ELISA, WB, IHC, IF, FC
Species Reactivity: Human, Mouse, Rat
-
Phospho-YAP1 (S127) Recombinant Monoclonal Antibody
Applications: ELISA, WB, IHC
Species Reactivity: Human
-
-
-
-
-
-















