SAMM50 Antibody
-
中文名稱:SAMM50兔多克隆抗體
-
貨號:CSB-PA896898ESR2HU
-
規格:¥440
-
圖片:
-
Western blot
All lanes: SAMM50 antibody at 0.98µg/ml
Lane 1: Mouse gonadal tissue
Lane 2: A375 whole cell lysate
Lane 3: A431 whole cell lysate
Lane 4: 293T whole cell lysate
Lane 5: Hela whole cell lysate
Lane 6: A549 whole cell lysate
Lane 7: HepG2 whole cell lysate
Lane 8: U251 whole cell lysate
Lane 9: LO2 whole cell lysate
Secondary
Goat polyclonal to rabbit IgG at 1/10000 dilution
Predicted band size: 52 kDa
Observed band size: 52 kDa -
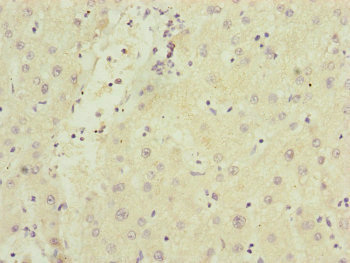
Immunohistochemistry of paraffin-embedded human liver cancer using CSB-PA896898ESR2HU at dilution of 1:100
-
Immunohistochemistry of paraffin-embedded human skeletal muscle tissue using CSB-PA896898ESR2HU at dilution of 1:100
-
-
其他:
產品詳情
-
產品名稱:Rabbit anti-Homo sapiens (Human) SAMM50 Polyclonal antibody
-
Uniprot No.:
-
基因名:SAMM50
-
別名:CGI 51 antibody; CGI-51 antibody; FLJ35825 antibody; FLJ42905 antibody; FLJ99036 antibody; OMP85 antibody; SAM50 antibody; SAM50_HUMAN antibody; Samm50 antibody; sorting and assembly machinery 50kDa antibody; sorting and assembly machinery component 50 homolog (S. cerevisiae) antibody; Sorting and assembly machinery component 50 homolog antibody; sorting and assembly machinery component 50, S. cerevisiae, homolog of antibody; TOB55 antibody; Transformation-related gene 3 protein antibody; TRG-3 antibody; YNL026W antibody
-
宿主:Rabbit
-
反應種屬:Human, Mouse
-
免疫原:Recombinant Human Sorting and assembly machinery component 50 homolog protein (1-220AA)
-
免疫原種屬:Homo sapiens (Human)
-
標記方式:Non-conjugated
-
克隆類型:Polyclonal
-
抗體亞型:IgG
-
純化方式:Antigen Affinity Purified
-
濃度:It differs from different batches. Please contact us to confirm it.
-
保存緩沖液:PBS with 0.02% sodium azide, 50% glycerol, pH7.3.
-
產品提供形式:Liquid
-
應用范圍:ELISA, WB, IHC
-
推薦稀釋比:
Application Recommended Dilution WB 1:1000-1:5000 IHC 1:20-1:200 -
Protocols:
-
儲存條件:Upon receipt, store at -20°C or -80°C. Avoid repeated freeze.
-
貨期:Basically, we can dispatch the products out in 1-3 working days after receiving your orders. Delivery time maybe differs from different purchasing way or location, please kindly consult your local distributors for specific delivery time.
-
用途:For Research Use Only. Not for use in diagnostic or therapeutic procedures.
相關產品
靶點詳情
-
功能:Plays a crucial role in the maintenance of the structure of mitochondrial cristae and the proper assembly of the mitochondrial respiratory chain complexes. Required for the assembly of TOMM40 into the TOM complex.
-
基因功能參考文獻:
- The authors results demonstrate that SNP in the SAMM50 gene is significantly associated with the presence and severity of NAFLD in a Korean populations. PMID: 29271184
- Findings suggest a significant association between variants in COL13A1, ADIPOQ, SAMM50, and PNPLA3, and risk of NAFLD/elevated transaminase levels in Mexican adults with an admixed ancestry. PMID: 29307798
- SAMM50 affects the Drp1-dependent mitochondrial morphology. PMID: 27059175
- downregulation of SAM50 in BCR-ABL-expressing, but not normal CD34(+) human hematopoietic stem and progenitor cells (HSPCs) caused a significant decrease in growth, colony formation, and replating capacity. PMID: 26855047
- the integrity of MICOS and its efficient interaction with Sam50 are indispensable for cristae organization, which is relevant to mitochondrial function. PMID: 26530328
- Polymorphisms in the SAMM50 and PARVB genes in addition to those in the PNPLA3 gene were observed to be associated with the development and progression of NAFLD. PMID: 23535911
- The study describes a novel role of SAM50 in maintaining the mitochondrial shape and the morphology of cristae. PMID: 22252321
顯示更多
收起更多
-
亞細胞定位:Mitochondrion outer membrane; Multi-pass membrane protein. Cytoplasm. Mitochondrion.
-
蛋白家族:SAM50/omp85 family
-
數據庫鏈接:
Most popular with customers
-
-
Phospho-YAP1 (S127) Recombinant Monoclonal Antibody
Applications: ELISA, WB, IHC
Species Reactivity: Human
-
-
-
-
-
-















