SAMHD1 Antibody
-
中文名稱:SAMHD1兔多克隆抗體
-
貨號:CSB-PA020691LA01HU
-
規格:¥440
-
圖片:
-
Western Blot
Positive WB detected in: Hela whole cell lysate, MCF-7 whole cell lysate, A549 whole cell lysate
All lanes: SAMHD1 antibody at 1:2000
Secondary
Goat polyclonal to rabbit IgG at 1/50000 dilution
Predicted band size: 73, 64, 69 kDa
Observed band size: 73 kDa -
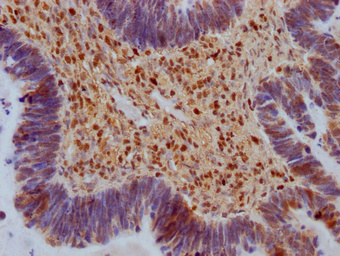
IHC image of CSB-PA020691LA01HU diluted at 1:100 and staining in paraffin-embedded human lung cancer performed on a Leica BondTM system. After dewaxing and hydration, antigen retrieval was mediated by high pressure in a citrate buffer (pH 6.0). Section was blocked with 10% normal goat serum 30min at RT. Then primary antibody (1% BSA) was incubated at 4°C overnight. The primary is detected by a Goat anti-rabbit IgG labeled by HRP and visualized using 0.05% DAB.
-
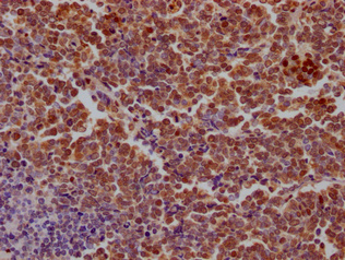
IHC image of CSB-PA020691LA01HU diluted at 1:100 and staining in paraffin-embedded human ovarian cancer performed on a Leica BondTM system. After dewaxing and hydration, antigen retrieval was mediated by high pressure in a citrate buffer (pH 6.0). Section was blocked with 10% normal goat serum 30min at RT. Then primary antibody (1% BSA) was incubated at 4°C overnight. The primary is detected by a Goat anti-rabbit IgG labeled by HRP and visualized using 0.05% DAB.
-
-
其他:
產品詳情
-
產品名稱:Rabbit anti-Homo sapiens (Human) SAMHD1 Polyclonal antibody
-
Uniprot No.:
-
基因名:SAMHD1
-
別名:CHBL2 antibody; DCIP antibody; Dendritic cell derived IFNG induced protein antibody; Dendritic cell-derived IFNG-induced protein antibody; Deoxynucleoside triphosphate triphosphohydrolase SAMHD1 antibody; dNTPase antibody; HD domain containing 1 antibody; HDDC1 antibody; Mg11 antibody; Monocyte protein 5 antibody; MOP 5 antibody; MOP-5 antibody; MOP5 antibody; OTTHUMP00000030889 antibody; SAM domain and HD domain 1 antibody; SAM domain and HD domain containing protein 1 antibody; SAM domain and HD domain-containing protein 1 antibody; SAMH1_HUMAN antibody; Samhd1 antibody; SBBI88 antibody
-
宿主:Rabbit
-
反應種屬:Human
-
免疫原:Recombinant Human Deoxynucleoside triphosphate triphosphohydrolase SAMHD1 protein (1-314AA)
-
免疫原種屬:Homo sapiens (Human)
-
標記方式:Non-conjugated
本頁面中的產品,SAMHD1 Antibody (CSB-PA020691LA01HU),的標記方式是Non-conjugated。對于SAMHD1 Antibody,我們還提供其他標記。見下表:
-
克隆類型:Polyclonal
-
抗體亞型:IgG
-
純化方式:>95%, Antigen Affinity purified & Affinity purified
-
濃度:It differs from different batches. Please contact us to confirm it.
-
保存緩沖液:Preservative: 0.03% Proclin 300
Constituents: 50% Glycerol, 0.01M PBS, PH 7.4 -
產品提供形式:Liquid
-
應用范圍:ELISA, WB, IHC
-
推薦稀釋比:
Application Recommended Dilution WB 1:1000-1:5000 IHC 1:100-1:500 -
Protocols:
-
儲存條件:Upon receipt, store at -20°C or -80°C. Avoid repeated freeze.
