SARS Antibody
-
中文名稱:SARS兔多克隆抗體
-
貨號:CSB-PA04145A0Rb
-
規格:¥440
-
圖片:
-
Western blot
All lanes: SARS antibody at 2µg/ml
Lane 1: EC109 whole cell lysate
Lane 2: 293T whole cell lysate
Secondary
Goat polyclonal to rabbit IgG at 1/15000 dilution
Predicted band size: 59 kDa
Observed band size: 59 kDa -
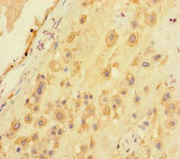
Immunohistochemistry of paraffin-embedded human placenta tissue using CSB-PA04145A0Rb at dilution of 1:100
-
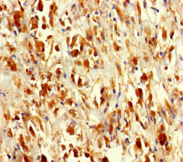
Immunohistochemistry of paraffin-embedded human melanoma using CSB-PA04145A0Rb at dilution of 1:100
-
-
其他:
產品詳情
-
產品描述:
Immunization of rabbits with the peptide corresponding to amino acids 2-233 of the human serine-tRNA ligase and subsequent protein G -mediated purification from anti-serum lead to the generation of the SARS antibody. This SARS antibody is a polyclonal antibody and exists as an unconjugated IgG. Its purity is 95%+. It is only reactive with human Serine tRNA ligase and does not cross-react with other species. Validations of this antibody in ELISA, WB, and IHC have been tested. The target protein serine-tRNA ligase is an enzyme that catalyzes the chemical reaction. It is involved in glycine, serine, and threonine metabolism and aminoacyl-tRNA biosynthesis.
-
產品名稱:Rabbit anti-Homo sapiens (Human) SARS Polyclonal antibody
-
Uniprot No.:
-
基因名:SARS
-
別名:C78314 antibody; cytoplasmic antibody; EC 6.1.1.11 antibody; FLJ36399 antibody; sarS antibody; Sars1 antibody; Serine tRNA ligase 1, cytoplasmic antibody; Serine tRNA ligase antibody; Serine--tRNA ligase antibody; serine--tRNA ligase, cytoplasmic antibody; SerRS antibody; SERS antibody; Seryl tRNA Ser/Sec synthetase antibody; Seryl tRNA synthetase antibody; Seryl tRNA synthetase cytoplasmic antibody; Seryl-tRNA Ser/Sec synthetase antibody; Seryl-tRNA synthetase antibody; seryl-tRNA synthetase, cytoplasmic antibody; Seryl-tRNA(Ser/Sec) synthetase antibody; Strs antibody; SYSC_HUMAN antibody
-
宿主:Rabbit
-
反應種屬:Human
-
免疫原:Recombinant Human Serine--tRNA ligase, cytoplasmic protein (2-233AA)
-
免疫原種屬:Homo sapiens (Human)
-
標記方式:Non-conjugated
本頁面中的產品,SARS Antibody (CSB-PA04145A0Rb),的標記方式是Non-conjugated。對于SARS Antibody,我們還提供其他標記。見下表:
-
克隆類型:Polyclonal
-
抗體亞型:IgG
-
純化方式:>95%, Protein G purified
-
濃度:It differs from different batches. Please contact us to confirm it.
-
保存緩沖液:Preservative: 0.03% Proclin 300
Constituents: 50% Glycerol, 0.01M PBS, PH 7.4 -
產品提供形式:Liquid
-
應用范圍:ELISA, WB, IHC
-
推薦稀釋比:
Application Recommended Dilution WB 1:1000-1:5000 IHC 1:20-1:200 -
Protocols:
-
儲存條件:Upon receipt, store at -20°C or -80°C. Avoid repeated freeze.
-
貨期:Basically, we can dispatch the products out in 1-3 working days after receiving your orders. Delivery time maybe differs from different purchasing way or location, please kindly consult your local distributors for specific delivery time.
-
用途:For Research Use Only. Not for use in diagnostic or therapeutic procedures.
相關產品
靶點詳情
-
功能:Catalyzes the attachment of serine to tRNA(Ser) in a two-step reaction: serine is first activated by ATP to form Ser-AMP and then transferred to the acceptor end of tRNA(Ser). Is probably also able to aminoacylate tRNA(Sec) with serine, to form the misacylated tRNA L-seryl-tRNA(Sec), which will be further converted into selenocysteinyl-tRNA(Sec). In the nucleus, binds to the VEGFA core promoter and prevents MYC binding and transcriptional activation by MYC. Recruits SIRT2 to the VEGFA promoter, promoting deacetylation of histone H4 at 'Lys-16' (H4K16). Thereby, inhibits the production of VEGFA and sprouting angiogenesis mediated by VEGFA.
-
基因功能參考文獻:
- Here, we report on mutations in two aminoacyl-tRNA synthetases that are associated with Intellectual disability (ID) in two unrelated Iranian families. In the first family, we identified a homozygous missense mutation (c.514G>A, p.Asp172Asn) in the cytoplasmic seryl-tRNA synthetase (SARS) gene PMID: 28236339
- Analyzed the ability of cytosolic SerRS to bind and act on tRNA(Ser), tRNA(Sec), and 10 mutant and chimeric constructs in which elements of tRNA(Ser) were transposed onto tRNA(Sec). We show that SerRS only subtly prefers tRNA(Ser) to tRNA(Sec), and that discrimination occurs at the level of the serylation reaction. PMID: 28808125
- Yin Yang 1 (YY1) interacts with Seryl-tRNA synthetase (SerRS) to form a SerRS/YY1 complex which functions as a negative effector to regulate vegfa transcription through binding a distal segment of the vegfa promoter, while NFKB1 serves as a positive effector through outcompeting SerRS/YY1 for binding at the same distal segment. PMID: 27913726
- tRNA recognition mode of SerRS. PMID: 26433229
- Several data support that p.R402H mutation in SARS2 is a new cause of HUPRA syndrome. PMID: 24034276
- A long-range conformational and functional communication specific to higher eukaryotes is found in human SerRS. PMID: 24095058
- study identified a nuclear localization signal sequence embedded in UNE-S domain and showed that the essential role of SerRS in vascular development is dependent on UNE-S and its role to mobilize SerRS from the cytoplasm to the nucleus PMID: 22353712
- Mutations in the mitochondrial seryl-tRNA synthetase cause hyperuricemia, pulmonary hypertension, renal failure in infancy and alkalosis, HUPRA syndrome. PMID: 21255763
- Recombinant human cytosolic seryl-tRNA synthetase protein was purified to homogeneity and crystallized. Diffraction data were collected to 3.13 A resolution. PMID: 21045311
- SARS regulates endothelial sprouting. These analyses of zebrafish and human endothelial cells reveal a new noncanonical function of Sars in endothelial development. PMID: 19423847
顯示更多
收起更多
-
亞細胞定位:Cytoplasm. Nucleus.
-
蛋白家族:Class-II aminoacyl-tRNA synthetase family, Type-1 seryl-tRNA synthetase subfamily
-
組織特異性:Brain.
-
數據庫鏈接:
Most popular with customers
-
-
YWHAB Recombinant Monoclonal Antibody
Applications: ELISA, WB, IHC, IF, FC
Species Reactivity: Human, Mouse, Rat
-
Phospho-YAP1 (S127) Recombinant Monoclonal Antibody
Applications: ELISA, WB, IHC
Species Reactivity: Human
-
-
-
-
-















