SAP30BP Antibody
-
中文名稱:SAP30BP兔多克隆抗體
-
貨號:CSB-PA883403ESR2HU
-
規格:¥440
-
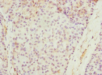
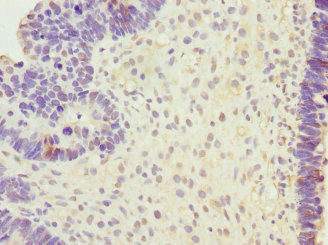
圖片:
-
其他:
產品詳情
-
產品名稱:Rabbit anti-Homo sapiens (Human) SAP30BP Polyclonal antibody
-
Uniprot No.:
-
基因名:SAP30BP
-
別名:HCNGP antibody; HSV 1 binding antibody; HSV-1 binding transcriptional regulator protein antibody; HSV1 binding antibody; HTRG antibody; HTRP antibody; Human transcriptional regulator protein antibody; S30BP_HUMAN antibody; SAP 30 binding protein antibody; SAP30 binding protein antibody; SAP30-binding protein antibody; SAP30BP antibody; Transcriptional regulator protein HCNGP antibody
-
宿主:Rabbit
-
反應種屬:Human
-
免疫原:Recombinant Human SAP30-binding protein (1-308AA)
-
免疫原種屬:Homo sapiens (Human)
-
標記方式:Non-conjugated
-
克隆類型:Polyclonal
-
抗體亞型:IgG
-
純化方式:Antigen Affinity Purified
-
濃度:It differs from different batches. Please contact us to confirm it.
-
保存緩沖液:PBS with 0.02% sodium azide, 50% glycerol, pH7.3.
-
產品提供形式:Liquid
-
應用范圍:ELISA, IHC
-
推薦稀釋比:
Application Recommended Dilution IHC 1:20-1:200 -
Protocols:
-
儲存條件:Upon receipt, store at -20°C or -80°C. Avoid repeated freeze.
-
貨期:Basically, we can dispatch the products out in 1-3 working days after receiving your orders. Delivery time maybe differs from different purchasing way or location, please kindly consult your local distributors for specific delivery time.
-
用途:For Research Use Only. Not for use in diagnostic or therapeutic procedures.
相關產品
靶點詳情
-
功能:Plays a role in transcriptional repression by promoting histone deacetylase activity, leading to deacetylation of histone H3. May be involved in the regulation of beta-2-microglobulin genes.; (Microbial infection) Involved in transcriptional repression of HHV-1 genes TK and gC.
-
基因功能參考文獻:
- we proposed that four newly identified peripheral blood mononuclear cells-derived genes( DHRS3, TTC38, SAP30BP and LPIN2 )could be integrated with previously reported rheumatoid arthritis (RA)-associated genes to monitor and/or diagnose RA. PMID: 28371410
- The results indicate that HTRP could inhibit the transcription of a viral promoter, whose interaction with SAP30 synergistically affects transcriptional inhibition of the herpes simplex virus type 1 genes, and is related to HDAC enzyme activity. PMID: 21221920
- HTRP is involved in cellular co-repressors PMID: 15496587
-
亞細胞定位:Nucleus.
-
蛋白家族:HCNGP family
-
數據庫鏈接:
Most popular with customers
-
-
YWHAB Recombinant Monoclonal Antibody
Applications: ELISA, WB, IHC, IF, FC
Species Reactivity: Human, Mouse, Rat
-
-
-
-
-
-