-
貨期:Basically, we can dispatch the products out in 1-3 working days after receiving your orders. Delivery time maybe differs from different purchasing way or location, please kindly consult your local distributors for specific delivery time.
-
用途:For Research Use Only. Not for use in diagnostic or therapeutic procedures.
相關產品
靶點詳情
-
功能:Protein that acts both as a host restriction factor involved in defense response to virus and as a regulator of DNA end resection at stalled replication forks. Has deoxynucleoside triphosphate (dNTPase) activity, which is required to restrict infection by viruses, such as HIV-1: dNTPase activity reduces cellular dNTP levels to levels too low for retroviral reverse transcription to occur, blocking early-stage virus replication in dendritic and other myeloid cells. Likewise, suppresses LINE-1 retrotransposon activity. Not able to restrict infection by HIV-2 virus; because restriction activity is counteracted by HIV-2 viral protein Vpx. In addition to virus restriction, dNTPase activity acts as a regulator of DNA precursor pools by regulating dNTP pools. Phosphorylation at Thr-592 acts as a switch to control dNTPase-dependent and -independent functions: it inhibits dNTPase activity and ability to restrict infection by viruses, while it promotes DNA end resection at stalled replication forks. Functions during S phase at stalled DNA replication forks to promote the resection of gapped or reversed forks: acts by stimulating the exonuclease activity of MRE11, activating the ATR-CHK1 pathway and allowing the forks to restart replication. Its ability to promote degradation of nascent DNA at stalled replication forks is required to prevent induction of type I interferons, thereby preventing chronic inflammation. Ability to promote DNA end resection at stalled replication forks is independent of dNTPase activity. Enhances immunoglobulin hypermutation in B-lymphocytes by promoting transversion mutation.
-
基因功能參考文獻:
- Data show that SAM Domain and HD Domain-Containing Protein 1 (SAMHD1) is specifically targeted by protein phosphatase 2 regulatory subunit Balpha protein (PP2A-B55alpha) holoenzymes during mitotic exit. PMID: 29884836
- SAMHD1 activity can significantly enhance or decrease the anti-HIV-1 efficacy of nucleotide analogue reverse transcription inhibitors presumably as a result of modulating dNTP pools that compete for recruitment by viral polymerases. PMID: 28220857
- SAMHD1 is not localized in dot-like structures under DNA double-strand break induction in HeLa cells. PMID: 29614270
- study considerably extends the picture of pathways involved in molecular pathogenesis of T-PLL and identifies the tumor suppressor gene SAMHD1 with ~20% of T-PLL affected by destructive lesions likely as major player in T-PLL pathogenesis. PMID: 29352181
- Compared with control cells, infection of SAMHD1-silenced human monocytic cells or primary macrophages with Sendai virus or HIV-1, or treatment with inflammatory stimuli, induces significantly higher levels of NF-kappaB activation and IFN-I induction. SAMHD1 down-regulates innate immune responses to viral infections and inflammatory stimuli. PMID: 29610295
- SAMHD1 is thus an important player in the replication stress response, which prevents chronic inflammation by limiting the release of single-stranded DNA from stalled replication forks PMID: 29670289
- Low SAMHD1 expression is associated with HIV-1 infection. PMID: 29084722
- Multiple domains of SAMHD1(e.g., N-terminus, nuclear localization signal, linker, HD domain, and C-terminus)are essential for Vpx-induced degradation.[review] PMID: 29963825
- findings indicate a novel role for SAMHD1 in regulating HIV-1 latency, which enhances our understanding of the mechanisms regulating proviral gene expression in CD4(+) T cells. PMID: 29793958
- results demonstrate that the interaction of CD81 with SAMHD1 controls the metabolic rate of HIV-1 replication by tuning the availability of building blocks for reverse transcription, namely dNTPs PMID: 28871089
- Immune activation during HIV-1 infection influences SAMHD1 expression and degradation. PMID: 27922067
- Studies of the phosphomimetic and tetramerization-defective mutants of SAMHD1 reveal poor correlation between tetramerization propensity and dNTPase activity observed in vitro and the ability of the proteins to deplete cellular dNTPs and to restrict retroviral restriction. These results suggest that enzymatic activity of SAMHD1 may be subject to additional cellular regulatory mechanisms that have not yet been elucidated. PMID: 27511536
- Upregulation of endogenous SAMHD1 expression is attributed to the phosphorylation and nuclear translocation of IRF3. PMID: 27411355
- Findings define a dNTPase-independent function for SAMHD1 in HR-mediated DSB repair by facilitating CtIP accrual to promote DNA end resection, providing insight into how SAMHD1 promotes genome integrity. PMID: 28834754
- These results indicate that Vpx, in addition to SAMHD1, overcomes a previously unappreciated restriction for lentiviruses at the level of reverse transcription (RT)that acts independently of dNTP concentrations and is specific to resting CD4 T cells. PMID: 28228523
- results indicate that the RXL motif is critical for tetramer formation, dNTPase activity, and HIV-1 restriction. These findings help us understand SAMHD1 interactions with other host proteins and the mechanisms regulating SAMHD1 structure and functions in cells. PMID: 29321329
- These results suggest that SAMHD1 is a relevant restriction factor for HBV and restricts reverse transcription through its dNTPase activity PMID: 27229711
- SAMHD1 may constitute a promising target to improve a wide range of therapies for both hematological and non-haematological malignancies. PMID: 28436707
- Study demonstrates a consistent resistance profile to PARPi and a unique cross-resistance profile to non-PARPi drugs in different PARPi-resistant U251 glioblastoma cells and reveals 53BP1 loss and SAMHD1 overexpression as the primary mechanisms responsible for their resistance to PARPi and Ara-C, respectively. PMID: 29274141
- Study identify three critical cysteine residues of SAMHD1 (Cys341, Cys350, and Cys522) that create a ''redox switch'' through the formation of intrachain disulfide bonds to reversibly inhibit SAMHD1 tetramerization and dNTPase activity. SAMHD1 is oxidized in cells in response to proliferative signals and colocalizes with sites of protein oxidation outside of the nucleus. PMID: 28398823
- our work genetically separated the ability of SAMHD1 to negatively regulate the type I IFN response from its ability to restrict HIV-1. PMID: 28229507
- MiR-181a is an important mediator for interferons-induced SAMHD1 expression in astrocytes and microglia, but not for inhibition of HIV-1 infection induced by IFN-alpha. PMID: 27219130
- SAMHD1 is active in HIV-1 permissive cells, does not modify susceptibility to HIV-1 infection but strongly affects sensitivity to nucleoside inhibitors. PMID: 28359840
- expression of p21 potentially can contribute to inhibition of HIV-1 replication in monocyte-derived dendritic cells through multiple mechanisms. p21 decreased size of the intracellular dNTP pool; p21 prevented SAMHD1 phosphorylation and promoted SAMHD1 dNTPase-independent antiviral activity PMID: 28931685
- Studies indicate the ambiguous properties of sterile alpha motif and histidine/aspartic acid domain-containing protein 1 (SAMHD1) as both an inhibitor of uncontrolled proliferation and a resistance factor limiting the efficacy of anticancer treatments. PMID: 28502830
- stereoselective 2' substitutions that reveal nucleotide substrate specificity for SAMHD1, and a novel inhibitory mechanism for the dNTPase activity of SAMHD1, are reported. PMID: 28046007
- Allosteric regulation of SAMHD1 has been uncovered through molecular dynamics simulations. PMID: 28321930
- Cell cycle-associated changes of proteins are induced by activation of the Raf/MEK/ERK kinase cascade, culminating in upregulation of CDK1 with subsequent SAMHD1 T592 phosphorylation and deactivation of its antiviral activity. PMID: 28122869
- SAMHD1 acts as an inhibitor in cutaneous T-cell lymphoma cell growth. PMID: 27929746
- miR-181 is an important regulator of SAMHD1 protein expression in neoplastic CD4+ T-cells, likely through a mechanism of translational inhibition PMID: 27889686
- the mechanisms by which SAMHD1 is phosphorylated and suggest the contribution of cyclin binding to SAMHD1 expression and stability in dividing cells. PMID: 27815502
- Our findings will facilitate more advanced studies into the role of the SAMHD1 RNase function in the cellular pathogenesis implicated in nucleic acid-triggered inflammatory responses and the anti-retroviral function of SAMHD1. PMID: 27387229
- Comparison of the wild-type SAMHD1 and the T592D mutant reveals that the phosphomimetic mutation affects the rates of tetramer dissociation, but has no effect on the equilibrium of allosteric activation by deoxynucleotides. PMID: 27566548
- data suggest an antagonistic regulatory mechanism in which the mutually exclusive oligomeric state requirements for ssNA binding and dNTP hydrolase activity modulate these two functions of SAMHD1 within the cell PMID: 27775344
- These results indicate that SAMHD1 inhibits HBV replication at the reverse transcription step, most likely through the depletion of cellular dNTPs. PMID: 27179347
- Our results suggest that SAMHD1, through its dNTPase activity, affects cell proliferation, cell cycle distribution and apoptosis, and emphasize a key role of SAMHD1 in the interplay between cell cycle regulation and HIV-1 infection. PMID: 27183329
- This study reviewed that Neurologic Phenotypes Associated with Mutations in SAMHD1 in patients with Aicardi-Goutieres Syndrome. PMID: 27643693
- cytokines play a major role in the reservoir establishment not only by driving homeostatic proliferation but also by increasing susceptibility of CD4+ lymphocytes to HIV-1 infection through SAMHD1 inactivation. PMID: 26923586
- These observations suggest that heterozygous cancer-associated SAMHD1 mutations increase mutation rates in cancer cells. PMID: 27071091
- The SAMHD1 restricts HIV-1 infection in non-cycling cells by limiting the pool of deoxyribonucleoside triphosphates, thereby interfering with HIV-1 reverse transcription. PMID: 26733158
- Studied whether one or more SAMHD1 gene mutations are associated with cerebrovascular disease in the general population using a Chinese stroke cohort. PMID: 26504826
- SAMHD1 may facilitate some aspects of THP-1 cell differentiation. PMID: 26606981
- Therefore, our findings revealed that factors in addition to Vpx-SAMHD1 binding influence the efficiency of Vpx-mediated SAMHD1 degradation. PMID: 26779819
- These results argue against a requirement for additional myeloid-specific host factors for SAMHD1 function but further support the notion that SAMHD1 possesses an additional dNTP-independent function contributing to lentiviral restriction. PMID: 26655245
- This review summarizes the latest advances in understanding the importance of dNTP metabolism in cancer development and the novel function of SAMHD1 in regulating this process. PMID: 26416562
- SAMHD1 phosphorylation also ablates restriction and tetramer formation but without affecting triphosphohydrolase steady-state kinetics PMID: 26431200
- Data suggest that critical role of vpx (Simian immunodeficiency virus vpx protein) in vivo/in vitro is to promote degradation of SAMHD1 in memory CD4+ T-lymphocytes, thereby generating high levels of plasma viremia and induction of immunodeficiency. PMID: 25996507
- increased SAMHD1 in human astrocytes is in part responsible for the HIV restriction, silencing of which relieves this restriction PMID: 25890101
- The results presented herein suggest that the RNase activity of SAMHD1 is sufficient to control the replication of retroviruses, but not that of non-retro RNA viruses. PMID: 26032178
- results prove the importance of SAMHD1 in the regulation of all dNTP pools and suggest that dGK inside mitochondria has the function of recycling the deoxyguanosine derived from endogenous dGTP degraded by SAMHD1 in the nucleus PMID: 26342080
顯示更多
收起更多
-
相關疾病:Aicardi-Goutieres syndrome 5 (AGS5); Chilblain lupus 2 (CHBL2)
-
亞細胞定位:Nucleus. Chromosome.
-
蛋白家族:SAMHD1 family
-
組織特異性:Expressed in heart, skeletal muscle, spleen, liver, small intestine, placenta, lung and peripheral blood leukocytes. No expression is seen in brain and thymus.
-
數據庫鏈接:
Most popular with customers
-
-
YWHAB Recombinant Monoclonal Antibody
Applications: ELISA, WB, IHC, IF, FC
Species Reactivity: Human, Mouse, Rat
-
Phospho-YAP1 (S127) Recombinant Monoclonal Antibody
Applications: ELISA, WB, IHC
Species Reactivity: Human
-
-
-
-
-















